Telefon:
+49 (0)241 95 163 153
Fax:
+49 (0)241 95 163 155
E-Mail:
orders@antikoerper-online.de

Solute Carrier Family 35 (UDP-GlcNAc/UDP-Glucose Transporter), Member D2 Antikörper

(Solute Carrier Family 35 (UDP-GlcNAc/UDP-Glucose Transporter), Member D2 (SLC35D2))

Wählen Sie einen von 26 Solute Carrier Family 35 (UDP-GlcNAc/UDP-Glucose Transporter), Member D2-Antikörpern aus unserem Produktangebot basierend auf 7 Validierungsbilder.

Entdecken Sie zuverlässige Solute Carrier Family 35 (UDP-GlcNAc/UDP-Glucose Transporter), Member D2-Antikörper von einer großen Zahl namhafter Hersteller. Unser Portfolio ermöglicht eine präzise Solute Carrier Family 35 (UDP-GlcNAc/UDP-Glucose Transporter), Member D2-Detektion in verschiedenen Spezies, darunter Mouse, Human, Cow, Pig, und unterstützt vielfältige Forschungsanwendungen wie WB, IF (cc), IF (p), ELISA, IHC (p).

Finden Sie schnell den passenden Antikörper mit unseren Such-, Filter- und Vergleichsfunktionen. Auf jeder Produktseite stehen Ihnen detaillierte Validierungsdaten, Literaturreferenzen und Kundenbewertungen zur Verfügung. Im Gegensatz zu reinen Vergleichsportalen können Sie Ihre Antikörper direkt über unsere Plattform erwerben. Wählen Sie aus polyklonalen, monoklonalen oder rekombinanten Solute Carrier Family 35 (UDP-GlcNAc/UDP-Glucose Transporter), Member D2-Antikörpern aus verschiedenen Wirtsarten wie Rabbit, Mouse. Durchstöbern Sie unten unsere Auswahl an Solute Carrier Family 35 (UDP-GlcNAc/UDP-Glucose Transporter), Member D2-Antikörpern und bestellen Sie direkt, um Ihre Forschung effizient voranzubringen.

Alternative Bezeichnungen für Solute Carrier Family 35 (UDP-GlcNAc/UDP-Glucose Transporter), Member D2 sind Slc35d2.

26 Treffer

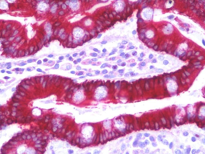
SLC35D2 Reaktivität: Human ELISA, IHC Wirt: Kaninchen Polyclonal unconjugated
Produktnummer ABIN7174658
-15% Promotion 2026
279,56 €
328,90 €
Sparen Sie 49,34 € (-15 %)
Zzgl. Versandkosten 20,00 € und MwSt
100 μg (Weitere Mengeneinheiten)
Lieferung nach: Deutschland
Lieferung in 11 bis 15 Werktagen
 
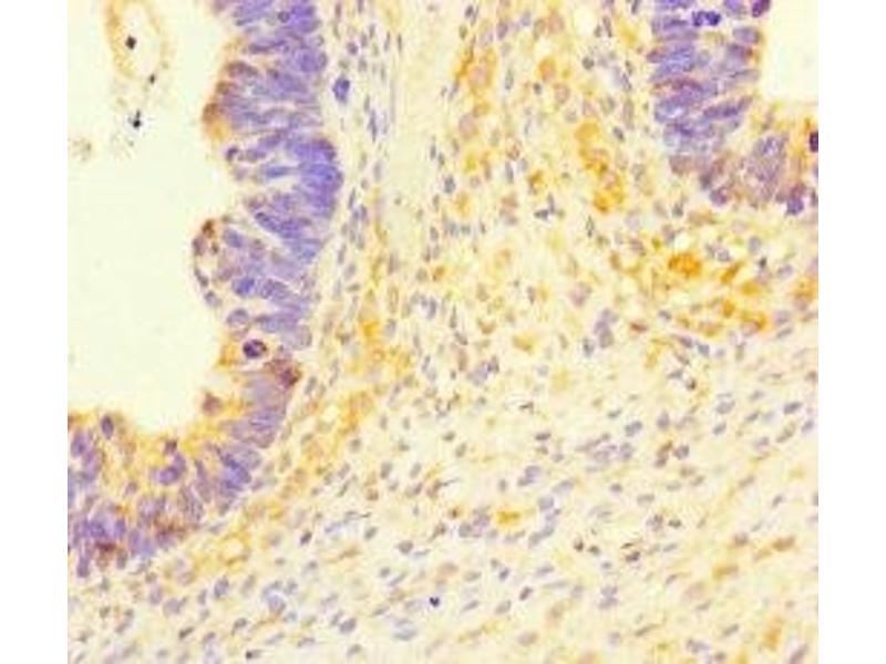
SLC35D2 Reaktivität: Maus ELISA, WB, IF (cc), IF (p), IHC (p), ICC, IHC (fro) Wirt: Kaninchen Polyclonal unconjugated
Produktnummer ABIN5674961
-15% Promotion 2026
304,04 €
357,70 €
Sparen Sie 53,66 € (-15 %)
Zzgl. Versandkosten 20,00 € und MwSt
100 μL
Lieferung nach: Deutschland
Lieferung in 8 bis 11 Werktagen
 
SLC35D2 Reaktivität: Human ELISA, WB, IHC, IHC (p), ICC Wirt: Kaninchen Polyclonal unconjugated
Produktnummer ABIN1935979
-15% Promotion 2026
435,26 €
512,07 €
Sparen Sie 76,81 € (-15 %)
Zzgl. Versandkosten 20,00 € und MwSt
50 μg
Lieferung nach: Deutschland
Lieferung in 15 bis 19 Werktagen
 
SLC35D2 Reaktivität: Human ELISA, WB Wirt: Maus Monoclonal 1H5 unconjugated
Produktnummer ABIN564788
-15% Promotion 2026
553,52 €
651,20 €
Sparen Sie 97,68 € (-15 %)
Zzgl. Versandkosten 20,00 € und MwSt
100 μg
Lieferung nach: Deutschland
Lieferung in 8 bis 9 Werktagen
 
SLC35D2 Reaktivität: Human WB, IHC (p), EIA, IF Wirt: Kaninchen Polyclonal unconjugated
Produktnummer ABIN1450067
864,62 €
Zzgl. Versandkosten 20,00 € und MwSt
0.1 mg
Lieferung nach: Deutschland
Lieferung in 16 Werktagen
 
Produktnummer ABIN7174660
-15% Promotion 2026
279,56 €
328,90 €
Sparen Sie 49,34 € (-15 %)
Zzgl. Versandkosten 20,00 € und MwSt
100 μg (Weitere Mengeneinheiten)
Lieferung nach: Deutschland
Lieferung in 11 bis 15 Werktagen
 
Produktnummer ABIN7174661
-15% Promotion 2026
279,56 €
328,90 €
Sparen Sie 49,34 € (-15 %)
Zzgl. Versandkosten 20,00 € und MwSt
100 μg (Weitere Mengeneinheiten)
Lieferung nach: Deutschland
Lieferung in 11 bis 15 Werktagen
 
Produktnummer ABIN7174659
-15% Promotion 2026
279,56 €
328,90 €
Sparen Sie 49,34 € (-15 %)
Zzgl. Versandkosten 20,00 € und MwSt
100 μg (Weitere Mengeneinheiten)
Lieferung nach: Deutschland
Lieferung in 11 bis 15 Werktagen
 
SLC35D2 Reaktivität: Maus ELISA, WB, IHC (p), IHC (fro) Wirt: Kaninchen Polyclonal Biotin
Produktnummer ABIN5674962
-15% Promotion 2026
356,57 €
419,50 €
Sparen Sie 62,93 € (-15 %)
Zzgl. Versandkosten 20,00 € und MwSt
100 μL
Lieferung nach: Deutschland
Lieferung in 15 bis 21 Werktagen
 
SLC35D2 Reaktivität: Maus WB, IF (cc), IF (p) Wirt: Kaninchen Polyclonal AbBy Fluor® 555
Produktnummer ABIN6978706
-15% Promotion 2026
362,41 €
426,37 €
Sparen Sie 63,96 € (-15 %)
Zzgl. Versandkosten 20,00 € und MwSt
100 μL
Lieferung nach: Deutschland
Lieferung in 8 bis 11 Werktagen
 
SLC35D2 Reaktivität: Maus WB, IF (cc), IF (p) Wirt: Kaninchen Polyclonal AbBy Fluor® 350
Produktnummer ABIN6976984
-15% Promotion 2026
362,41 €
426,37 €
Sparen Sie 63,96 € (-15 %)
Zzgl. Versandkosten 20,00 € und MwSt
100 μL
Lieferung nach: Deutschland
Lieferung in 8 bis 11 Werktagen
 
SLC35D2 Reaktivität: Maus WB, IF (cc), IF (p) Wirt: Kaninchen Polyclonal AbBy Fluor® 680
Produktnummer ABIN6981272
-15% Promotion 2026
362,41 €
426,37 €
Sparen Sie 63,96 € (-15 %)
Zzgl. Versandkosten 20,00 € und MwSt
100 μL
Lieferung nach: Deutschland
Lieferung in 8 bis 11 Werktagen
 
SLC35D2 Reaktivität: Maus WB, IF (cc), IF (p) Wirt: Kaninchen Polyclonal AbBy Fluor® 647
Produktnummer ABIN6980360
-15% Promotion 2026
362,41 €
426,37 €
Sparen Sie 63,96 € (-15 %)
Zzgl. Versandkosten 20,00 € und MwSt
100 μL
Lieferung nach: Deutschland
Lieferung in 8 bis 11 Werktagen
 
SLC35D2 Reaktivität: Maus WB, IF (cc), IF (p) Wirt: Kaninchen Polyclonal AbBy Fluor® 594
Produktnummer ABIN6979501
-15% Promotion 2026
362,41 €
426,37 €
Sparen Sie 63,96 € (-15 %)
Zzgl. Versandkosten 20,00 € und MwSt
100 μL
Lieferung nach: Deutschland
Lieferung in 8 bis 11 Werktagen
 
SLC35D2 Reaktivität: Maus WB, IF (cc), IF (p) Wirt: Kaninchen Polyclonal AbBy Fluor® 488
Produktnummer ABIN6977845
-15% Promotion 2026
362,41 €
426,37 €
Sparen Sie 63,96 € (-15 %)
Zzgl. Versandkosten 20,00 € und MwSt
100 μL
Lieferung nach: Deutschland
Lieferung in 8 bis 11 Werktagen
 
SLC35D2 Reaktivität: Maus WB, IF (cc), IF (p) Wirt: Kaninchen Polyclonal AbBy Fluor® 750
Produktnummer ABIN6982244
-15% Promotion 2026
362,41 €
426,37 €
Sparen Sie 63,96 € (-15 %)
Zzgl. Versandkosten 20,00 € und MwSt
100 μL
Lieferung nach: Deutschland
Lieferung in 8 bis 11 Werktagen
 
SLC35D2 Reaktivität: Maus WB, IF (cc), IF (p) Wirt: Kaninchen Polyclonal Cy3
Produktnummer ABIN6983782
-15% Promotion 2026
371,90 €
437,53 €
Sparen Sie 65,63 € (-15 %)
Zzgl. Versandkosten 20,00 € und MwSt
100 μL
Lieferung nach: Deutschland
Lieferung in 8 bis 11 Werktagen
 
SLC35D2 Reaktivität: Maus WB, IF (cc), IF (p) Wirt: Kaninchen Polyclonal FITC
Produktnummer ABIN6987226
-15% Promotion 2026
371,90 €
437,53 €
Sparen Sie 65,63 € (-15 %)
Zzgl. Versandkosten 20,00 € und MwSt
100 μL
Lieferung nach: Deutschland
Lieferung in 8 bis 11 Werktagen
 
SLC35D2 Reaktivität: Maus WB, IF (cc), IF (p) Wirt: Kaninchen Polyclonal Cy5.5
Produktnummer ABIN6985504
-15% Promotion 2026
371,90 €
437,53 €
Sparen Sie 65,63 € (-15 %)
Zzgl. Versandkosten 20,00 € und MwSt
100 μL
Lieferung nach: Deutschland
Lieferung in 8 bis 11 Werktagen
 
SLC35D2 Reaktivität: Maus WB, IF (cc), IF (p) Wirt: Kaninchen Polyclonal Cy7
Produktnummer ABIN6986365
-15% Promotion 2026
371,90 €
437,53 €
Sparen Sie 65,63 € (-15 %)
Zzgl. Versandkosten 20,00 € und MwSt
100 μL
Lieferung nach: Deutschland
Lieferung in 8 bis 11 Werktagen
 
  • Typ Primary
    • Primary
  • Anwendung
    • Western Blotting (WB)
    • Immunofluorescence (Cultured Cells) (IF (cc))
    • Immunofluorescence (Paraffin-embedded Sections) (IF (p))
    • ELISA
    • Immunohistochemistry (Paraffin-embedded Sections) (IHC (p))
    • Immunocytochemistry (ICC)
    • Immunohistochemistry (Frozen Sections) (IHC (fro))
    • Immunohistochemistry (IHC)
    • Enzyme Immunoassay (EIA)
    • Immunofluorescence (IF)
  • Reaktivität
    • Mouse
    • Human
    • Cow
    • Pig
  • Abbildungen verfügbar
  • Carrier free only
  • Wirt
    • Rabbit
    • Mouse
  • Klonalität
    • Polyclonal
    • Monoclonal
  • Klon
    • 1H5
  • Bindungsspezifität
    • AA 251-326
    • AA 75-146
    • C-Term
    • AA 74-131
    • AA 74-132
  • Konjugat
    • Unkonjugiert
    • FITC
    • Biotin
    • HRP
    • AbBy Fluor® 350
    • AbBy Fluor® 488
    • AbBy Fluor® 555
    • AbBy Fluor® 594
    • AbBy Fluor® 647
    • AbBy Fluor® 680
    • AbBy Fluor® 750
    • Cy3
    • Cy5
    • Cy5.5
    • Cy7
  • Isotyp
    • IgG
    • IgG2a
    • IgG2a lambda
  • Format
    • Liquid
  • Hersteller
    • antibodies-online
    • Abbexa
    • Acris
    • Aviva Systems Biology
    • USBio

Aliase für Solute Carrier Family 35 (UDP-GlcNAc/UDP-Glucose Transporter), Member D2 Antikörper

solute carrier family 35, member D2 (Slc35d2) Antikörper
5730408I21Rik Antikörper
hfrc Antikörper
mUGTrel8 Antikörper
SQV7L Antikörper
UGTrel8 Antikörper

Haben Sie etwas anderes gesucht?

Sie sind hier:
Chat with us!