Telefon:
+49 (0)241 95 163 153
Fax:
+49 (0)241 95 163 155
E-Mail:
orders@antikoerper-online.de

Polybromo 1 Antikörper

(Polybromo 1 (PBRM1))

Wählen Sie einen von 39 Polybromo 1-Antikörpern aus unserem Produktangebot basierend auf 31 Validierungsbilder.

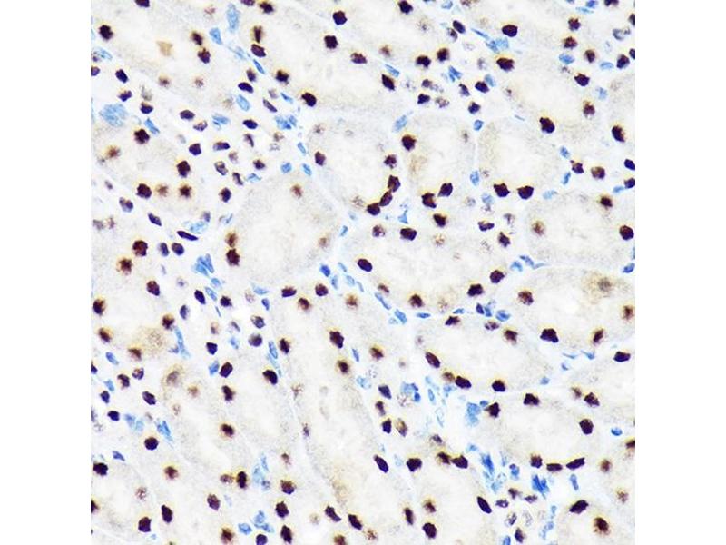
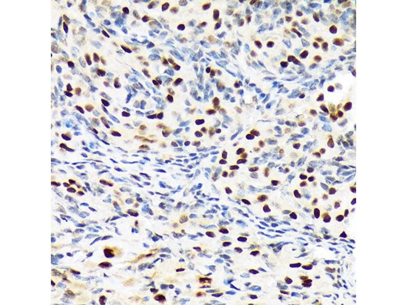
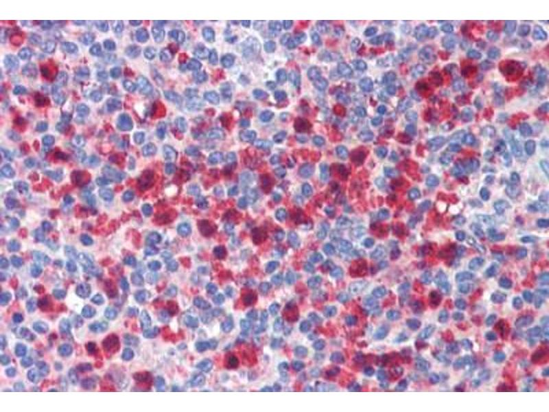
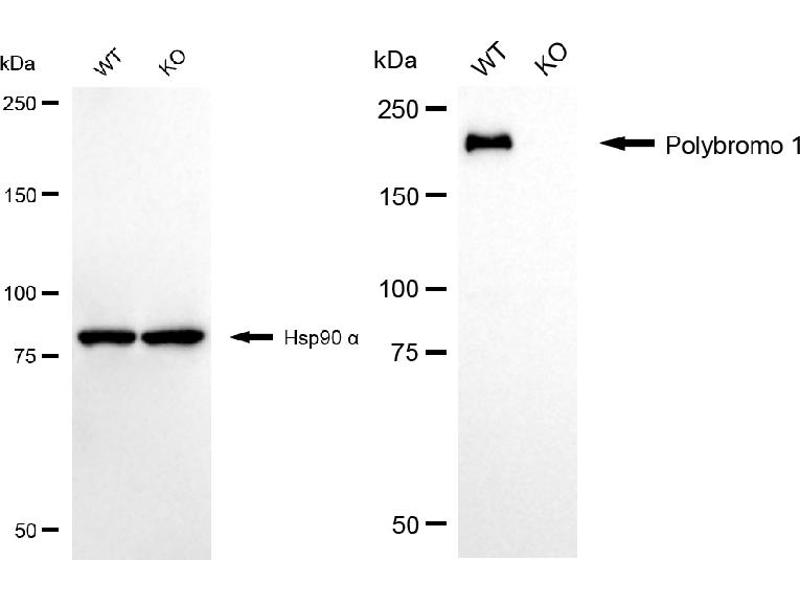
Entdecken Sie zuverlässige Polybromo 1-Antikörper von einer großen Zahl namhafter Hersteller. Unser Portfolio ermöglicht eine präzise Polybromo 1-Detektion in verschiedenen Spezies, darunter Human, Mouse, Rat, Cow, Dog, Guinea Pig, Horse, Zebrafish (Danio rerio), Rabbit, Bat, Chicken, Monkey, Pig, Xenopus laevis, und unterstützt vielfältige Forschungsanwendungen wie WB, IHC, ICC, FACS, IF.

Finden Sie schnell den passenden Antikörper mit unseren Such-, Filter- und Vergleichsfunktionen. Auf jeder Produktseite stehen Ihnen detaillierte Validierungsdaten, Literaturreferenzen und Kundenbewertungen zur Verfügung. Im Gegensatz zu reinen Vergleichsportalen können Sie Ihre Antikörper direkt über unsere Plattform erwerben. Wählen Sie aus polyklonalen, monoklonalen oder rekombinanten Polybromo 1-Antikörpern aus verschiedenen Wirtsarten wie Rabbit, Mouse. Durchstöbern Sie unten unsere Auswahl an Polybromo 1-Antikörpern und bestellen Sie direkt, um Ihre Forschung effizient voranzubringen.

Alternative Bezeichnungen für Polybromo 1 sind PBRM1, pbrm1.L, LOC100170602, pbrm1, Pbrm1.

39 Treffer

PBRM1 Reaktivität: Human WB, IHC Wirt: Kaninchen Monoclonal unconjugated
Produktnummer ABIN1512585
-15% Promotion 2026
280,50 €
330,00 €
Sparen Sie 49,50 € (-15 %)
Zzgl. Versandkosten 20,00 € und MwSt
100 μg (Weitere Mengeneinheiten)
Lieferung nach: Deutschland
Lieferung in 7 bis 9 Werktagen
 
PBRM1 Reaktivität: Human WB, IF Wirt: Maus Polyclonal unconjugated
Produktnummer ABIN949429
-15% Promotion 2026
553,52 €
651,20 €
Sparen Sie 97,68 € (-15 %)
Zzgl. Versandkosten 20,00 € und MwSt
50 μg
Lieferung nach: Deutschland
Lieferung in 8 bis 9 Werktagen
 
KO Validated PBRM1 Reaktivität: Human WB, FACS Wirt: Kaninchen Monoclonal 25GB3605 unconjugated Recombinant Antibody
Produktnummer ABIN7799873
-15% Promotion 2026
509,08 €
598,92 €
Sparen Sie 89,84 € (-15 %)
Zzgl. Versandkosten 20,00 € und MwSt
100 μL
Lieferung nach: Deutschland
Lieferung in 7 bis 9 Werktagen
 
PBRM1 Reaktivität: Human WB, IHC, IP, ICC Wirt: Kaninchen Polyclonal unconjugated
Produktnummer ABIN7436468
-15% Promotion 2026
264,03 €
310,62 €
Sparen Sie 46,59 € (-15 %)
Zzgl. Versandkosten 20,00 € und MwSt
100 μL (Weitere Mengeneinheiten)
Lieferung nach: Deutschland
Lieferung in 11 bis 15 Werktagen
 
PBRM1 Reaktivität: Human, Maus, Ratte, Rind (Kuh), Hund, Meerschweinchen, Pferd, Zebrafisch (Danio rerio), Kaninchen, Fledermaus, Huhn, Affe, Schwein WB, IHC, IHC (p) Wirt: Kaninchen Polyclonal unconjugated
Produktnummer ABIN6747037
512,07 €
Zzgl. Versandkosten 20,00 € und MwSt
100 μL
Lieferung nach: Deutschland
Lieferung in 15 bis 19 Werktagen
 
PBRM1 Reaktivität: Human WB, ICC, IF, IHC (p) Wirt: Kaninchen Polyclonal unconjugated
Produktnummer ABIN2854295
-15% Promotion 2026
495,69 €
583,17 €
Sparen Sie 87,48 € (-15 %)
Zzgl. Versandkosten 20,00 € und MwSt
100 μL
Lieferung nach: Deutschland
Lieferung in 7 bis 9 Werktagen
 
PBRM1 Reaktivität: Human, Maus WB, ChIP-seq Wirt: Kaninchen Polyclonal unconjugated
Produktnummer ABIN6972497
-15% Promotion 2026
563,62 €
663,08 €
Sparen Sie 99,46 € (-15 %)
Zzgl. Versandkosten 20,00 € und MwSt
100 μL
Lieferung nach: Deutschland
Lieferung in 2 bis 4 Werktagen
 
PBRM1 Reaktivität: Human WB Wirt: Kaninchen Polyclonal unconjugated
Produktnummer ABIN6145267
-15% Promotion 2026
272,00 €
320,00 €
Sparen Sie 48,00 € (-15 %)
Zzgl. Versandkosten 20,00 € und MwSt
100 μL (Weitere Mengeneinheiten)
Lieferung nach: Deutschland
Lieferung in 7 bis 9 Werktagen
 
PBRM1 Reaktivität: Human WB Wirt: Maus Monoclonal 6C2 unconjugated
Produktnummer ABIN4912804
-15% Promotion 2026
358,77 €
422,08 €
Sparen Sie 63,31 € (-15 %)
Zzgl. Versandkosten 20,00 € und MwSt
100 μL
Lieferung nach: Deutschland
Lieferung in 12 bis 16 Werktagen
 
PBRM1 Reaktivität: Human, Maus WB Wirt: Kaninchen Polyclonal RB51306 unconjugated
Produktnummer ABIN6242967
-15% Promotion 2026
369,55 €
434,77 €
Sparen Sie 65,22 € (-15 %)
Zzgl. Versandkosten 20,00 € und MwSt
400 μL (Weitere Mengeneinheiten)
Lieferung nach: Deutschland
Lieferung in 14 bis 16 Werktagen
 
PBRM1 Reaktivität: Human, Maus, Ratte, Rind (Kuh), Hund, Meerschweinchen, Pferd, Zebrafisch (Danio rerio), Kaninchen, Fledermaus, Huhn, Affe, Xenopus laevis WB, IHC, IHC (p) Wirt: Kaninchen Polyclonal unconjugated
Produktnummer ABIN6755418
512,07 €
Zzgl. Versandkosten 20,00 € und MwSt
100 μL
Lieferung nach: Deutschland
Lieferung in 15 bis 19 Werktagen
 
PBRM1 Reaktivität: Human WB Wirt: Maus Polyclonal unconjugated
Produktnummer ABIN527407
-15% Promotion 2026
553,52 €
651,20 €
Sparen Sie 97,68 € (-15 %)
Zzgl. Versandkosten 20,00 € und MwSt
50 μL
Lieferung nach: Deutschland
Lieferung in 8 bis 9 Werktagen
 
PBRM1 Reaktivität: Human WB, IHC, IP, ICC Wirt: Kaninchen Polyclonal unconjugated
Produktnummer ABIN1860136
245,00 €
Zzgl. Versandkosten 20,00 € und MwSt
100 μL (Weitere Mengeneinheiten)
Lieferung nach: Deutschland
Lieferung in 11 bis 15 Werktagen
 
PBRM1 Reaktivität: Human WB, IHC, IP, ICC Wirt: Kaninchen Polyclonal unconjugated
Produktnummer ABIN1860135
245,00 €
Zzgl. Versandkosten 20,00 € und MwSt
100 μL (Weitere Mengeneinheiten)
Lieferung nach: Deutschland
Lieferung in 11 bis 15 Werktagen
 
PBRM1 Reaktivität: Human, Maus, Ratte, Rind (Kuh), Hund, Meerschweinchen, Pferd, Zebrafisch (Danio rerio) WB Wirt: Kaninchen Polyclonal unconjugated
Produktnummer ABIN2781052
534,11 €
Zzgl. Versandkosten 20,00 € und MwSt
100 μL (Weitere Mengeneinheiten)
Lieferung nach: Deutschland
Lieferung in 6 bis 8 Werktagen
 
PBRM1 Reaktivität: Human, Maus, Ratte WB, IP, ELISA Wirt: Kaninchen Polyclonal unconjugated
Produktnummer ABIN7117648
-15% Promotion 2026
334,77 €
393,85 €
Sparen Sie 59,08 € (-15 %)
Zzgl. Versandkosten 20,00 € und MwSt
100 μg
Lieferung nach: Deutschland
Lieferung in 11 bis 15 Werktagen
 
PBRM1 Reaktivität: Human WB, IHC, ICC Wirt: Kaninchen Polyclonal Biotin
Produktnummer ABIN7696423
-15% Promotion 2026
378,34 €
445,11 €
Sparen Sie 66,77 € (-15 %)
Zzgl. Versandkosten 20,00 € und MwSt
200 μL (Weitere Mengeneinheiten)
Lieferung nach: Deutschland
Lieferung in 11 bis 15 Werktagen
 
PBRM1 Reaktivität: Human IP Wirt: Kaninchen Polyclonal unconjugated
Produktnummer ABIN7451294
-15% Promotion 2026
490,13 €
576,62 €
Sparen Sie 86,49 € (-15 %)
Zzgl. Versandkosten 20,00 € und MwSt
100 μg (Weitere Mengeneinheiten)
Lieferung nach: Deutschland
Lieferung in 7 bis 9 Werktagen
 
PBRM1 Reaktivität: Human, Maus WB, IP, IHC (fp) Wirt: Kaninchen Polyclonal unconjugated
Produktnummer ABIN7453903
-15% Promotion 2026
490,13 €
576,62 €
Sparen Sie 86,49 € (-15 %)
Zzgl. Versandkosten 20,00 € und MwSt
100 μg (Weitere Mengeneinheiten)
Lieferung nach: Deutschland
Lieferung in 7 bis 9 Werktagen
 
PBRM1 Reaktivität: Human WB Wirt: Kaninchen Polyclonal Biotin
Produktnummer ABIN2626596
606,98 €
Zzgl. Versandkosten 20,00 € und MwSt
100 μL (Weitere Mengeneinheiten)
Lieferung nach: Deutschland
Lieferung in 15 bis 19 Werktagen
 
  • Typ Primary
    • Primary
  • Anwendung
    • Western Blotting (WB)
    • Immunohistochemistry (IHC)
    • Immunocytochemistry (ICC)
    • Flow Cytometry (FACS)
    • Immunofluorescence (IF)
    • Immunoprecipitation (IP)
    • ELISA
    • Immunohistochemistry (Paraffin-embedded Sections) (IHC (p))
    • ChIP DNA-Sequencing (ChIP-seq)
    • Immunochromatography (IC)
    • Immunofluorescence (Paraffin-embedded Sections) (IF (p))
    • Immunohistochemistry (Formalin-fixed Paraffin-embedded Sections) (IHC (fp))
    • Immunofluorescence (fixed cells) (IF/ICC)
  • Reaktivität
    • Human
    • Mouse
    • Rat
    • Cow
    • Dog
    • Guinea Pig
    • Horse
    • Zebrafish (Danio rerio)
    • Rabbit
    • Bat
    • Chicken
    • Monkey
    • Pig
    • Xenopus laevis
  • Abbildungen verfügbar
  • Nur ohne Konservierungsmittel
  • Carrier free only
  • Wirt
    • Rabbit
    • Mouse
  • Klonalität
    • Polyclonal
    • Monoclonal
  • Klon
    • 25GB3605
    • 6C2
    • AFHG-16
    • BL-39-2C3
    • RB51306
    • SAA0215
  • Bindungsspezifität
    • AA 1-306
    • AA 957-1086
    • N-Term
    • AA 1121-1155
    • AA 1-230
    • AA 1-293
    • AA 1-50
    • AA 1152-1273
    • AA 1511-1560
    • AA 1639-1689
    • AA 31-80
    • AA 45-1647
    • C-Term
    • Middle Region
  • Konjugat
    • Unkonjugiert
    • Biotin
    • Alexa Fluor 350
    • Alexa Fluor 405
    • Alexa Fluor 488
    • Alexa Fluor 555
    • Alexa Fluor 594
    • Alexa Fluor 647
    • Alexa Fluor 680
    • Alexa Fluor 750
    • FITC
  • Isotyp
    • IgG
    • IgG1
    • Ig Fraction
  • Protein-Typ
    • Recombinant Antibody
  • Format
    • Liquid
    • Lyophilized
  • Grade
    • KO Validated
  • Hersteller
    • antibodies-online
    • Signalway
    • Aviva Systems Biology
    • Boster Bio
    • Cloud-Clone
    • Abbexa
    • ProteoGenix
    • USBio

Aktuelle Publikationen für unsere Polybromo 1 Antikörper

Murakami, Wang, Kalhorn, Schraml, Rathmell, Tan, Nemenoff, Stenmark, Jiang, Reyland, Heasley, Hu: "Context-dependent role for chromatin remodeling component PBRM1/BAF180 in clear cell renal cell carcinoma." in: Oncogenesis, Vol. 6, Issue 1, pp. e287, (2017) (PubMed).

Niimi, Chambers, Downs, Lehmann: "A role for chromatin remodellers in replication of damaged DNA." in: Nucleic acids research, Vol. 40, Issue 15, pp. 7393-403, (2012) (PubMed).

Pawłowski, Mühl, Sulser, Krek, Moch, Schraml: "Loss of PBRM1 expression is associated with renal cell carcinoma progression." in: International journal of cancer, Vol. 132, Issue 2, pp. E11-7, (2012) (PubMed).

Burrows, Smogorzewska, Elledge: "Polybromo-associated BRG1-associated factor components BRD7 and BAF180 are critical regulators of p53 required for induction of replicative senescence." in: Proceedings of the National Academy of Sciences of the United States of America, Vol. 107, Issue 32, pp. 14280-5, (2010) (PubMed).

Aliase für Polybromo 1 Antikörper

polybromo 1 (PBRM1) Antikörper
polybromo 1 L homeolog (pbrm1.L) Antikörper
protein polybromo-1 (LOC100170602) Antikörper
polybromo 1 (pbrm1) Antikörper
polybromo 1 (Pbrm1) Antikörper
2610016F04Rik Antikörper
AI507524 Antikörper
BAF180 Antikörper
pb1 Antikörper
PB1 Antikörper
Pb1 Antikörper
RGD1565549 Antikörper
Sie sind hier:
Chat with us!