Telefon:
+49 (0)241 95 163 153
Fax:
+49 (0)241 95 163 155
E-Mail:
orders@antikoerper-online.de

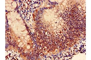
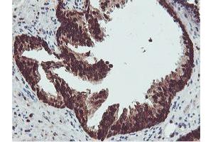
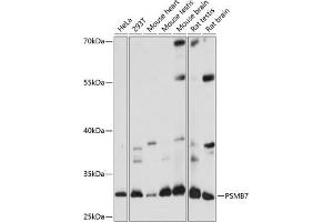
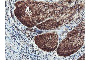
PSMB7 Antikörper

(Proteasome (Prosome, Macropain) Subunit, beta Type, 7 (PSMB7))

Wählen Sie einen von 41 PSMB7-Antikörpern aus unserem Produktangebot basierend auf 1 Publikation und 32 Validierungsbilder.

Entdecken Sie zuverlässige PSMB7-Antikörper von einer großen Zahl namhafter Hersteller. Unser Portfolio ermöglicht eine präzise PSMB7-Detektion in verschiedenen Spezies, darunter Human, Mouse, Rat, Monkey, Dog, Cow, Guinea Pig, Horse, Rabbit, und unterstützt vielfältige Forschungsanwendungen wie WB, ELISA, IHC, IF, IHC (p).

Finden Sie schnell den passenden Antikörper mit unseren Such-, Filter- und Vergleichsfunktionen. Auf jeder Produktseite stehen Ihnen detaillierte Validierungsdaten, Literaturreferenzen und Kundenbewertungen zur Verfügung. Im Gegensatz zu reinen Vergleichsportalen können Sie Ihre Antikörper direkt über unsere Plattform erwerben. Wählen Sie aus polyklonalen, monoklonalen oder rekombinanten PSMB7-Antikörpern aus verschiedenen Wirtsarten wie Rabbit, Mouse, Goat. Durchstöbern Sie unten unsere Auswahl an PSMB7-Antikörpern und bestellen Sie direkt, um Ihre Forschung effizient voranzubringen.

Alternative Bezeichnungen für PSMB7 sind psmB7, psmb7.S, PSMB7, Psmb7.

41 Treffer

PSMB7 Reaktivität: Human, Maus, Affe WB, IHC, IHC (p) Wirt: Maus Monoclonal 1E1 unconjugated
Produktnummer ABIN1491598
806,47 €
Zzgl. Versandkosten 20,00 € und MwSt
100 μL
Lieferung nach: Deutschland
Lieferung in 15 bis 20 Werktagen
 
PSMB7 Reaktivität: Human WB, ELISA, IHC, IF Wirt: Kaninchen Polyclonal unconjugated
Produktnummer ABIN7164986
328,90 €
Zzgl. Versandkosten 20,00 € und MwSt
100 μg (Weitere Mengeneinheiten)
Lieferung nach: Deutschland
Lieferung in 11 bis 15 Werktagen
 
PSMB7 Reaktivität: Human, Maus WB, IHC (p) Wirt: Kaninchen Polyclonal RB53130 unconjugated
Pubmed 1 reference
Produktnummer ABIN6243729
434,77 €
Zzgl. Versandkosten 20,00 € und MwSt
200 μL (Weitere Mengeneinheiten)
Lieferung nach: Deutschland
Lieferung in 14 bis 17 Werktagen
 
PSMB7 Reaktivität: Human WB, IF Wirt: Kaninchen Polyclonal unconjugated
Produktnummer ABIN7269594
320,00 €
Zzgl. Versandkosten 20,00 € und MwSt
100 μL (Weitere Mengeneinheiten)
Lieferung nach: Deutschland
Lieferung in 7 bis 9 Werktagen
 
PSMB7 Reaktivität: Human WB, FACS Wirt: Maus Monoclonal 25GB5660 unconjugated
Produktnummer ABIN7799954
394,31 €
Zzgl. Versandkosten 20,00 € und MwSt
100 μL
Lieferung nach: Deutschland
Lieferung in 7 bis 10 Werktagen
 
PSMB7 Reaktivität: Human, Maus, Ratte IF Wirt: Kaninchen Polyclonal unconjugated
Produktnummer ABIN7258114
580,00 €
Zzgl. Versandkosten 20,00 € und MwSt
200 μL (Weitere Mengeneinheiten)
Lieferung nach: Deutschland
Lieferung in 9 bis 13 Werktagen
 
PSMB7 Reaktivität: Human WB, IF Wirt: Maus Polyclonal unconjugated
Produktnummer ABIN948336
651,20 €
Zzgl. Versandkosten 20,00 € und MwSt
50 μg
Lieferung nach: Deutschland
Lieferung in 8 bis 9 Werktagen
 
PSMB7 Reaktivität: Human WB Wirt: Maus Monoclonal 25GB5730 unconjugated
Produktnummer ABIN7799955
394,31 €
Zzgl. Versandkosten 20,00 € und MwSt
100 μL
Lieferung nach: Deutschland
Lieferung in 7 bis 10 Werktagen
 
Verified PSMB7 Reaktivität: Human, Maus WB, ELISA Wirt: Ziege Polyclonal unconjugated
Produktnummer ABIN571233
488,25 €
Zzgl. Versandkosten 20,00 € und MwSt
100 μg
Lieferung nach: Deutschland
Lieferung in 5 bis 8 Werktagen
 
PSMB7 Reaktivität: Human Wirt: Kaninchen Polyclonal FITC
Produktnummer ABIN7164988
328,90 €
Zzgl. Versandkosten 20,00 € und MwSt
100 μg (Weitere Mengeneinheiten)
Lieferung nach: Deutschland
Lieferung in 11 bis 15 Werktagen
 
PSMB7 Reaktivität: Human ELISA Wirt: Kaninchen Polyclonal Biotin
Produktnummer ABIN7164987
328,90 €
Zzgl. Versandkosten 20,00 € und MwSt
100 μg (Weitere Mengeneinheiten)
Lieferung nach: Deutschland
Lieferung in 11 bis 15 Werktagen
 
PSMB7 Reaktivität: Human ELISA Wirt: Kaninchen Polyclonal HRP
Produktnummer ABIN7164989
328,90 €
Zzgl. Versandkosten 20,00 € und MwSt
100 μg (Weitere Mengeneinheiten)
Lieferung nach: Deutschland
Lieferung in 11 bis 15 Werktagen
 
PSMB7 Reaktivität: Human, Maus, Ratte WB, IHC (p), IF (p) Wirt: Kaninchen Polyclonal unconjugated
Produktnummer ABIN1387051
357,70 €
Zzgl. Versandkosten 20,00 € und MwSt
100 μL
Lieferung nach: Deutschland
Lieferung in 8 bis 12 Werktagen
 
PSMB7 Reaktivität: Human, Maus, Ratte WB, ELISA, IHC Wirt: Kaninchen Polyclonal unconjugated
Produktnummer ABIN7117911
393,85 €
Zzgl. Versandkosten 20,00 € und MwSt
100 μg
Lieferung nach: Deutschland
Lieferung in 11 bis 15 Werktagen
 
PSMB7 Reaktivität: Human, Maus WB, IHC (fp) Wirt: Kaninchen Polyclonal unconjugated
Produktnummer ABIN7453543
576,62 €
Zzgl. Versandkosten 20,00 € und MwSt
100 μg (Weitere Mengeneinheiten)
Lieferung nach: Deutschland
Lieferung in 7 bis 10 Werktagen
 
PSMB7 Reaktivität: Human WB, ELISA, IHC Wirt: Kaninchen Polyclonal FITC
Produktnummer ABIN1957109
678,59 €
Zzgl. Versandkosten 20,00 € und MwSt
100 μg (Weitere Mengeneinheiten)
Lieferung nach: Deutschland
Lieferung in 15 bis 20 Werktagen
 
PSMB7 Reaktivität: Human WB, ELISA, IHC Wirt: Kaninchen Polyclonal HRP
Produktnummer ABIN1958218
678,59 €
Zzgl. Versandkosten 20,00 € und MwSt
100 μg (Weitere Mengeneinheiten)
Lieferung nach: Deutschland
Lieferung in 15 bis 20 Werktagen
 
PSMB7 Reaktivität: Human WB, ELISA, IHC Wirt: Kaninchen Polyclonal Biotin
Produktnummer ABIN1955876
678,59 €
Zzgl. Versandkosten 20,00 € und MwSt
100 μg (Weitere Mengeneinheiten)
Lieferung nach: Deutschland
Lieferung in 15 bis 20 Werktagen
 
PSMB7 Reaktivität: Human WB, IF, IHC (p), ICC Wirt: Kaninchen Polyclonal unconjugated
Produktnummer ABIN7468791
765,00 €
Zzgl. Versandkosten 20,00 € und MwSt
100 μL
Lieferung nach: Deutschland
Lieferung in 7 bis 10 Werktagen
 
PSMB7 Reaktivität: Human, Maus, Ratte, Affe, Hund WB, IF Wirt: Maus Monoclonal 4E3 unconjugated
Produktnummer ABIN2627313
806,47 €
Zzgl. Versandkosten 20,00 € und MwSt
100 μL
Lieferung nach: Deutschland
Lieferung in 15 bis 20 Werktagen
 
  • Typ Primary
    • Primary
  • Anwendung
    • Western Blotting (WB)
    • ELISA
    • Immunohistochemistry (IHC)
    • Immunofluorescence (IF)
    • Immunohistochemistry (Paraffin-embedded Sections) (IHC (p))
    • Flow Cytometry (FACS)
    • Immunocytochemistry (ICC)
    • Immunofluorescence (Paraffin-embedded Sections) (IF (p))
    • Immunohistochemistry (Formalin-fixed Paraffin-embedded Sections) (IHC (fp))
  • Reaktivität
    • Human
    • Mouse
    • Rat
    • Monkey
    • Dog
    • Cow
    • Guinea Pig
    • Horse
    • Rabbit
  • In Publikationen zitiert
  • Abbildungen verfügbar
  • Carrier free only
  • Wirt
    • Rabbit
    • Mouse
    • Goat
  • Klonalität
    • Polyclonal
    • Monoclonal
  • Klon
    • 1E1
    • 1D1
    • 25GB5660
    • 25GB5730
    • 3H6C8
    • 4E3
    • 4G9
    • MCP205
    • RB53130
  • Bindungsspezifität
    • AA 44-275
    • AA 58-277
    • AA 1-277
    • AA 150-200
    • AA 17-277
    • pSer214
    • AA 180-211
    • AA 44-200
    • C-Term
    • Internal Region
  • Konjugat
    • Unkonjugiert
    • Biotin
    • FITC
    • HRP
    • Alexa Fluor 488
    • Alexa Fluor 555
    • Alexa Fluor 594
    • Alexa Fluor 647
    • Alexa Fluor 680
    • Alexa Fluor 750
  • Isotyp
    • IgG
    • IgG1
    • IgG2b
    • Ig Fraction
  • Format
    • Liquid
    • Lyophilized
  • Grade
    • Verified
  • Hersteller
    • antibodies-online
    • Signalway
    • Boster Bio
    • CUSABIO
    • Cohesion Biosciences
    • Covalab
    • USBio

Aktuelle Publikationen für unsere PSMB7 Antikörper

Wu, Zhang, Xu, Zou, Zhou, Cai, Li, Song: "Regulation of global gene expression and cell proliferation by APP." in: Scientific reports, Vol. 6, pp. 22460, (2017) (PubMed).

Nijholt, de Graaf, van Haastert, Oliveira, Berkers, Zwart, Ovaa, Baas, Hoozemans, Scheper: "Endoplasmic reticulum stress activates autophagy but not the proteasome in neuronal cells: implications for Alzheimer's disease." in: Cell death and differentiation, Vol. 18, Issue 6, pp. 1071-81, (2011) (PubMed).

Munkácsy, Abdul-Ghani, Mihály, Tegze, Tchernitsa, Surowiak, Schäfer, Györffy: "PSMB7 is associated with anthracycline resistance and is a prognostic biomarker in breast cancer." in: British journal of cancer, Vol. 102, Issue 2, pp. 361-8, (2010) (PubMed).

Aliase für PSMB7 Antikörper

20S proteasome subunit beta-7 (psmB7) Antikörper
proteasome (prosome, macropain) subunit, beta type, 7 S homeolog (psmb7.S) Antikörper
proteasome subunit beta 7 (PSMB7) Antikörper
proteasome (prosome, macropain) subunit, beta type, 7 (Psmb7) Antikörper
proteasome (prosome, macropain) subunit, beta type 7 (Psmb7) Antikörper
proteasome subunit beta 7 (Psmb7) Antikörper
AU020723 Antikörper
DDBDRAFT_0185624 Antikörper
DDBDRAFT_0232933 Antikörper
DDB_0185624 Antikörper
DDB_0232933 Antikörper
MC14 Antikörper
Z Antikörper
Sie sind hier:
Chat with us!