Telefon:
+49 (0)241 95 163 153
Fax:
+49 (0)241 95 163 155
E-Mail:
orders@antikoerper-online.de

SLC9A3R2 Antikörper

(Solute Carrier Family 9 (Sodium/hydrogen Exchanger), Member 3 Regulator 2 (SLC9A3R2))

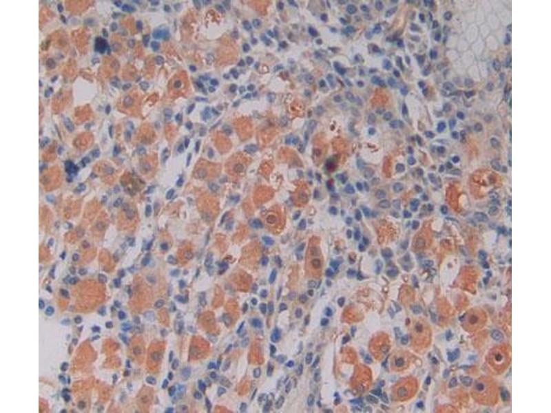
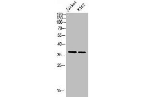
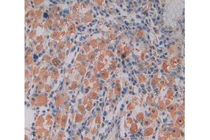
Wählen Sie einen von 36 SLC9A3R2-Antikörpern aus unserem Produktangebot basierend auf 1 Publikation und 29 Validierungsbilder.

Entdecken Sie zuverlässige SLC9A3R2-Antikörper von einer großen Zahl namhafter Hersteller. Unser Portfolio ermöglicht eine präzise SLC9A3R2-Detektion in verschiedenen Spezies, darunter Human, Mouse, Rat, Guinea Pig, Cow, Rabbit, Dog, Monkey, Bat, Horse, Pig, Xenopus laevis, und unterstützt vielfältige Forschungsanwendungen wie WB, ELISA, IHC, IP, ICC.

Finden Sie schnell den passenden Antikörper mit unseren Such-, Filter- und Vergleichsfunktionen. Auf jeder Produktseite stehen Ihnen detaillierte Validierungsdaten, Literaturreferenzen und Kundenbewertungen zur Verfügung. Im Gegensatz zu reinen Vergleichsportalen können Sie Ihre Antikörper direkt über unsere Plattform erwerben. Wählen Sie aus polyklonalen, monoklonalen oder rekombinanten SLC9A3R2-Antikörpern aus verschiedenen Wirtsarten wie Rabbit, Goat, Mouse. Durchstöbern Sie unten unsere Auswahl an SLC9A3R2-Antikörpern und bestellen Sie direkt, um Ihre Forschung effizient voranzubringen.

Alternative Bezeichnungen für SLC9A3R2 sind SLC9A3R2, Slc9a3r2, slc9a3r2.S.

36 Treffer

SLC9A3R2 Reaktivität: Human WB, IHC, IP, ICC Wirt: Kaninchen Polyclonal unconjugated
Produktnummer ABIN7442744
298,22 €
Zzgl. Versandkosten 20,00 € und MwSt
100 μL (Weitere Mengeneinheiten)
Lieferung nach: Deutschland
Lieferung in 11 bis 15 Werktagen
 
SLC9A3R2 Reaktivität: Human WB, IHC, IP, IF/ICC Wirt: Kaninchen Polyclonal unconjugated
Produktnummer ABIN2904528
478,68 €
Zzgl. Versandkosten 20,00 € und MwSt
100 μL (Weitere Mengeneinheiten)
Lieferung nach: Deutschland
Lieferung in 7 bis 15 Werktagen
 
SLC9A3R2 Reaktivität: Human, Ratte, Maus ELISA, IHC Wirt: Kaninchen Polyclonal unconjugated
Produktnummer ABIN7242416
449,00 €
Zzgl. Versandkosten 20,00 € und MwSt
200 μL (Weitere Mengeneinheiten)
Lieferung nach: Deutschland
Lieferung in 9 bis 13 Werktagen
 
SLC9A3R2 Reaktivität: Human, Maus WB Wirt: Kaninchen Polyclonal unconjugated
Produktnummer ABIN2855053
583,17 €
Zzgl. Versandkosten 20,00 € und MwSt
100 μL
Lieferung nach: Deutschland
Lieferung in 7 bis 10 Werktagen
 
Verified SLC9A3R2 Reaktivität: Human ELISA, WB, IHC Wirt: Ziege Polyclonal unconjugated
Produktnummer ABIN185496
488,25 €
Zzgl. Versandkosten 20,00 € und MwSt
100 μg
Lieferung nach: Deutschland
Lieferung in 5 bis 8 Werktagen
 
SLC9A3R2 Reaktivität: Human ELISA, WB, IHC Wirt: Kaninchen Polyclonal unconjugated
Produktnummer ABIN7160805
328,90 €
Zzgl. Versandkosten 20,00 € und MwSt
100 μg (Weitere Mengeneinheiten)
Lieferung nach: Deutschland
Lieferung in 11 bis 15 Werktagen
 
SLC9A3R2 Reaktivität: Human WB, IP Wirt: Maus Monoclonal 32B6 unconjugated
Pubmed 1 reference
Produktnummer ABIN1169696
764,94 €
Zzgl. Versandkosten 20,00 € und MwSt
100 μL
Lieferung nach: Deutschland
Lieferung in 6 bis 8 Werktagen
 
SLC9A3R2 Reaktivität: Human WB, IHC, IP, ICC Wirt: Kaninchen Polyclonal unconjugated
Produktnummer ABIN2119541
232,00 €
Zzgl. Versandkosten 20,00 € und MwSt
100 μL (Weitere Mengeneinheiten)
Lieferung nach: Deutschland
Lieferung in 13 bis 17 Werktagen
 
SLC9A3R2 Reaktivität: Human ELISA, WB Wirt: Kaninchen Polyclonal unconjugated
Produktnummer ABIN7188904
218,90 €
Zzgl. Versandkosten 20,00 € und MwSt
100 μg (Weitere Mengeneinheiten)
Lieferung nach: Deutschland
Lieferung in 11 bis 15 Werktagen
 
SLC9A3R2 Reaktivität: Human WB Wirt: Kaninchen Polyclonal unconjugated
Produktnummer ABIN7270487
320,00 €
Zzgl. Versandkosten 20,00 € und MwSt
100 μL (Weitere Mengeneinheiten)
Lieferung nach: Deutschland
Lieferung in 7 bis 9 Werktagen
 
SLC9A3R2 Reaktivität: Human, Maus, Meerschweinchen, Rind (Kuh), Affe, Fledermaus, Schwein WB Wirt: Kaninchen Polyclonal unconjugated
Produktnummer ABIN6748141
789,41 €
Zzgl. Versandkosten 20,00 € und MwSt
100 μL
Lieferung nach: Deutschland
Lieferung in 15 bis 20 Werktagen
 
SLC9A3R2 Reaktivität: Human, Ratte WB Wirt: Kaninchen Polyclonal unconjugated
Produktnummer ABIN928037
1.218,13 €
Zzgl. Versandkosten 20,00 € und MwSt
100 μL
Lieferung nach: Deutschland
Lieferung in 20 bis 27 Werktagen
 
SLC9A3R2 Reaktivität: Human, Ratte, Maus ELISA, WB, ICC, IF Wirt: Kaninchen Polyclonal unconjugated
Produktnummer ABIN6259126
525,71 €
Zzgl. Versandkosten 20,00 € und MwSt
100 μL (Weitere Mengeneinheiten)
Lieferung nach: Deutschland
Lieferung in 9 bis 11 Werktagen
 
SLC9A3R2 Reaktivität: Human, Ratte, Maus ELISA, WB Wirt: Kaninchen Polyclonal unconjugated
Produktnummer ABIN3188080
377,51 €
Zzgl. Versandkosten 20,00 € und MwSt
100 μL (Weitere Mengeneinheiten)
Lieferung nach: Deutschland
Lieferung in 8 bis 10 Werktagen
 
SLC9A3R2 Reaktivität: Human, Ratte, Maus ELISA, WB Wirt: Kaninchen Polyclonal unconjugated
Produktnummer ABIN7226614
623,62 €
Zzgl. Versandkosten 20,00 € und MwSt
100 μL (Weitere Mengeneinheiten)
Lieferung nach: Deutschland
Lieferung in 10 bis 14 Werktagen
 
SLC9A3R2 Reaktivität: Human ELISA Wirt: Kaninchen Polyclonal Biotin
Produktnummer ABIN7160806
328,90 €
Zzgl. Versandkosten 20,00 € und MwSt
100 μg (Weitere Mengeneinheiten)
Lieferung nach: Deutschland
Lieferung in 11 bis 15 Werktagen
 
SLC9A3R2 Reaktivität: Human ELISA Wirt: Kaninchen Polyclonal HRP
Produktnummer ABIN7160808
328,90 €
Zzgl. Versandkosten 20,00 € und MwSt
100 μg (Weitere Mengeneinheiten)
Lieferung nach: Deutschland
Lieferung in 11 bis 15 Werktagen
 
SLC9A3R2 Reaktivität: Human Wirt: Kaninchen Polyclonal FITC
Produktnummer ABIN7160807
328,90 €
Zzgl. Versandkosten 20,00 € und MwSt
100 μg (Weitere Mengeneinheiten)
Lieferung nach: Deutschland
Lieferung in 11 bis 15 Werktagen
 
SLC9A3R2 Reaktivität: Human, Maus WB Wirt: Kaninchen Polyclonal unconjugated
Produktnummer ABIN1832876
833,74 €
Zzgl. Versandkosten 20,00 € und MwSt
100 μL
Lieferung nach: Deutschland
Lieferung in 15 bis 20 Werktagen
 
SLC9A3R2 Reaktivität: Human, Ratte, Maus, Meerschweinchen, Kaninchen, Affe, Xenopus laevis WB Wirt: Kaninchen Polyclonal unconjugated
Produktnummer ABIN6746231
789,41 €
Zzgl. Versandkosten 20,00 € und MwSt
100 μL
Lieferung nach: Deutschland
Lieferung in 15 bis 20 Werktagen
 
  • Typ Primary
    • Primary
  • Anwendung
    • Western Blotting (WB)
    • ELISA
    • Immunohistochemistry (IHC)
    • Immunoprecipitation (IP)
    • Immunocytochemistry (ICC)
    • Flow Cytometry (FACS)
    • Immunofluorescence (IF)
    • Immunofluorescence (fixed cells) (IF/ICC)
  • Reaktivität
    • Human
    • Mouse
    • Rat
    • Guinea Pig
    • Cow
    • Rabbit
    • Dog
    • Monkey
    • Bat
    • Horse
    • Pig
    • Xenopus laevis
  • In Publikationen zitiert
  • Abbildungen verfügbar
  • Carrier free only
  • Wirt
    • Rabbit
    • Goat
    • Mouse
  • Klonalität
    • Polyclonal
    • Monoclonal
  • Klon
    • 32B6
  • Bindungsspezifität
    • AA 106-313
    • N-Term
    • AA 56-337
    • AA 56-326
    • C-Term
    • Internal Region
    • AA 1-324
    • AA 11-340
    • AA 124-173
    • AA 180-300
    • AA 20-100
    • AA 82-307
    • Center
  • Konjugat
    • Unkonjugiert
    • Biotin
    • FITC
    • Alexa Fluor 488
    • Alexa Fluor 555
    • Alexa Fluor 594
    • Alexa Fluor 647
    • Alexa Fluor 680
    • Alexa Fluor 750
    • HRP
  • Isotyp
    • IgG
    • IgG1
  • Format
    • Liquid
    • Lyophilized
  • Grade
    • Verified
  • Hersteller
    • antibodies-online
    • Signalway
    • Abbexa
    • Aviva Systems Biology
    • Boster Bio
    • Cloud-Clone
    • USBio

Aktuelle Publikationen für unsere SLC9A3R2 Antikörper

Theisen, Wahl, Johnson, Wheelock: "NHERF links the N-cadherin/catenin complex to the platelet-derived growth factor receptor to modulate the actin cytoskeleton and regulate cell motility." in: Molecular biology of the cell, Vol. 18, Issue 4, pp. 1220-32, (2007) (PubMed).

Cha, Kim, Hut, Hogema, Nadarja, Zizak, Cavet, Lee-Kwon, Lohmann, Smolenski, Tse, Yun, de Jonge, Donowitz: "cGMP inhibition of Na+/H+ antiporter 3 (NHE3) requires PDZ domain adapter NHERF2, a broad specificity protein kinase G-anchoring protein." in: The Journal of biological chemistry, Vol. 280, Issue 17, pp. 16642-50, (2005) (PubMed).

Aliase für SLC9A3R2 Antikörper

SLC9A3 regulator 2 (SLC9A3R2) Antikörper
solute carrier family 9, subfamily A (NHE3, cation proton antiporter 3), member 3 regulator 2 (SLC9A3R2) Antikörper
solute carrier family 9 (sodium/hydrogen exchanger), member 3 regulator 2 (Slc9a3r2) Antikörper
SLC9A3 regulator 2 (Slc9a3r2) Antikörper
SLC9A3 regulator 2 S homeolog (slc9a3r2.S) Antikörper
0610011L07Rik Antikörper
1200011K07Rik Antikörper
2010007A20Rik Antikörper
E3KARP Antikörper
E3karp Antikörper
NHE3RF2 Antikörper
NHERF-2 Antikörper
nherf-2 Antikörper
NHERF2 Antikörper
nherf2 Antikörper
OCTS2 Antikörper
Octs2 Antikörper
SIP-1 Antikörper
Sip-1 Antikörper
SIP1 Antikörper
Sip1 Antikörper
slc9a3r2 Antikörper
Sryip1 Antikörper
TKA-1 Antikörper
Tka-1 Antikörper
Sie sind hier:
Chat with us!