Telefon:
+49 (0)241 95 163 153
Fax:
+49 (0)241 95 163 155
E-Mail:
orders@antikoerper-online.de

KCNK9 Antikörper

(Potassium Channel, Subfamily K, Member 9 (KCNK9))

Wählen Sie einen von 45 KCNK9-Antikörpern aus unserem Produktangebot basierend auf 20 Validierungsbilder.

Entdecken Sie zuverlässige KCNK9-Antikörper von einer großen Zahl namhafter Hersteller. Unser Portfolio ermöglicht eine präzise KCNK9-Detektion in verschiedenen Spezies, darunter Human, Rat, Mouse, Cow, Chicken, Dog, Horse, Rabbit, Guinea Pig, Monkey, und unterstützt vielfältige Forschungsanwendungen wie WB, IF (cc), IF (p), ELISA, IHC.

Finden Sie schnell den passenden Antikörper mit unseren Such-, Filter- und Vergleichsfunktionen. Auf jeder Produktseite stehen Ihnen detaillierte Validierungsdaten, Literaturreferenzen und Kundenbewertungen zur Verfügung. Im Gegensatz zu reinen Vergleichsportalen können Sie Ihre Antikörper direkt über unsere Plattform erwerben. Wählen Sie aus polyklonalen, monoklonalen oder rekombinanten KCNK9-Antikörpern aus verschiedenen Wirtsarten wie Rabbit, Mouse. Durchstöbern Sie unten unsere Auswahl an KCNK9-Antikörpern und bestellen Sie direkt, um Ihre Forschung effizient voranzubringen.

Alternative Bezeichnungen für KCNK9 sind Kcnk9, KCNK9, kcnk9, kcnk9.L.

45 Treffer

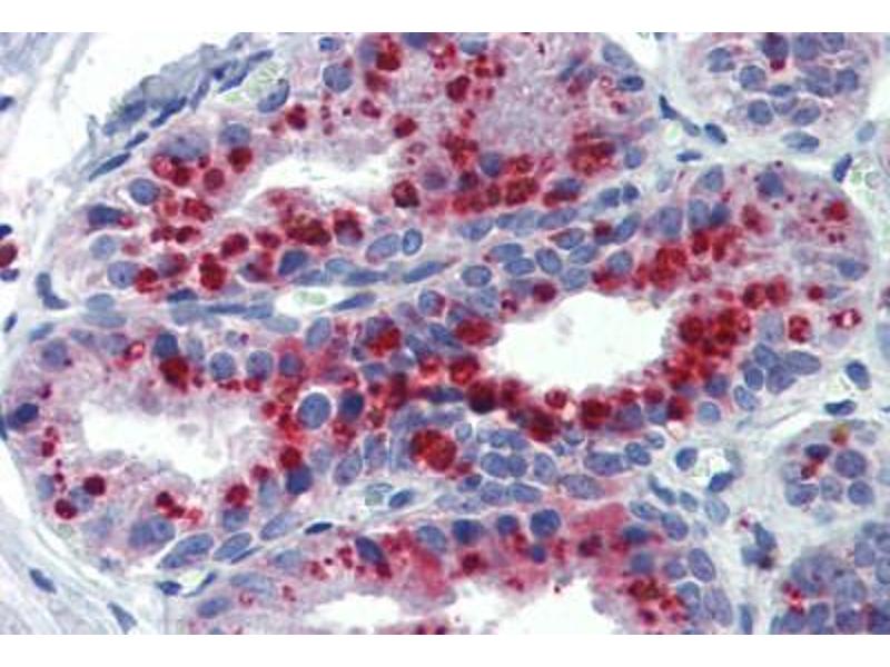
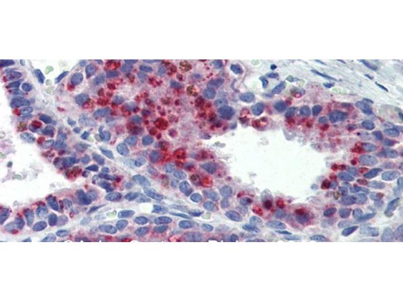
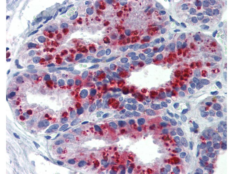
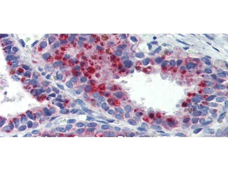
KCNK9 Reaktivität: Human, Ratte, Maus, Rind (Kuh), Pferd, Kaninchen, Meerschweinchen WB, IHC Wirt: Kaninchen Polyclonal unconjugated
Produktnummer ABIN2776216
534,11 €
Zzgl. Versandkosten 20,00 € und MwSt
100 μL (Weitere Mengeneinheiten)
Lieferung nach: Deutschland
Lieferung in 6 bis 9 Werktagen
 
KCNK9 Reaktivität: Human WB, IHC, ELISA Wirt: Kaninchen Polyclonal unconjugated
Produktnummer ABIN7243493
449,00 €
Zzgl. Versandkosten 20,00 € und MwSt
200 μL (Weitere Mengeneinheiten)
Lieferung nach: Deutschland
Lieferung in 9 bis 13 Werktagen
 
KCNK9 Reaktivität: Human, Ratte, Maus, Rind (Kuh), Pferd, Kaninchen, Affe WB, IHC, IHC (p) Wirt: Kaninchen Polyclonal unconjugated
Produktnummer ABIN6744424
512,07 €
Zzgl. Versandkosten 20,00 € und MwSt
100 μL
Lieferung nach: Deutschland
Lieferung in 15 bis 20 Werktagen
 
KCNK9 Reaktivität: Human WB Wirt: Kaninchen Polyclonal unconjugated
Produktnummer ABIN633772
1.218,13 €
Zzgl. Versandkosten 20,00 € und MwSt
100 μL
Lieferung nach: Deutschland
Lieferung in 13 bis 17 Werktagen
 
KCNK9 Reaktivität: Human WB Wirt: Kaninchen Polyclonal unconjugated
Produktnummer ABIN6142757
320,00 €
Zzgl. Versandkosten 20,00 € und MwSt
100 μL (Weitere Mengeneinheiten)
Lieferung nach: Deutschland
Lieferung in 7 bis 9 Werktagen
 
KCNK9 Reaktivität: Human WB Wirt: Kaninchen Polyclonal unconjugated
Produktnummer ABIN6142756
320,00 €
Zzgl. Versandkosten 20,00 € und MwSt
100 μL (Weitere Mengeneinheiten)
Lieferung nach: Deutschland
Lieferung in 7 bis 9 Werktagen
 
KCNK9 Reaktivität: Human ELISA, IF Wirt: Kaninchen Polyclonal unconjugated
Produktnummer ABIN7163936
328,90 €
Zzgl. Versandkosten 20,00 € und MwSt
100 μg (Weitere Mengeneinheiten)
Lieferung nach: Deutschland
Lieferung in 11 bis 15 Werktagen
 
KCNK9 Reaktivität: Ratte WB, IHC, IF Wirt: Kaninchen Polyclonal unconjugated
Produktnummer ABIN7043456
854,77 €
Zzgl. Versandkosten 20,00 € und MwSt
25 μL (Weitere Mengeneinheiten)
Lieferung nach: Deutschland
Lieferung in 8 bis 9 Werktagen
 
KCNK9 Reaktivität: Human ELISA Wirt: Kaninchen Polyclonal Biotin
Produktnummer ABIN7163937
328,90 €
Zzgl. Versandkosten 20,00 € und MwSt
100 μg (Weitere Mengeneinheiten)
Lieferung nach: Deutschland
Lieferung in 11 bis 15 Werktagen
 
KCNK9 Reaktivität: Human Wirt: Kaninchen Polyclonal FITC
Produktnummer ABIN7163938
328,90 €
Zzgl. Versandkosten 20,00 € und MwSt
100 μg (Weitere Mengeneinheiten)
Lieferung nach: Deutschland
Lieferung in 11 bis 15 Werktagen
 
KCNK9 Reaktivität: Human ELISA Wirt: Kaninchen Polyclonal HRP
Produktnummer ABIN7163939
328,90 €
Zzgl. Versandkosten 20,00 € und MwSt
100 μg (Weitere Mengeneinheiten)
Lieferung nach: Deutschland
Lieferung in 11 bis 15 Werktagen
 
KCNK9 Reaktivität: Ratte, Maus WB, ELISA, IF (cc), IF (p), IHC (p), ICC, IHC (fro) Wirt: Kaninchen Polyclonal unconjugated
Produktnummer ABIN760016
357,70 €
Zzgl. Versandkosten 20,00 € und MwSt
100 μL
Lieferung nach: Deutschland
Lieferung in 8 bis 12 Werktagen
 
KCNK9 Reaktivität: Ratte, Maus WB, ELISA, IHC (p), IHC (fro) Wirt: Kaninchen Polyclonal Biotin
Produktnummer ABIN760018
419,50 €
Zzgl. Versandkosten 20,00 € und MwSt
100 μL
Lieferung nach: Deutschland
Lieferung in 15 bis 22 Werktagen
 
KCNK9 Reaktivität: Ratte, Maus WB, IF (cc), IF (p) Wirt: Kaninchen Polyclonal AbBy Fluor® 750
Produktnummer ABIN5005798
426,37 €
Zzgl. Versandkosten 20,00 € und MwSt
100 μL
Lieferung nach: Deutschland
Lieferung in 15 bis 22 Werktagen
 
KCNK9 Reaktivität: Ratte, Maus WB, IF (cc), IF (p) Wirt: Kaninchen Polyclonal AbBy Fluor® 680
Produktnummer ABIN5005797
426,37 €
Zzgl. Versandkosten 20,00 € und MwSt
100 μL
Lieferung nach: Deutschland
Lieferung in 15 bis 22 Werktagen
 
KCNK9 Reaktivität: Ratte, Maus WB, IF (cc), IF (p) Wirt: Kaninchen Polyclonal AbBy Fluor® 594
Produktnummer ABIN2803538
426,37 €
Zzgl. Versandkosten 20,00 € und MwSt
100 μL
Lieferung nach: Deutschland
Lieferung in 15 bis 22 Werktagen
 
KCNK9 Reaktivität: Ratte, Maus WB, IF (cc), IF (p) Wirt: Kaninchen Polyclonal AbBy Fluor® 555
Produktnummer ABIN903505
426,37 €
Zzgl. Versandkosten 20,00 € und MwSt
100 μL
Lieferung nach: Deutschland
Lieferung in 15 bis 22 Werktagen
 
KCNK9 Reaktivität: Ratte, Maus WB, IF (cc), IF (p) Wirt: Kaninchen Polyclonal AbBy Fluor® 350
Produktnummer ABIN903504
426,37 €
Zzgl. Versandkosten 20,00 € und MwSt
100 μL
Lieferung nach: Deutschland
Lieferung in 15 bis 22 Werktagen
 
KCNK9 Reaktivität: Ratte, Maus WB, IF (cc), IF (p) Wirt: Kaninchen Polyclonal AbBy Fluor® 647
Produktnummer ABIN903503
426,37 €
Zzgl. Versandkosten 20,00 € und MwSt
100 μL
Lieferung nach: Deutschland
Lieferung in 15 bis 22 Werktagen
 
KCNK9 Reaktivität: Ratte, Maus WB, IF (cc), IF (p) Wirt: Kaninchen Polyclonal AbBy Fluor® 488
Produktnummer ABIN903502
426,37 €
Zzgl. Versandkosten 20,00 € und MwSt
100 μL
Lieferung nach: Deutschland
Lieferung in 15 bis 22 Werktagen
 
  • Typ Primary
    • Primary
  • Anwendung
    • Western Blotting (WB)
    • Immunofluorescence (Cultured Cells) (IF (cc))
    • Immunofluorescence (Paraffin-embedded Sections) (IF (p))
    • ELISA
    • Immunohistochemistry (IHC)
    • Immunohistochemistry (Paraffin-embedded Sections) (IHC (p))
    • Immunofluorescence (IF)
    • Immunohistochemistry (Frozen Sections) (IHC (fro))
    • Immunocytochemistry (ICC)
    • Immunofluorescence (fixed cells) (IF/ICC)
  • Reaktivität
    • Human
    • Rat
    • Mouse
    • Cow
    • Chicken
    • Dog
    • Horse
    • Rabbit
    • Guinea Pig
    • Monkey
  • Abbildungen verfügbar
  • Carrier free only
  • Wirt
    • Rabbit
    • Mouse
  • Klonalität
    • Polyclonal
    • Monoclonal
  • Klon
    • ABS1795
  • Bindungsspezifität
    • AA 21-120
    • AA 250-362
    • N-Term
    • AA 1-100
    • AA 240-374
    • AA 251-411
    • AA 265-374
    • AA 36-85
    • AA 57-73
    • C-Term
    • Extracellular
  • Konjugat
    • Unkonjugiert
    • Biotin
    • FITC
    • HRP
    • PE
    • PE-Cy5
    • PE-Cy5.5
    • PE-Cy7
    • AbBy Fluor® 350
    • AbBy Fluor® 488
    • AbBy Fluor® 555
    • AbBy Fluor® 594
    • AbBy Fluor® 647
    • AbBy Fluor® 680
    • AbBy Fluor® 750
    • Alexa Fluor 488
    • Alexa Fluor 555
    • Alexa Fluor 594
    • Alexa Fluor 647
    • Alexa Fluor 680
    • Alexa Fluor 750
    • Cy3
    • Cy5
    • Cy5.5
    • Cy7
  • Isotyp
    • IgG
    • IgG2a
    • IgG2b
    • kappa
  • Format
    • Liquid
    • Lyophilized
  • Hersteller
    • antibodies-online
    • Signalway
    • ProteoGenix
    • Abbexa
    • Alomone Labs
    • Aviva Systems Biology

Aktuelle Publikationen für unsere KCNK9 Antikörper

Dadi, Luo, Vierra, Jacobson: "TASK-1 Potassium Channels Limit Pancreatic ?-Cell Calcium Influx and Glucagon Secretion." in: Molecular endocrinology (Baltimore, Md.), Vol. 29, Issue 5, pp. 777-87, (2015) (PubMed).

Dadi, Vierra, Jacobson: "Pancreatic ?-cell-specific ablation of TASK-1 channels augments glucose-stimulated calcium entry and insulin secretion, improving glucose tolerance." in: Endocrinology, Vol. 155, Issue 10, pp. 3757-68, (2014) (PubMed).

Aliase für KCNK9 Antikörper

potassium channel, subfamily K, member 9 (Kcnk9) Antikörper
potassium two pore domain channel subfamily K member 9 (KCNK9) Antikörper
potassium two pore domain channel subfamily K member 9 (Kcnk9) Antikörper
potassium channel, subfamily K, member 9 (kcnk9) Antikörper
potassium channel, two pore domain subfamily K, member 9 (kcnk9) Antikörper
potassium channel, two pore domain subfamily K, member 9 L homeolog (kcnk9.L) Antikörper
K2p9.1 Antikörper
k2p9.1 Antikörper
KCNK9 Antikörper
Kcnk9 Antikörper
KT3.2 Antikörper
kt3.2 Antikörper
LOC799704 Antikörper
TASK-3 Antikörper
task-3 Antikörper
Task3 Antikörper
TASK3 Antikörper
task3 Antikörper
Sie sind hier:
Chat with us!