Telefon:
+49 (0)241 95 163 153
Fax:
+49 (0)241 95 163 155
E-Mail:
orders@antikoerper-online.de

POLG2 Antikörper

(Polymerase (DNA Directed), gamma 2, Accessory Subunit (POLG2))

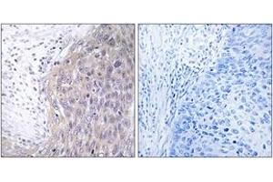
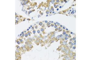
Wählen Sie einen von 32 POLG2-Antikörpern aus unserem Produktangebot basierend auf 2 Publikationen und 32 Validierungsbilder.

Entdecken Sie zuverlässige POLG2-Antikörper von einer großen Zahl namhafter Hersteller. Unser Portfolio ermöglicht eine präzise POLG2-Detektion in verschiedenen Spezies, darunter Human, Mouse, Rat, Monkey, und unterstützt vielfältige Forschungsanwendungen wie WB, ELISA, IHC, IF, IHC (p).

Finden Sie schnell den passenden Antikörper mit unseren Such-, Filter- und Vergleichsfunktionen. Auf jeder Produktseite stehen Ihnen detaillierte Validierungsdaten, Literaturreferenzen und Kundenbewertungen zur Verfügung. Im Gegensatz zu reinen Vergleichsportalen können Sie Ihre Antikörper direkt über unsere Plattform erwerben. Wählen Sie aus polyklonalen, monoklonalen oder rekombinanten POLG2-Antikörpern aus verschiedenen Wirtsarten wie Rabbit, Mouse. Durchstöbern Sie unten unsere Auswahl an POLG2-Antikörpern und bestellen Sie direkt, um Ihre Forschung effizient voranzubringen.

Alternative Bezeichnungen für POLG2 sind Polg2, POLG2, polg2, polg2.L.

32 Treffer

POLG2 Reaktivität: Human IHC, WB, IF Wirt: Kaninchen Polyclonal unconjugated
Produktnummer ABIN6145894
320,00 €
Zzgl. Versandkosten 20,00 € und MwSt
100 μL (Weitere Mengeneinheiten)
Lieferung nach: Deutschland
Lieferung in 7 bis 9 Werktagen
 
POLG2 Reaktivität: Human, Maus, Ratte IHC, IF Wirt: Kaninchen Polyclonal unconjugated
Produktnummer ABIN7262585
580,00 €
Zzgl. Versandkosten 20,00 € und MwSt
200 μL (Weitere Mengeneinheiten)
Lieferung nach: Deutschland
Lieferung in 9 bis 13 Werktagen
 
POLG2 Reaktivität: Human WB, IHC (p), FACS Wirt: Kaninchen Polyclonal RB17786 unconjugated
Pubmed 2 Referenzen
Produktnummer ABIN1882118
434,77 €
Zzgl. Versandkosten 20,00 € und MwSt
400 μL (Weitere Mengeneinheiten)
Lieferung nach: Deutschland
Lieferung in 14 bis 17 Werktagen
 
POLG2 Reaktivität: Human WB, IHC (p) Wirt: Kaninchen Polyclonal RB17519 unconjugated
Produktnummer ABIN6243952
434,77 €
Zzgl. Versandkosten 20,00 € und MwSt
400 μL (Weitere Mengeneinheiten)
Lieferung nach: Deutschland
Lieferung in 14 bis 17 Werktagen
 
POLG2 Reaktivität: Human WB, IF Wirt: Maus Polyclonal unconjugated
Produktnummer ABIN524661
651,20 €
Zzgl. Versandkosten 20,00 € und MwSt
50 μg
Lieferung nach: Deutschland
Lieferung in 8 bis 9 Werktagen
 
POLG2 Reaktivität: Human ELISA, WB Wirt: Maus Monoclonal 1A2 unconjugated
Produktnummer ABIN524663
651,20 €
Zzgl. Versandkosten 20,00 € und MwSt
100 μg
Lieferung nach: Deutschland
Lieferung in 8 bis 9 Werktagen
 
POLG2 Reaktivität: Human WB, IP Wirt: Kaninchen Polyclonal unconjugated
Produktnummer ABIN949047
636,80 €
Zzgl. Versandkosten 20,00 € und MwSt
100 μL
Lieferung nach: Deutschland
Lieferung in 8 bis 9 Werktagen
 
POLG2 Reaktivität: Human IHC, WB, FACS Wirt: Kaninchen Polyclonal unconjugated
Produktnummer ABIN3001661
845,72 €
Zzgl. Versandkosten 20,00 € und MwSt
400 μL (Weitere Mengeneinheiten)
Lieferung nach: Deutschland
Lieferung in 7 bis 13 Werktagen
 
POLG2 Reaktivität: Human WB Wirt: Kaninchen Polyclonal unconjugated
Produktnummer ABIN926822
1.218,13 €
Zzgl. Versandkosten 20,00 € und MwSt
100 μL
Lieferung nach: Deutschland
Lieferung in 20 bis 27 Werktagen
 
POLG2 Reaktivität: Human, Affe WB Wirt: Kaninchen Polyclonal unconjugated
Produktnummer ABIN6747501
789,41 €
Zzgl. Versandkosten 20,00 € und MwSt
100 μL
Lieferung nach: Deutschland
Lieferung in 15 bis 20 Werktagen
 
POLG2 Reaktivität: Human ELISA, IHC Wirt: Kaninchen Polyclonal unconjugated
Produktnummer ABIN7183992
326,70 €
Zzgl. Versandkosten 20,00 € und MwSt
100 μL
Lieferung nach: Deutschland
Lieferung in 11 bis 15 Werktagen
 
POLG2 Reaktivität: Human ELISA, IHC (p) Wirt: Kaninchen Polyclonal unconjugated
Produktnummer ABIN7219284
623,62 €
Zzgl. Versandkosten 20,00 € und MwSt
100 μL (Weitere Mengeneinheiten)
Lieferung nach: Deutschland
Lieferung in 10 bis 14 Werktagen
 
POLG2 Reaktivität: Human ELISA Wirt: Kaninchen Polyclonal HRP
Produktnummer ABIN7150270
328,90 €
Zzgl. Versandkosten 20,00 € und MwSt
100 μg (Weitere Mengeneinheiten)
Lieferung nach: Deutschland
Lieferung in 11 bis 15 Werktagen
 
POLG2 Reaktivität: Human ELISA Wirt: Kaninchen Polyclonal unconjugated
Produktnummer ABIN7150267
328,90 €
Zzgl. Versandkosten 20,00 € und MwSt
100 μg (Weitere Mengeneinheiten)
Lieferung nach: Deutschland
Lieferung in 11 bis 15 Werktagen
 
POLG2 Reaktivität: Human ELISA, IHC, WB Wirt: Kaninchen Polyclonal unconjugated
Produktnummer ABIN7135772
660,00 €
Zzgl. Versandkosten 20,00 € und MwSt
100 μL
Lieferung nach: Deutschland
Lieferung in 11 bis 15 Werktagen
 
POLG2 Reaktivität: Human Wirt: Kaninchen Polyclonal FITC
Produktnummer ABIN7150269
328,90 €
Zzgl. Versandkosten 20,00 € und MwSt
100 μg (Weitere Mengeneinheiten)
Lieferung nach: Deutschland
Lieferung in 11 bis 15 Werktagen
 
POLG2 Reaktivität: Human ELISA Wirt: Kaninchen Polyclonal Biotin
Produktnummer ABIN7150268
328,90 €
Zzgl. Versandkosten 20,00 € und MwSt
100 μg (Weitere Mengeneinheiten)
Lieferung nach: Deutschland
Lieferung in 11 bis 15 Werktagen
 
POLG2 Reaktivität: Human, Maus, Ratte ELISA, IHC, WB, IF Wirt: Kaninchen Polyclonal unconjugated
Produktnummer ABIN7117661
375,38 €
Zzgl. Versandkosten 20,00 € und MwSt
100 μg
Lieferung nach: Deutschland
Lieferung in 11 bis 15 Werktagen
 
POLG2 Reaktivität: Human ELISA, IHC Wirt: Kaninchen Polyclonal unconjugated
Produktnummer ABIN1534841
402,00 €
Zzgl. Versandkosten 20,00 € und MwSt
100 μL (Weitere Mengeneinheiten)
Lieferung nach: Deutschland
Lieferung in 6 bis 9 Werktagen
 
POLG2 Reaktivität: Human WB Wirt: Kaninchen Polyclonal unconjugated
Produktnummer ABIN2788963
534,11 €
Zzgl. Versandkosten 20,00 € und MwSt
100 μL (Weitere Mengeneinheiten)
Lieferung nach: Deutschland
Lieferung in 6 bis 9 Werktagen
 
  • Typ Primary
    • Primary
  • Anwendung
    • Western Blotting (WB)
    • ELISA
    • Immunohistochemistry (IHC)
    • Immunofluorescence (IF)
    • Immunohistochemistry (Paraffin-embedded Sections) (IHC (p))
    • Flow Cytometry (FACS)
    • Immunoprecipitation (IP)
  • Reaktivität
    • Human
    • Mouse
    • Rat
    • Monkey
  • In Publikationen zitiert
  • Abbildungen verfügbar
  • Nur ohne Konservierungsmittel
  • Carrier free only
  • Wirt
    • Rabbit
    • Mouse
  • Klonalität
    • Polyclonal
    • Monoclonal
  • Klon
    • 1A2
    • RB17519
    • RB17786
  • Bindungsspezifität
    • AA 1-485
    • N-Term
    • AA 1-486
    • AA 205-234
    • AA 216-485
    • AA 260-340
    • AA 29-434
    • AA 291-340
    • AA 348-376
    • AA 45-94
    • C-Term
  • Konjugat
    • Unkonjugiert
    • Biotin
    • FITC
    • Alexa Fluor 488
    • Alexa Fluor 555
    • Alexa Fluor 594
    • Alexa Fluor 647
    • Alexa Fluor 680
    • Alexa Fluor 750
    • HRP
  • Isotyp
    • IgG
    • Ig Fraction
    • IgG2a
    • IgG2a kappa
  • Format
    • Liquid
    • Lyophilized
  • Hersteller
    • antibodies-online
    • Signalway
    • USBio
    • Abbexa
    • Assay Biotechnology Company, Inc.
    • Aviva Systems Biology
    • Boster Bio

Aktuelle Publikationen für unsere POLG2 Antikörper

Haba, Hatakeyama, Kinoshita, Teramae, Azma, Hatano, Matsuda: "The modulation of vascular ATP-sensitive K+ channel function via the phosphatidylinositol 3-kinase-Akt pathway activated by phenylephrine." in: The Journal of pharmacology and experimental therapeutics, Vol. 334, Issue 2, pp. 673-8, (2010) (PubMed).

Longley, Clark, Yu Wai Man, Hudson, Durham, Taylor, Nightingale, Turnbull, Copeland, Chinnery: "Mutant POLG2 disrupts DNA polymerase gamma subunits and causes progressive external ophthalmoplegia." in: American journal of human genetics, Vol. 78, Issue 6, pp. 1026-34, (2006) (PubMed).

Aliase für POLG2 Antikörper

DNA polymerase gamma 2, accessory subunit (Polg2) Antikörper
DNA polymerase gamma 2, accessory subunit (POLG2) Antikörper
polymerase (DNA directed), gamma 2, accessory subunit (polg2) Antikörper
polymerase (DNA directed), gamma 2, accessory subunit (Polg2) Antikörper
polymerase (DNA directed), gamma 2, accessory subunit L homeolog (polg2.L) Antikörper
HP55 Antikörper
im:7158733 Antikörper
MTPOLB Antikörper
mtpolb Antikörper
PEOA4 Antikörper
POLB Antikörper
POLG-BETA Antikörper
POLG2 Antikörper
POLGB Antikörper
si:ch211-157f15.3 Antikörper
Sie sind hier:
Chat with us!