Telefon:
+49 (0)241 95 163 153
Fax:
+49 (0)241 95 163 155
E-Mail:
orders@antikoerper-online.de

NR4A1 Antikörper

(Nuclear Receptor Subfamily 4, Group A, Member 1 (NR4A1))

Wählen Sie einen von 92 NR4A1-Antikörpern aus unserem Produktangebot basierend auf 7 Publikationen und 60 Validierungsbilder.

Entdecken Sie zuverlässige NR4A1-Antikörper von einer großen Zahl namhafter Hersteller. Unser Portfolio ermöglicht eine präzise NR4A1-Detektion in verschiedenen Spezies, darunter Human, Mouse, Rat, Dog, Horse, Monkey, Cow, Guinea Pig, Rabbit, Bat, Hamster, Zebrafish (Danio rerio), Gibbon, Orang-Utan, Pig, Sheep, und unterstützt vielfältige Forschungsanwendungen wie WB, ELISA, FACS, IHC (p), IHC.

Finden Sie schnell den passenden Antikörper mit unseren Such-, Filter- und Vergleichsfunktionen. Auf jeder Produktseite stehen Ihnen detaillierte Validierungsdaten, Literaturreferenzen und Kundenbewertungen zur Verfügung. Im Gegensatz zu reinen Vergleichsportalen können Sie Ihre Antikörper direkt über unsere Plattform erwerben. Wählen Sie aus polyklonalen, monoklonalen oder rekombinanten NR4A1-Antikörpern aus verschiedenen Wirtsarten wie Rabbit, Mouse, Goat. Durchstöbern Sie unten unsere Auswahl an NR4A1-Antikörpern und bestellen Sie direkt, um Ihre Forschung effizient voranzubringen.

Alternative Bezeichnungen für NR4A1 sind NR4A1, Nr4a1.

92 Treffer

NR4A1 Reaktivität: Human, Maus, Hund, Pferd, Affe, Kaninchen, Fledermaus WB Wirt: Kaninchen Polyclonal unconjugated
Produktnummer ABIN6746046
789,41 €
Zzgl. Versandkosten 20,00 € und MwSt
100 μL
Lieferung nach: Deutschland
Lieferung in 15 bis 20 Werktagen
 
NR4A1 Reaktivität: Human, Hund, Rind (Kuh), Pferd, Affe, Fledermaus WB Wirt: Kaninchen Polyclonal unconjugated
Produktnummer ABIN202799
741,67 €
Zzgl. Versandkosten 20,00 € und MwSt
100 μL
Lieferung nach: Deutschland
Lieferung in 15 bis 20 Werktagen
 
NR4A1 Reaktivität: Human, Ratte, Maus WB, ELISA, IHC Wirt: Kaninchen Polyclonal unconjugated
Produktnummer ABIN1532750
402,00 €
Zzgl. Versandkosten 20,00 € und MwSt
100 μL (Weitere Mengeneinheiten)
Lieferung nach: Deutschland
Lieferung in 6 bis 9 Werktagen
 
NR4A1 Reaktivität: Human, Ratte, Maus WB Wirt: Kaninchen Polyclonal unconjugated
Produktnummer ABIN3032064
644,88 €
Zzgl. Versandkosten 20,00 € und MwSt
100 μg
Lieferung nach: Deutschland
Lieferung in 6 bis 9 Werktagen
 
NR4A1 Reaktivität: Human WB, ELISA Wirt: Kaninchen Polyclonal unconjugated
Produktnummer ABIN3032063
631,13 €
Zzgl. Versandkosten 20,00 € und MwSt
0.4 mL (Weitere Mengeneinheiten)
Lieferung nach: Deutschland
Lieferung in 6 bis 9 Werktagen
 
NR4A1 Reaktivität: Human FACS Wirt: Maus Monoclonal 1E10A15 unconjugated
Produktnummer ABIN2666404
301,53 €
Zzgl. Versandkosten 20,00 € und MwSt
100 μg (Weitere Mengeneinheiten)
Lieferung nach: Deutschland
Lieferung in 6 bis 8 Werktagen
 
NR4A1 Reaktivität: Human, Ratte, Maus WB, IHC (p), IF (cc) Wirt: Kaninchen Monoclonal 1C1 unconjugated
Produktnummer ABIN6944344
456,42 €
Zzgl. Versandkosten 20,00 € und MwSt
100 μL
Lieferung nach: Deutschland
Lieferung in 12 bis 17 Werktagen
 
NR4A1 Reaktivität: Human, Ratte, Maus WB, FACS, IF (cc), IF (p) Wirt: Kaninchen Polyclonal AbBy Fluor® 680
Produktnummer ABIN5007959
426,37 €
Zzgl. Versandkosten 20,00 € und MwSt
100 μL
Lieferung nach: Deutschland
Lieferung in 20 bis 25 Werktagen
 
NR4A1 Reaktivität: Human, Ratte, Maus WB, FACS, IF (cc), IF (p) Wirt: Kaninchen Polyclonal AbBy Fluor® 750
Produktnummer ABIN5007960
426,37 €
Zzgl. Versandkosten 20,00 € und MwSt
100 μL
Lieferung nach: Deutschland
Lieferung in 20 bis 25 Werktagen
 
NR4A1 Reaktivität: Human, Ratte, Maus WB, FACS, IF (cc), IF (p) Wirt: Kaninchen Polyclonal AbBy Fluor® 488
Produktnummer ABIN909313
426,37 €
Zzgl. Versandkosten 20,00 € und MwSt
100 μL
Lieferung nach: Deutschland
Lieferung in 20 bis 25 Werktagen
 
NR4A1 Reaktivität: Human, Ratte, Maus WB, FACS, IF (cc), IF (p) Wirt: Kaninchen Polyclonal AbBy Fluor® 350
Produktnummer ABIN909312
426,37 €
Zzgl. Versandkosten 20,00 € und MwSt
100 μL
Lieferung nach: Deutschland
Lieferung in 20 bis 25 Werktagen
 
NR4A1 Reaktivität: Human, Ratte, Maus WB, FACS, IF (cc), IF (p) Wirt: Kaninchen Polyclonal AbBy Fluor® 647
Produktnummer ABIN909315
426,37 €
Zzgl. Versandkosten 20,00 € und MwSt
100 μL
Lieferung nach: Deutschland
Lieferung in 20 bis 25 Werktagen
 
NR4A1 Reaktivität: Human, Ratte, Maus WB, FACS, IF (cc), IF (p) Wirt: Kaninchen Polyclonal AbBy Fluor® 555
Produktnummer ABIN909314
426,37 €
Zzgl. Versandkosten 20,00 € und MwSt
100 μL
Lieferung nach: Deutschland
Lieferung in 20 bis 25 Werktagen
 
NR4A1 Reaktivität: Human WB Wirt: Kaninchen Polyclonal unconjugated
Produktnummer ABIN2140661
1.581,80 €
Zzgl. Versandkosten 20,00 € und MwSt
100 μg
Lieferung nach: Deutschland
Lieferung in 13 bis 17 Werktagen
 
NR4A1 Reaktivität: Human, Hund WB Wirt: Kaninchen Polyclonal unconjugated
Produktnummer ABIN630504
1.218,13 €
Zzgl. Versandkosten 20,00 € und MwSt
100 μL
Lieferung nach: Deutschland
Lieferung in 13 bis 17 Werktagen
 
NR4A1 Reaktivität: Maus FACS Wirt: Maus Monoclonal 12-14 PE
Produktnummer ABIN2147923
1.612,22 €
Zzgl. Versandkosten 20,00 € und MwSt
100 μg
Lieferung nach: Deutschland
Lieferung in 13 bis 17 Werktagen
 
NR4A1 Reaktivität: Maus WB Wirt: Maus Monoclonal 12-14 unconjugated
Produktnummer ABIN2147921
1.659,75 €
Zzgl. Versandkosten 20,00 € und MwSt
100 μg
Lieferung nach: Deutschland
Lieferung in 13 bis 17 Werktagen
 
NR4A1 Reaktivität: Human, Ratte, Maus WB, ELISA, IHC (p) Wirt: Kaninchen Polyclonal unconjugated
Produktnummer ABIN7221514
623,62 €
Zzgl. Versandkosten 20,00 € und MwSt
100 μL (Weitere Mengeneinheiten)
Lieferung nach: Deutschland
Lieferung in 10 bis 14 Werktagen
 
NR4A1 Reaktivität: Human, Ratte, Maus, Affe WB, ELISA, IHC (p) Wirt: Kaninchen Polyclonal unconjugated
Produktnummer ABIN7216146
623,62 €
Zzgl. Versandkosten 20,00 € und MwSt
100 μL (Weitere Mengeneinheiten)
Lieferung nach: Deutschland
Lieferung in 10 bis 14 Werktagen
 
NR4A1 Reaktivität: Ratte, Maus WB, IHC (p), ICC, IHC (fro), IF Wirt: Kaninchen Polyclonal unconjugated
Produktnummer ABIN6989037
357,70 €
Zzgl. Versandkosten 20,00 € und MwSt
100 μL
Lieferung nach: Deutschland
Lieferung in 12 bis 17 Werktagen
 
  • Typ Primary
    • Primary
  • Anwendung
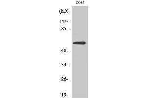
    • Western Blotting (WB)
    • ELISA
    • Flow Cytometry (FACS)
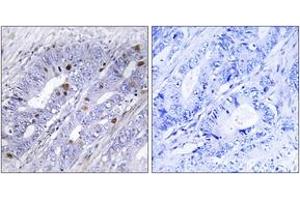
    • Immunohistochemistry (Paraffin-embedded Sections) (IHC (p))
    • Immunohistochemistry (IHC)
    • Immunofluorescence (Cultured Cells) (IF (cc))
    • Immunofluorescence (Paraffin-embedded Sections) (IF (p))
    • Dot Blot (DB)
    • Immunohistochemistry (Frozen Sections) (IHC (fro))
    • Immunocytochemistry (ICC)
    • Immunofluorescence (IF)
    • Immunoprecipitation (IP)
    • Enzyme Immunoassay (EIA)
    • Blocking Reagent (BR)
    • Chromatin Immunoprecipitation (ChIP)
    • Fluorescence Microscopy (FM)
    • Proximity Ligation Assay (PLA)
  • Reaktivität
    • Human
    • Mouse
    • Rat
    • Dog
    • Horse
    • Monkey
    • Cow
    • Guinea Pig
    • Rabbit
    • Bat
    • Hamster
    • Zebrafish (Danio rerio)
    • Gibbon
    • Orang-Utan
    • Pig
    • Sheep
  • In Publikationen zitiert
  • Abbildungen verfügbar
  • Nur ohne Konservierungsmittel
  • Carrier free only
  • Wirt
    • Rabbit
    • Mouse
    • Goat
  • Klonalität
    • Polyclonal
    • Monoclonal
  • Klon
    • 12-14
    • 1E10A15
    • NR4AB9G12
    • 11C1052
    • 1C1
    • 24GB3420
    • R02-1C7
    • RB11093
    • RB11095
  • Bindungsspezifität
    • pSer351
    • AA 351-450
    • Ser351
    • N-Term
    • AA 101-200
    • C-Term
    • Internal Region
    • AA 1-598
    • AA 317-366
    • AA 329-358
    • AA 99-112
    • AA 1-170
    • AA 251-266
    • AA 264-352
    • AA 324-373
    • AA 346-395
    • AA 372-408
    • AA 484-533
    • Gly347
    • Middle Region
    • Ser474
  • Konjugat
    • Unkonjugiert
    • Biotin
    • HRP
    • PE
    • FITC
    • APC
    • Alexa Fluor 594
    • AbBy Fluor® 350
    • AbBy Fluor® 488
    • AbBy Fluor® 555
    • AbBy Fluor® 594
    • AbBy Fluor® 647
    • AbBy Fluor® 680
    • AbBy Fluor® 750
    • Alexa Fluor 488
    • Alexa Fluor 555
    • Alexa Fluor 647
    • Alexa Fluor 680
    • Alexa Fluor 750
    • Cy3
    • Cy5
    • Cy5.5
    • Cy7
  • Isotyp
    • IgG
    • Ig Fraction
    • IgG1
    • IgG2b kappa
  • Protein-Typ
    • Recombinant Antibody
  • Format
    • Liquid
    • Lyophilized
  • Grade
    • Verified
  • Hersteller
    • antibodies-online
    • Signalway
    • Acris
    • Assay Biotechnology Company, Inc.
    • Aviva Systems Biology
    • BioLegend
    • Boster Bio
    • Elabscience
    • NSJ Bioreagents
    • ProSci
    • BD Biosciences
    • Cohesion Biosciences
    • Covalab
    • Rockland
    • USBio

Aktuelle Publikationen für unsere NR4A1 Antikörper

Qin, Gao, Wang, Huang, Peng, Mo, Wang: "Nur77 promotes cigarette smoke‑induced autophagic cell death by increasing the dissociation of Bcl2 from Beclin-1." in: International journal of molecular medicine, Vol. 44, Issue 1, pp. 25-36, (2019) (PubMed).

Li, Yin, Hong, Liu, Jin, Wang, Wang, Tian: "The orphan nuclear receptor NUR77 promotes trophoblast invasion at early pregnancy through paracrine placental growth factor." in: Journal of molecular medicine (Berlin, Germany), Vol. 97, Issue 9, pp. 1359-1373, (2019) (PubMed).

Qi, Guo, Wei, Jin, Wang, Mao: "The involvement of NR4A1 and NR4A2 in the regulation of the luteal function in rats." in: Acta histochemica, Vol. 120, Issue 8, pp. 713-719, (2018) (PubMed).

Imura, Kobayashi, Suzutani, Ichikawa-Tomikawa, Chiba: "Differential expression of a stress-regulated gene Nr4a2 characterizes early- and late-born hippocampal granule cells." in: Hippocampus, (2018) (PubMed).

Bian, Chen, Yang, Li, Zhang, Zhang, Wang, Zhao, Zhang, Chen, Zheng, Sun, Wang, Chien, Wu: "Nur77 suppresses hepatocellular carcinoma via switching glucose metabolism toward gluconeogenesis through attenuating phosphoenolpyruvate carboxykinase sumoylation." in: Nature communications, Vol. 8, pp. 14420, (2017) (PubMed).

Geradts, Groth, Wu, Jin: "Validation of an oligo-gene signature for the prognostic stratification of ductal carcinoma in situ (DCIS)." in: Breast cancer research and treatment, Vol. 157, Issue 3, pp. 447-59, (2017) (PubMed).

Hedrick, Lee, Safe: "The nuclear orphan receptor NR4A1 regulates β1-integrin expression in pancreatic and colon cancer cells and can be targeted by NR4A1 antagonists." in: Molecular carcinogenesis, Vol. 56, Issue 9, pp. 2066-2075, (2017) (PubMed).

Li, Zhao, Xu, Shan, Hu, Qiu, Xu: "The autism-related gene SNRPN regulates cortical and spine development via controlling nuclear receptor Nr4a1." in: Scientific reports, Vol. 6, pp. 29878, (2016) (PubMed).

Nowakowski, Pollen, Sandoval-Espinosa, Kriegstein: "Transformation of the Radial Glia Scaffold Demarcates Two Stages of Human Cerebral Cortex Development." in: Neuron, Vol. 91, Issue 6, pp. 1219-1227, (2016) (PubMed).

Li, Lee, Safe: "Structure-dependent activation of NR4A2 (Nurr1) by 1,1-bis(3'-indolyl)-1-(aromatic)methane analogs in pancreatic cancer cells." in: Biochemical pharmacology, Vol. 83, Issue 10, pp. 1445-55, (2012) (PubMed).

Aliase für NR4A1 Antikörper

nuclear receptor subfamily 4 group A member 1 (NR4A1) Antikörper
nuclear receptor subfamily 4, group A, member 1 (Nr4a1) Antikörper
Gfrp Antikörper
GFRP1 Antikörper
Hbr-1 Antikörper
Hbr1 Antikörper
HMR Antikörper
Hmr Antikörper
N10 Antikörper
NAK-1 Antikörper
NGFI-B Antikörper
Ngfi-b Antikörper
NGFIB Antikörper
NP10 Antikörper
NUR77 Antikörper
nur77 Antikörper
Nur77 Antikörper
TIS1 Antikörper
TR3 Antikörper
Sie sind hier:
Chat with us!