Telefon:
+49 (0)241 95 163 153
Fax:
+49 (0)241 95 163 155
E-Mail:
orders@antikoerper-online.de

Maus anti-Human IgA Secretory Component Antikörper

FACS, IF, IHC (f) Monoclonal ECM1-792 IgG1 kappa unconjugated
Produktnummer ABIN6155162
566,15 €
Zzgl. Versandkosten 20,00 € und MwSt
50 μL
Lieferung nach: Deutschland
Lieferung in 7 bis 10 Werktagen

Kurzübersicht für Maus anti-Human IgA Secretory Component Antikörper (ABIN6155162)

Target

IgA Secretory Component

Klonalität

  • 8
  • 5
Monoklonal

Applikation

  • 7
  • 7
  • 7
  • 3
  • 3
  • 3
  • 2
  • 1
  • 1
  • 1
  • 1
  • 1
Flow Cytometry (FACS), Immunofluorescence (IF), Immunohistochemistry (Formalin-fixed Sections) (IHC (f))

Klon

ECM1-792

Isotyp

IgG1 kappa
  • Reaktivität

    • 11
    • 7
    • 1
    • 1
    Human, Ratte

    Wirt

    • 8
    • 5
    Maus

    Verwendungszweck

    Mouse Monoclonal anti-IgA Secretory Component (ECM1/792), Purified, BSA-free

    Produktmerkmale

    This MAb reacts with a reduction-resistant epitope present in both free and SIgA bound Secretory Component. It does not react with the cell lines lacking secretory component. The antibody is useful for studying the distribution and level of both free and bound secretory component. Secretory component is differentially expressed in epithelium, and the antibody is a popular marker for identifying subpopulations of epithelial cells and epithelial differentiation. The Secretory component antibody is a useful research tool for studying mucosal immunity, inflammation, remodeling, differentiation and tumorigenesis, all processes associated with differential secretory component expression. Primary antibodies are available purified, or with a selection of fluorescent CF® dyes and other labels. CF® dyes offer exceptional brightness and photostability. Note: Conjugates of blue fluorescent dyes like CF®405S and CF®405M are not recommended for detecting low abundance targets, because blue dyes have lower fluorescence and can give higher non-specific background than other dye colors.

    Aufreinigung

    Purified

    Immunogen

    Recombinant human ECM1 protein
  • Applikationshinweise

    Immunohistology formalin-fixed 0.5-1 μg/mL
    • Staining of formalin-fixed tissues requires boiling tissue sections in 10 mM citrate buffer,  pH 6.0, for 10-20 min followed by cooling at RT for 20 minutes
    • Flow Cytometry 0.5-1 μg/million cells/0.1 mL
    • Immunofluorescence 1-2 μg/mL
    • Optimal dilution for a specific application should be determined by user

    Kommentare

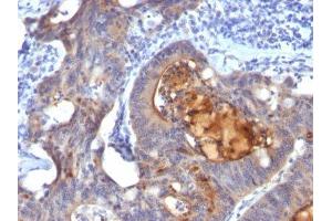
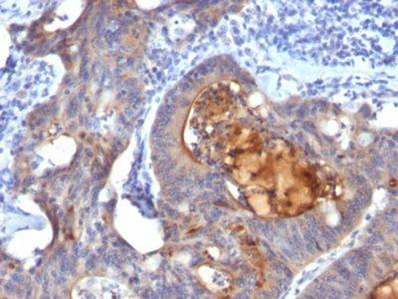
    Stomach, Lung, or breast tumor

    Beschränkungen

    Nur für Forschungszwecke einsetzbar
  • Format

    Liquid

    Konzentration

    1 mg/mL

    Buffer

    PBS (no BSA, no azide)

    Konservierungsmittel

    Azide free
  • Target

    IgA Secretory Component

    Hintergrund

    ECM1, Extracellular Matrix Protein 1, Secretory Component p85, URBWD

    Molekulargewicht

    ~80 kDa

    Gen-ID

    1893, 81071

    UniProt

    Q16610
Sie sind hier:
Chat with us!