Telefon:
+49 (0)241 95 163 153
Fax:
+49 (0)241 95 163 155
E-Mail:
orders@antikoerper-online.de

NPM1 Antikörper

(Nucleophosmin (Nucleolar phosphoprotein B23, Numatrin) (NPM1))

Wählen Sie einen von 240 NPM1-Antikörpern aus unserem Produktangebot basierend auf 4 Publikationen und 162 Validierungsbilder.

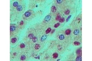
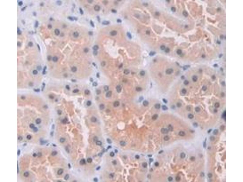
Entdecken Sie zuverlässige NPM1-Antikörper von einer großen Zahl namhafter Hersteller. Unser Portfolio ermöglicht eine präzise NPM1-Detektion in verschiedenen Spezies, darunter Human, Mouse, Rat, Pig, Rabbit, Cow, Dog, Horse, Monkey, Goat, Xenopus laevis, Guinea Pig, Bat, Hamster, und unterstützt vielfältige Forschungsanwendungen wie WB, IHC, IF, ELISA, IHC (fp).

Finden Sie schnell den passenden Antikörper mit unseren Such-, Filter- und Vergleichsfunktionen. Auf jeder Produktseite stehen Ihnen detaillierte Validierungsdaten, Literaturreferenzen und Kundenbewertungen zur Verfügung. Im Gegensatz zu reinen Vergleichsportalen können Sie Ihre Antikörper direkt über unsere Plattform erwerben. Wählen Sie aus polyklonalen, monoklonalen oder rekombinanten NPM1-Antikörpern aus verschiedenen Wirtsarten wie Rabbit, Mouse, Goat. Durchstöbern Sie unten unsere Auswahl an NPM1-Antikörpern und bestellen Sie direkt, um Ihre Forschung effizient voranzubringen.

Alternative Bezeichnungen für NPM1 sind NPM1, Npm1, npm1.L, npm1b, npm, Nlp, npm1a.

240 Treffer

NPM1 Reaktivität: Human, Maus, Ratte, Affe WB, IHC, IF, FACS, ICC Wirt: Kaninchen Polyclonal unconjugated
Produktnummer ABIN3044485
500,50 €
Zzgl. Versandkosten 20,00 € und MwSt
100 μg
Lieferung nach: Deutschland
Lieferung in 8 bis 12 Werktagen
 
NPM1 Reaktivität: Human, Maus, Ratte WB, IHC, IF, FACS, ICC Wirt: Kaninchen Polyclonal unconjugated
Produktnummer ABIN3042497
500,50 €
Zzgl. Versandkosten 20,00 € und MwSt
100 μg
Lieferung nach: Deutschland
Lieferung in 8 bis 12 Werktagen
 
NPM1 Reaktivität: Human, Maus, Ratte, Affe WB, IHC, ELISA Wirt: Kaninchen Polyclonal unconjugated
Produktnummer ABIN3185974
377,51 €
Zzgl. Versandkosten 20,00 € und MwSt
100 μL (Weitere Mengeneinheiten)
Lieferung nach: Deutschland
Lieferung in 8 bis 10 Werktagen
 
NPM1 Reaktivität: Human WB, IHC, ELISA Wirt: Maus Monoclonal 5E3 unconjugated
Produktnummer ABIN934020
839,49 €
Zzgl. Versandkosten 20,00 € und MwSt
100 μL
Lieferung nach: Deutschland
Lieferung in 13 bis 17 Werktagen
 
NPM1 Reaktivität: Human, Maus, Ratte, Affe WB, ELISA, IHC (p) Wirt: Kaninchen Polyclonal unconjugated
Produktnummer ABIN7216144
623,62 €
Zzgl. Versandkosten 20,00 € und MwSt
100 μL (Weitere Mengeneinheiten)
Lieferung nach: Deutschland
Lieferung in 10 bis 14 Werktagen
 
NPM1 Reaktivität: Human WB, IHC, ELISA Wirt: Kaninchen Polyclonal unconjugated
Produktnummer ABIN7188915
218,90 €
Zzgl. Versandkosten 20,00 € und MwSt
100 μg (Weitere Mengeneinheiten)
Lieferung nach: Deutschland
Lieferung in 11 bis 15 Werktagen
 
NPM1 Reaktivität: Human, Maus, Ratte, Kaninchen, Hund, Schwein, Affe, Pferd, Hamster WB, IHC, IHC (p) Wirt: Kaninchen Polyclonal unconjugated
Produktnummer ABIN960290
722,92 €
Zzgl. Versandkosten 20,00 € und MwSt
100 μg
Lieferung nach: Deutschland
Lieferung in 15 bis 20 Werktagen
 
NPM1 Reaktivität: Human, Maus, Ratte, Kaninchen, Hund, Schwein, Affe, Pferd, Meerschweinchen WB, IHC, IHC (p) Wirt: Kaninchen Polyclonal unconjugated
Produktnummer ABIN202181
741,67 €
Zzgl. Versandkosten 20,00 € und MwSt
100 μL
Lieferung nach: Deutschland
Lieferung in 15 bis 20 Werktagen
 
NPM1 Reaktivität: Human WB, FACS Wirt: Maus Monoclonal 25GB7185 unconjugated
Produktnummer ABIN7799671
394,31 €
Zzgl. Versandkosten 20,00 € und MwSt
100 μL
Lieferung nach: Deutschland
Lieferung in 7 bis 10 Werktagen
 
NPM1 Reaktivität: Human WB, FACS Wirt: Kaninchen Monoclonal 24GB4180 unconjugated Recombinant Antibody
Produktnummer ABIN7799672
394,31 €
Zzgl. Versandkosten 20,00 € und MwSt
100 μL
Lieferung nach: Deutschland
Lieferung in 7 bis 10 Werktagen
 
NPM1 Reaktivität: Human WB, IHC, FACS, ICC, IP Wirt: Kaninchen Polyclonal unconjugated
Produktnummer ABIN1860041
245,00 €
Zzgl. Versandkosten 20,00 € und MwSt
100 μL (Weitere Mengeneinheiten)
Lieferung nach: Deutschland
Lieferung in 11 bis 15 Werktagen
 
NPM1 Reaktivität: Human, Maus, Ratte WB, IHC, IF, ELISA Wirt: Kaninchen Polyclonal unconjugated
Produktnummer ABIN1531451
402,00 €
Zzgl. Versandkosten 20,00 € und MwSt
100 μL (Weitere Mengeneinheiten)
Lieferung nach: Deutschland
Lieferung in 6 bis 9 Werktagen
 
NPM1 Reaktivität: Human, Maus, Ratte WB, IHC, IF, ELISA Wirt: Kaninchen Polyclonal unconjugated
Produktnummer ABIN1532749
402,00 €
Zzgl. Versandkosten 20,00 € und MwSt
100 μL (Weitere Mengeneinheiten)
Lieferung nach: Deutschland
Lieferung in 6 bis 9 Werktagen
 
NPM1 Reaktivität: Maus WB, IHC, ICC, IP Wirt: Kaninchen Polyclonal unconjugated
Produktnummer ABIN1175784
252,00 €
Zzgl. Versandkosten 20,00 € und MwSt
100 μL (Weitere Mengeneinheiten)
Lieferung nach: Deutschland
Lieferung in 13 bis 17 Werktagen
 
NPM1 Reaktivität: Human, Maus, Ratte WB, IHC, IF Wirt: Kaninchen Polyclonal unconjugated
Produktnummer ABIN7296466
376,92 €
Zzgl. Versandkosten 20,00 € und MwSt
100 μL (Weitere Mengeneinheiten)
Lieferung nach: Deutschland
Lieferung in 17 bis 20 Werktagen
 
NPM1 Reaktivität: Human, Maus, Ratte, Kaninchen, Rind (Kuh) WB, IHC, IF Wirt: Kaninchen Polyclonal unconjugated
Produktnummer ABIN7304024
330,77 €
Zzgl. Versandkosten 20,00 € und MwSt
100 μL (Weitere Mengeneinheiten)
Lieferung nach: Deutschland
Lieferung in 17 bis 20 Werktagen
 
NPM1 Reaktivität: Human, Maus, Ratte, Kaninchen, Rind (Kuh), Hund, Schwein, Pferd, Ziege WB, IHC Wirt: Kaninchen Polyclonal unconjugated
Produktnummer ABIN2778261
470,22 €
Zzgl. Versandkosten 20,00 € und MwSt
100 μL (Weitere Mengeneinheiten)
Lieferung nach: Deutschland
Lieferung in 6 bis 9 Werktagen
 
NPM1 Reaktivität: Human, Maus WB, IHC Wirt: Kaninchen Polyclonal unconjugated
Produktnummer ABIN2778268
470,22 €
Zzgl. Versandkosten 20,00 € und MwSt
100 μL (Weitere Mengeneinheiten)
Lieferung nach: Deutschland
Lieferung in 6 bis 9 Werktagen
 
NPM1 Reaktivität: Human, Maus, Ratte WB, IHC, IF, ELISA Wirt: Kaninchen Polyclonal unconjugated
Produktnummer ABIN3185948
377,51 €
Zzgl. Versandkosten 20,00 € und MwSt
100 μL (Weitere Mengeneinheiten)
Lieferung nach: Deutschland
Lieferung in 8 bis 10 Werktagen
 
NPM1 Reaktivität: Human, Maus, Ratte, Kaninchen, Rind (Kuh), Hund, Schwein, Affe, Pferd, Ziege WB Wirt: Kaninchen Polyclonal unconjugated
Produktnummer ABIN202182
741,67 €
Zzgl. Versandkosten 20,00 € und MwSt
100 μL
Lieferung nach: Deutschland
Lieferung in 15 bis 20 Werktagen
 
  • Typ Primary
    • Primary
  • Anwendung
    • Western Blotting (WB)
    • Immunohistochemistry (IHC)
    • Immunofluorescence (IF)
    • ELISA
    • Immunohistochemistry (Formalin-fixed Paraffin-embedded Sections) (IHC (fp))
    • Flow Cytometry (FACS)
    • Immunocytochemistry (ICC)
    • Immunofluorescence (Paraffin-embedded Sections) (IF (p))
    • Immunohistochemistry (Paraffin-embedded Sections) (IHC (p))
    • Immunofluorescence (Cultured Cells) (IF (cc))
    • Immunoprecipitation (IP)
    • Immunohistochemistry (Formalin-fixed Sections) (IHC (f))
    • Immunohistochemistry (Frozen Sections) (IHC (fro))
    • Coating (Coat)
    • Staining Methods (StM)
    • Enzyme Immunoassay (EIA)
    • Immunochromatography (IC)
    • Proximity Ligation Assay (PLA)
    • Immunofluorescence (fixed cells) (IF/ICC)
    • Chromatin Immunoprecipitation (ChIP)
  • Reaktivität
    • Human
    • Mouse
    • Rat
    • Pig
    • Rabbit
    • Cow
    • Dog
    • Horse
    • Monkey
    • Goat
    • Xenopus laevis
    • Guinea Pig
    • Bat
    • Hamster
  • In Publikationen zitiert
  • Abbildungen verfügbar
  • Independent Validation
  • Nur ohne Konservierungsmittel
  • Carrier free only
  • Wirt
    • Rabbit
    • Mouse
    • Goat
    • Sheep
  • Klonalität
    • Polyclonal
    • Monoclonal
  • Klon
    • NA24
    • NPM1-3286
    • rNPM1-1901
    • NPM1-1902
    • NPM1-3285
    • SR1550
    • 3B2
    • 5E3
    • No-63
    • 13k91
    • 24GB4180
    • 24GB95
    • 25GB7185
    • 28N18
    • 2D9-C3-E5
    • 32N71
    • 4TOU-1B2
    • 5-00E-003
    • 7H10B9
    • A315
    • AT23F1
    • N2H4
    • NPM1-3287
    • NPM1-3398
    • No-185
    • R01-2D6
    • RB17469
    • RB17470
  • Bindungsspezifität
    • AA 185-287
    • pThr199
    • N-Term
    • AA 21-120
    • pThr95
    • C-Term
    • pSer70
    • pThr234
    • AA 20-154
    • AA 1-294
    • AA 204-290
    • AA 212-292
    • AA 250-294
    • AA 81-294
    • AA 100-150
    • AA 198-226
    • AA 200-250
    • AA 201-250
    • AA 22-41
    • AA 7-33
    • pSer125
    • AA 1-209
    • AA 1-295
    • AA 1-50
    • AA 10-90
    • AA 13-42
    • AA 171-220
    • AA 178-227
    • AA 18-236
    • AA 181-230
    • AA 21-38
    • AA 250-298
    • AA 87-136
    • AA 9-158
    • Glu22
    • Lys230
    • Middle Region
    • Thr182
    • Thr199
    • Thr234
    • pSer4
  • Konjugat
    • Unkonjugiert
    • Biotin
    • CF®405S
    • CF®488A
    • CF®568
    • CF®594
    • CF®640R
    • CF®647
    • CF®740
    • FITC
    • AbBy Fluor® 350
    • AbBy Fluor® 488
    • AbBy Fluor® 555
    • AbBy Fluor® 594
    • AbBy Fluor® 647
    • AbBy Fluor® 680
    • AbBy Fluor® 750
    • Alexa Fluor 488
    • Alexa Fluor 555
    • Alexa Fluor 594
    • Alexa Fluor 647
    • Alexa Fluor 680
    • Alexa Fluor 750
    • Cy3
    • Cy5
    • Cy5.5
    • Cy7
    • HRP
    • Alexa Fluor 350
    • Alexa Fluor 405
  • Isotyp
    • IgG
    • kappa
    • IgG1
    • IgG1 kappa
    • IgG2b
    • IgG2c
    • Ig Fraction
    • IgG2b kappa
    • IgG2a
    • IgG2c kappa
  • Protein-Typ
    • Recombinant Antibody
  • Format
    • Liquid
    • Lyophilized
  • Grade
    • Verified
  • Hersteller
    • antibodies-online
    • Biotium
    • Signalway
    • Cohesion Biosciences
    • Assay Biotechnology Company, Inc.
    • Boster Bio
    • USBio
    • Abbexa
    • Aviva Systems Biology
    • Acris
    • Cloud-Clone
    • NSJ Bioreagents
    • ProteoGenix
    • Abeomics
    • Angio-Proteomie
    • Covalab
    • OriGene
    • PROGEN
    • ProSci

Aktuelle Publikationen für unsere NPM1 Antikörper

Glushonkov, Réal, Boutant, Mély, Didier: "Optimized protocol for combined PALM-dSTORM imaging." in: Scientific reports, Vol. 8, Issue 1, pp. 8749, (2018) (PubMed).

Zhang, Zhao, Zhao, Zhu, Weng, Chen, Sun, Mi, Li, Zhu, Chen, Pandolfi, Chen, Yan, Xu: "Inactivation of PBX3 and HOXA9 by down-regulating H3K79 methylation represses NPM1-mutated leukemic cell survival." in: Theranostics, Vol. 8, Issue 16, pp. 4359-4371, (2018) (PubMed).

Jiang, Xie, Cai, Ren, Ma: "Effects of hepatitis C virus core protein and nonstructural protein 4B on the Wnt/β-catenin pathway." in: BMC microbiology, Vol. 17, Issue 1, pp. 124, (2017) (PubMed).

El Hajj, Dassouki, Berthier, Raffoux, Ades, Legrand, Hleihel, Sahin, Tawil, Salameh, Zibara, Darwiche, Mohty, Dombret, Fenaux, de Thé, Bazarbachi: "Retinoic acid and arsenic trioxide trigger degradation of mutated NPM1, resulting in apoptosis of AML cells." in: Blood, Vol. 125, Issue 22, pp. 3447-54, (2015) (PubMed).

Morgado-Palacin, Llanos, Urbano-Cuadrado, Blanco-Aparicio, Megias, Pastor, Serrano: "Non-genotoxic activation of p53 through the RPL11-dependent ribosomal stress pathway." in: Carcinogenesis, Vol. 35, Issue 12, pp. 2822-30, (2014) (PubMed).

Röwer, Ziems, Radtke, Schmitt, Reimer, Koy, Thiesen, Gerber, Glocker: "Toponostics of invasive ductal breast carcinoma: combination of spatial protein expression imaging and quantitative proteome signature analysis." in: International journal of clinical and experimental pathology, Vol. 4, Issue 5, pp. 454-67, (2011) (PubMed).

ODwyer, Ralton, OShea, Murray: "The proteomics of colorectal cancer: identification of a protein signature associated with prognosis." in: PLoS ONE, Vol. 6, Issue 11, pp. e27718, (2011) (PubMed).

Komorek, Kuppuswamy, Subramanian, Vijayalingam, Lomonosova, Zhao, Mymryk, Schmitt, Chinnadurai: "Adenovirus type 5 E1A and E6 proteins of low-risk cutaneous beta-human papillomaviruses suppress cell transformation through interaction with FOXK1/K2 transcription factors." in: Journal of virology, Vol. 84, Issue 6, pp. 2719-31, (2010) (PubMed).

Bolander, Agnarsdóttir, Strömberg, Ponten, Hesselius, Uhlen, Bergqvist: "The protein expression of TRP-1 and galectin-1 in cutaneous malignant melanomas." in: Cancer genomics & proteomics, Vol. 5, Issue 6, pp. 293-300, (2009) (PubMed).

Lin, Coutinho-Mansfield, Wang, Pandit, Fu: "The splicing factor SC35 has an active role in transcriptional elongation." in: Nature structural & molecular biology, Vol. 15, Issue 8, pp. 819-26, (2008) (PubMed).

Aliase für NPM1 Antikörper

nucleophosmin 1 (NPM1) Antikörper
nucleophosmin 1 (Npm1) Antikörper
nucleophosmin (nucleolar phosphoprotein B23, numatrin) L homeolog (npm1.L) Antikörper
nucleophosmin 1b (npm1b) Antikörper
Nucleophosmin (npm) Antikörper
nucleophosmin (NPM1) Antikörper
nucleophosmin (nucleolar phosphoprotein B23, numatrin) (NPM1) Antikörper
Nucleoplasmin (Nlp) Antikörper
nucleophosmin 1a (npm1a) Antikörper
B23 Antikörper
B23NP Antikörper
CG7917 Antikörper
CRP1 Antikörper
Crp1 Antikörper
Dmel\\CG7917 Antikörper
dNLP Antikörper
dNLP-S Antikörper
NO38 Antikörper
NPM Antikörper
Npm Antikörper
npm Antikörper
npm1 Antikörper
npm4 Antikörper
p22 Antikörper
sb:cb487 Antikörper
Sie sind hier:
Chat with us!