Telefon:
+49 (0)241 95 163 153
Fax:
+49 (0)241 95 163 155
E-Mail:
orders@antikoerper-online.de

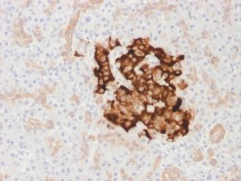
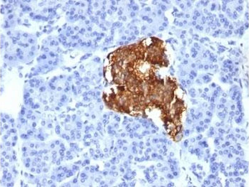
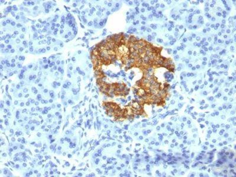
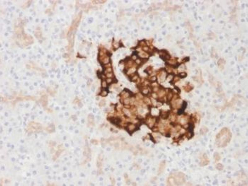
Insulin Antikörper

(Insulin (INS))
Insulin, a peptide hormone synthesized within the beta cells of the Islets of Langerhans in the pancreas, serves as a pivotal orchestrator in the intricate regulation of blood glucose concentrations. Operating through a series of intricate cellular mechanisms, insulin exerts its influence on glucose metabolism by modulating cellular glucose uptake, storage, and utilization.

Insulin antibodies are essential tools for studying insulin-related processes and investigating conditions like diabetes. Here are some primary applications for insulin research antibodies:

  • Immunohistochemistry (IHC) and Immunofluorescence (IF): Insulin antibodies are used to visualize the distribution and localization of insulin in tissues. IHC and IF techniques allow researchers to identify insulin-producing cells within pancreatic islets and study changes in insulin expression in response to different physiological or pathological conditions.
  • Cell Signaling Studies: Insulin is a potent signaling molecule that regulates glucose metabolism and cellular responses. Insulin antibodies are utilized to investigate insulin signaling pathways, including receptor activation, downstream kinase cascades, and transcriptional responses.
  • Pharmacological Studies: In drug development and testing, insulin antibodies are used to assess the effects of potential therapeutics on insulin expression, secretion, and signaling. This information is crucial for developing new treatments for diabetes and related conditions.
  • Immunoassays: Insulin antibodies are used in various immunoassays, such as enzyme-linked immunosorbent assays (ELISAs), to quantify insulin levels in biological samples like blood and tissue homogenates. These assays are valuable for clinical diagnosis and research studies.
  • Cell Culture and In Vitro Studies: In vitro studies often involve the use of insulin antibodies to modulate insulin signaling in cultured cells and assess the outcomes on cellular metabolism and growth.

320 Treffer

INS Reaktivität: Human, Schwein, Rind (Kuh) IHC, ELISA, IHC (p), ICC, RIA, Func, Neut, BR Wirt: Maus Monoclonal IN-05 unconjugated
Produktnummer ABIN206973
577,99 €
Zzgl. Versandkosten 20,00 € und MwSt
0.1 mg
Lieferung nach: Deutschland
Lieferung in 15 bis 20 Werktagen
 
INS Reaktivität: Human, Schwein, Ratte IHC, ELISA, IHC (p), IHC (fro) Wirt: Kaninchen Polyclonal unconjugated
Produktnummer ABIN957131
997,42 €
Zzgl. Versandkosten 20,00 € und MwSt
250 μL
Lieferung nach: Deutschland
Lieferung in 15 bis 20 Werktagen
 
INS Reaktivität: Human, Schwein, Rind (Kuh), Ratte, Kaninchen IHC, WB, ELISA, IF, IP, IHC (p), FACS Wirt: Maus Monoclonal E2-E3 or INS04 unconjugated
Produktnummer ABIN2742156
1.050,28 €
Zzgl. Versandkosten 20,00 € und MwSt
100 μg (Weitere Mengeneinheiten)
Lieferung nach: Deutschland
Lieferung in 15 bis 20 Werktagen
 
INS Reaktivität: Human, Schwein, Rind (Kuh) IHC, WB, ELISA, IF, IP, IHC (p), FACS Wirt: Maus Monoclonal 2D11-H5 or INS05 unconjugated
Produktnummer ABIN2742155
1.050,28 €
Zzgl. Versandkosten 20,00 € und MwSt
100 μg (Weitere Mengeneinheiten)
Lieferung nach: Deutschland
Lieferung in 15 bis 20 Werktagen
 
INS Reaktivität: Human, Maus, Ratte WB, IF (p) Wirt: Kaninchen Polyclonal AbBy Fluor® 594
Produktnummer ABIN2814853
426,37 €
Zzgl. Versandkosten 20,00 € und MwSt
100 μL
Lieferung nach: Deutschland
Lieferung in 20 bis 25 Werktagen
 
INS Reaktivität: Human IF (p), IF (cc) Wirt: Maus Monoclonal 1G11 AbBy Fluor® 594
Produktnummer ABIN2814854
507,92 €
Zzgl. Versandkosten 20,00 € und MwSt
100 μL
Lieferung nach: Deutschland
Lieferung in 20 bis 25 Werktagen
 
INS Reaktivität: Maus, Ratte WB, FACS, IF (p), IF (cc) Wirt: Kaninchen Polyclonal AbBy Fluor® 594
Produktnummer ABIN2814851
426,37 €
Zzgl. Versandkosten 20,00 € und MwSt
100 μL
Lieferung nach: Deutschland
Lieferung in 20 bis 25 Werktagen
 
INS Reaktivität: Human IF (p), IF (cc) Wirt: Kaninchen Polyclonal AbBy Fluor® 594
Produktnummer ABIN2814852
426,37 €
Zzgl. Versandkosten 20,00 € und MwSt
100 μL
Lieferung nach: Deutschland
Lieferung in 20 bis 25 Werktagen
 
INS Reaktivität: Maus, Ratte WB, FACS Wirt: Kaninchen Polyclonal PE
Produktnummer ABIN6988097
446,11 €
Zzgl. Versandkosten 20,00 € und MwSt
100 μL
Lieferung nach: Deutschland
Lieferung in 20 bis 25 Werktagen
 
INS Reaktivität: Human, Maus IHC, ELISA Wirt: Maus Monoclonal 0H2 unconjugated
Produktnummer ABIN7115273
412,31 €
Zzgl. Versandkosten 20,00 € und MwSt
100 μg
Lieferung nach: Deutschland
Lieferung in 11 bis 15 Werktagen
 
INS Reaktivität: Human, Maus, Schwein, Rind (Kuh), Kaninchen IF, FACS, IHC (f) Wirt: Maus Monoclonal E2-E3 unconjugated
Produktnummer ABIN6157442
566,15 €
Zzgl. Versandkosten 20,00 € und MwSt
50 μL
Lieferung nach: Deutschland
Lieferung in 8 bis 14 Werktagen
 
INS Reaktivität: Human, Maus, Schwein, Rind (Kuh) IF, FACS, IHC (f) Wirt: Maus Monoclonal 2D11-H5 unconjugated
Produktnummer ABIN6157366
566,15 €
Zzgl. Versandkosten 20,00 € und MwSt
50 μL
Lieferung nach: Deutschland
Lieferung in 8 bis 14 Werktagen
 
INS Reaktivität: Human, Maus, Schwein, Rind (Kuh), Kaninchen IF, IHC (p), FACS, IHC (f), ISt Wirt: Maus Monoclonal IRDN-805 unconjugated
Produktnummer ABIN6157518
566,15 €
Zzgl. Versandkosten 20,00 € und MwSt
50 μL
Lieferung nach: Deutschland
Lieferung in 8 bis 14 Werktagen
 
INS Reaktivität: Hund IHC, WB, IP, IF/ICC Wirt: Kaninchen Polyclonal unconjugated
Produktnummer ABIN6031976
495,37 €
Zzgl. Versandkosten 20,00 € und MwSt
100 μL (Weitere Mengeneinheiten)
Lieferung nach: Deutschland
Lieferung in 7 bis 15 Werktagen
 
INS Reaktivität: Schwein IHC, WB, IP, ICC Wirt: Kaninchen Polyclonal unconjugated
Produktnummer ABIN1859458
265,00 €
Zzgl. Versandkosten 20,00 € und MwSt
100 μL (Weitere Mengeneinheiten)
Lieferung nach: Deutschland
Lieferung in 11 bis 15 Werktagen
 
INS Reaktivität: Human IHC (p), IHC (fro), EIA Wirt: Maus Monoclonal C-PEP-01 unconjugated
Pubmed 1 reference
Produktnummer ABIN111464
907,69 €
Zzgl. Versandkosten 20,00 € und MwSt
0.25 mg
Lieferung nach: Deutschland
Lieferung in 16 Werktagen
 
INS Reaktivität: Human, Maus, Schwein, Rind (Kuh), Ratte IHC (p), IHC (fro), EIA Wirt: Maus Monoclonal D3E7 (5B6-6) unconjugated
Produktnummer ABIN112214
907,69 €
Zzgl. Versandkosten 20,00 € und MwSt
0.2 mg
Lieferung nach: Deutschland
Lieferung in 16 Werktagen
 
INS Reaktivität: Human, Maus, Ratte IP, IHC (p) Wirt: Maus Monoclonal ISL-8J unconjugated
Produktnummer ABIN1107760
815,38 €
Zzgl. Versandkosten 20,00 € und MwSt
0.1 mg
Lieferung nach: Deutschland
Lieferung in 16 Werktagen
 
INS Reaktivität: Human, Maus, Schwein, Rind (Kuh), Kaninchen IF, IHC (p) Wirt: Maus Monoclonal IRDN-805 unconjugated
Produktnummer ABIN3025691
642,40 €
Zzgl. Versandkosten 20,00 € und MwSt
100 μg
Lieferung nach: Deutschland
Lieferung in 6 bis 9 Werktagen
 
INS Reaktivität: Human, Schwein, Rind (Kuh), Ratte, Kaninchen IF, IHC (p) Wirt: Maus Monoclonal E2-E3-2D11-H5 or INS04-INS05 unconjugated
Produktnummer ABIN3026328
642,40 €
Zzgl. Versandkosten 20,00 € und MwSt
100 μg
Lieferung nach: Deutschland
Lieferung in 6 bis 9 Werktagen
 
  • Typ Primary
    • Primary
  • Anwendung
    • Immunohistochemistry (IHC)
    • Western Blotting (WB)
    • ELISA
    • Immunofluorescence (IF)
    • Flow Cytometry (FACS)
    • Immunohistochemistry (Paraffin-embedded Sections) (IHC (p))
    • Immunofluorescence (Paraffin-embedded Sections) (IF (p))
    • Immunohistochemistry (Formalin-fixed Sections) (IHC (f))
    • Immunofluorescence (Cultured Cells) (IF (cc))
    • Immunocytochemistry (ICC)
    • Immunohistochemistry (Formalin-fixed Paraffin-embedded Sections) (IHC (fp))
    • Immunoprecipitation (IP)
    • Immunohistochemistry (Frozen Sections) (IHC (fro))
    • Immunostaining (ISt)
    • Radioimmunoassay (RIA)
    • Immunofluorescence (fixed cells) (IF/ICC)
    • Enzyme Immunoassay (EIA)
    • Staining Methods (StM)
    • Immunochromatography (IC)
    • Dot Blot (DB)
    • ELISA (Capture)
    • Functional Studies (Func)
    • ELISA (Detection)
    • Blocking Reagent (BR)
    • Immunoassay (IA)
    • Immunodiffusion (ID)
    • Lateral Flow (LF)
    • Neutralization (Neut)
    • Protein Assay (PrA)
    • Agglutination (AGG)
  • Reaktivität
    • Human
    • Mouse
    • Pig
    • Cow
    • Rat
    • Rabbit
    • Guinea Pig
    • Dog
    • Monkey
    • Avian
    • Cat
    • Chicken
    • Donkey
    • Goat
    • Hamster
    • Horse
    • Mammalian
    • Sheep
  • In Publikationen zitiert
  • Abbildungen verfügbar
  • Nur ohne Konservierungsmittel
  • Carrier free only
  • Wirt
    • Mouse
    • Rabbit
    • Guinea Pig
    • Chicken
    • Goat
    • Sheep
  • Klonalität
    • Monoclonal
    • Polyclonal
    • Chimeric
  • Klon
    • 1G11
    • IRDN-1980R
    • rIRDN-805
    • 2D11-H5
    • IRDN-805
    • E2-E3
    • E2-E3 2D11-H5
    • IRDN-794
    • K36aC10
    • 1-B-1E16
    • 5C54
    • IN-05
    • ISL-8J
    • 1-B-1E15
    • 2D11-H5 or INS05
    • 7F8
    • 8E2
    • Ab 123
    • E2-E3 or INS04
    • E2E3
    • ML02I01
    • SPM139
    • 0H2
    • 1A399
    • 1A400
    • 1C5A
    • 1F6
    • 2D11-H5-same as INS05
    • 396CT20-4-4
    • 3E7
    • 5H7
    • 7C8
    • 9F3
    • C-PEP-01
    • C1
    • C7
    • CCI-3
    • D3E7
    • D3E7 (5B6-6)
    • D4B8cc
    • DEA-9
    • E2-E3-2D11-H5 or INS04-INS05
    • E6-E5 (7F8)
    • F1B2
    • GT1455
    • HMV308
    • INSC7C9
    • M322212
    • M83149
    • SAA0557
    Please use search to find more...
  • Bindungsspezifität
    • AA 46-59
    • AA 25-110
    • C-Term
    • AA 1-84
    • AA 25-54
    • AA 1-110
    • AA 88-108
    • Beta Chain
    • AA 30-70
    • AA 48-62
    • AA 90-110
    • Center
    • N-Term
    • AA 21-52
    • AA 35-64
    • AA 49-98
    • AA 826-854
    • AA 93-108
    • Chain beta
    • Phe49
  • Konjugat
    • Unkonjugiert
    • Biotin
    • FITC
    • HRP
    • CF®405S
    • CF®488A
    • CF®568
    • CF®594
    • CF®640R
    • CF®647
    • CF®740
    • AbBy Fluor® 350
    • AbBy Fluor® 488
    • AbBy Fluor® 555
    • AbBy Fluor® 594
    • AbBy Fluor® 647
    • AbBy Fluor® 680
    • AbBy Fluor® 750
    • Cy3
    • Cy5
    • Cy5.5
    • Cy7
    • APC
    • Alexa Fluor 488
    • Alexa Fluor 555
    • Alexa Fluor 594
    • Alexa Fluor 647
    • Alexa Fluor 680
    • Alexa Fluor 750
    • PE
    • Sepharose
    • Alexa Fluor 350
    • Alexa Fluor 405
    • CF®680R
    • Magnetic Particles
  • Isotyp
    • IgG
    • IgG1
    • IgG1 kappa
    • kappa
    • IgG2a
    • IgG kappa
    • Ig Fraction
    • IgG2b
    • IgG2a kappa
    • IgG3
    • IgM
    • IgY
  • Protein-Typ
    • Recombinant Antibody
  • Format
    • Liquid
    • Lyophilized
  • Hersteller
    • antibodies-online
    • Biotium
    • Signalway
    • USBio
    • Abbexa
    • Acris
    • ProteoGenix
    • NSJ Bioreagents
    • Biomatik
    • Cohesion Biosciences
    • Enogene Biotech
    • RayBiotech
    • ProSci
    • Assaypro
    • ANTIGENES
    • Assay Biotechnology Company, Inc.
    • Boster Bio
    • CUSABIO
    • Cloud-Clone
    • Covalab
    • ImmunoBioscience
    • Rockland

Aktuelle Publikationen für unsere Insulin Antikörper

Chen, Ren, Zhou, Deng, Hu, Zhang, Li: "HWL-088, a new potent free fatty acid receptor 1 (FFAR1) agonist, improves glucolipid metabolism and acts additively with metformin in ob/ob diabetic mice." in: British journal of pharmacology, Vol. 177, Issue 10, pp. 2286-2302, (2021) (PubMed).

Zhao, Wang, Zhu, Xia, Zhang, Wang, Zhang, Xu, Chen, Jiang, Liu, Wu, Wu, Zhang, Bai, Fotina, Hu: "The Antimicrobial Peptide Mastoparan X Protects Against Enterohemorrhagic Escherichia coli O157:H7 Infection, Inhibits Inflammation, and Enhances the Intestinal Epithelial Barrier." in: Frontiers in microbiology, Vol. 12, pp. 644887, (2021) (PubMed).

Meesaragandla, Karanth, Janke, Delcea: "Biopolymer-coated gold nanoparticles inhibit human insulin amyloid fibrillation." in: Scientific reports, Vol. 10, Issue 1, pp. 7862, (2020) (PubMed).

Fang, Weng, Li, Tao, Mai, Liu, Lu, Lai, Duan, Alvarez, Arvan, Wynshaw-Boris, Li, Pei, Jin, Li: "Single-Cell Heterogeneity Analysis and CRISPR Screen Identify Key ��-Cell-Specific Disease Genes." in: Cell reports, Vol. 26, Issue 11, pp. 3132-3144.e7, (2019) (PubMed).

Xu, Huang, Guo, Xiong, Zhu, Xu, Lu, Li, Wan, Lu, Wang: "microRNA-690 regulates induced pluripotent stem cells (iPSCs) differentiation into insulin-producing cells by targeting Sox9." in: Stem cell research & therapy, Vol. 10, Issue 1, pp. 59, (2019) (PubMed).

Chen, Zeng, Liu, Guo, Zhang, Chen, Lin, Wen, Zhao, Lin, Gao: "Adropin deficiency worsens HFD-induced metabolic defects." in: Cell death & disease, Vol. 8, Issue 8, pp. e3008, (2018) (PubMed).

Zheng, Cao, Zhang, Yan, Xu, Zhao, Zhu, Zhang, Li, Zhu: "Abnormal gene methylation during embryonic development after preimplantation genetic testing increases risk of liver-derived insulin resistance." in: Annals of the New York Academy of Sciences, (2018) (PubMed).

Cao, Kakar, Hossen, Wu, Chen: "Sustained epidermal powder drug delivery via skin microchannels." in: Journal of controlled release : official journal of the Controlled Release Society, Vol. 249, pp. 94-102, (2017) (PubMed).

Dooley, Tian, Schonefeldt, Delghingaro-Augusto, Garcia-Perez, Pasciuto, Di Marino, Carr, Oskolkov, Lyssenko, Franckaert, Lagou, Overbergh, Vandenbussche, Allemeersch, Chabot-Roy, Dahlstrom, Laybutt et al.: "Genetic predisposition for beta cell fragility underlies type 1 and type 2 diabetes. ..." in: Nature genetics, Vol. 48, Issue 5, pp. 519-27, (2017) (PubMed).

Zöllner, Jouni, Panzer, Khadour, Janzen, Wesche, Ten Berg, Schellong, Heinken, Greinacher, Bakchoul: "Platelet activation in the presence of neutral protamine Hagedorn insulin: a new feature of antibodies against protamine/heparin complexes." in: Journal of thrombosis and haemostasis : JTH, (2016) (PubMed).

Aliase für Insulin Antikörper

insulin (INS) Antikörper
insulin (INS-IGF2) Antikörper
insulin (ins) Antikörper
insulin (Ins) Antikörper
insulin precursor (PIN) Antikörper
insulin II (Ins2) Antikörper
preproinsulin (ins) Antikörper
insulin L homeolog (ins.L) Antikörper
insulin S homeolog (ins.S) Antikörper
AA986540 Antikörper
IDDM2 Antikörper
igf2-A Antikörper
ILPR Antikörper
ins Antikörper
Ins-2 Antikörper
ins-a Antikörper
ins-b Antikörper
ins1 Antikörper
ins1-a Antikörper
InsII Antikörper
Insulin Antikörper
IRDN Antikörper
Mody Antikörper
Mody4 Antikörper
MODY10 Antikörper
proinsulin Antikörper
xins Antikörper
zgc:109842 Antikörper
Sie sind hier:
Chat with us!