Telefon:
+49 (0)241 95 163 153
Fax:
+49 (0)241 95 163 155
E-Mail:
orders@antikoerper-online.de

GZMM Antikörper

(Granzyme M (Lymphocyte Met-Ase 1) (GZMM))

Wählen Sie einen von 35 GZMM-Antikörpern aus unserem Produktangebot basierend auf 1 Publikation und 26 Validierungsbilder.

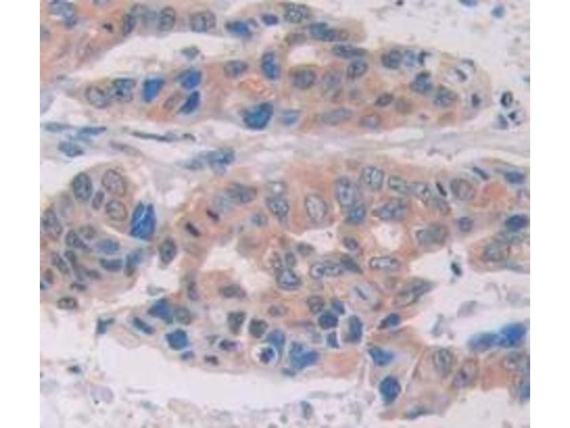
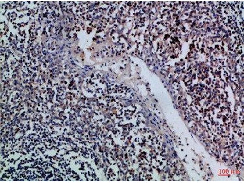
Entdecken Sie zuverlässige GZMM-Antikörper von einer großen Zahl namhafter Hersteller. Unser Portfolio ermöglicht eine präzise GZMM-Detektion in verschiedenen Spezies, darunter Human, Mouse, Rat, und unterstützt vielfältige Forschungsanwendungen wie WB, IHC, ELISA, ICC, IP.

Finden Sie schnell den passenden Antikörper mit unseren Such-, Filter- und Vergleichsfunktionen. Auf jeder Produktseite stehen Ihnen detaillierte Validierungsdaten, Literaturreferenzen und Kundenbewertungen zur Verfügung. Im Gegensatz zu reinen Vergleichsportalen können Sie Ihre Antikörper direkt über unsere Plattform erwerben. Wählen Sie aus polyklonalen, monoklonalen oder rekombinanten GZMM-Antikörpern aus verschiedenen Wirtsarten wie Rabbit, Mouse. Durchstöbern Sie unten unsere Auswahl an GZMM-Antikörpern und bestellen Sie direkt, um Ihre Forschung effizient voranzubringen.

Alternative Bezeichnungen für GZMM sind LOC100136381, GZMM, Gzmm.

35 Treffer

GZMM Reaktivität: Human WB, IHC (p), FACS Wirt: Kaninchen Polyclonal RB19358 unconjugated
Produktnummer ABIN390763
434,77 €
Zzgl. Versandkosten 20,00 € und MwSt
400 μL (Weitere Mengeneinheiten)
Lieferung nach: Deutschland
Lieferung in 14 bis 17 Werktagen
 
GZMM Reaktivität: Human IHC, ELISA Wirt: Kaninchen Polyclonal unconjugated
Produktnummer ABIN7189462
218,90 €
Zzgl. Versandkosten 20,00 € und MwSt
100 μg (Weitere Mengeneinheiten)
Lieferung nach: Deutschland
Lieferung in 11 bis 15 Werktagen
 
GZMM Reaktivität: Human WB, IHC Wirt: Kaninchen Polyclonal unconjugated
Produktnummer ABIN1172881
221,00 €
Zzgl. Versandkosten 20,00 € und MwSt
100 μL (Weitere Mengeneinheiten)
Lieferung nach: Deutschland
Lieferung in 13 bis 17 Werktagen
 
GZMM Reaktivität: Human, Maus, Ratte WB, IHC, ELISA Wirt: Kaninchen Polyclonal unconjugated
Produktnummer ABIN7254520
449,00 €
Zzgl. Versandkosten 20,00 € und MwSt
200 μL (Weitere Mengeneinheiten)
Lieferung nach: Deutschland
Lieferung in 9 bis 13 Werktagen
 
GZMM Reaktivität: Human WB, IHC Wirt: Maus Monoclonal D1 unconjugated
Produktnummer ABIN7425854
307,75 €
Zzgl. Versandkosten 20,00 € und MwSt
100 μL (Weitere Mengeneinheiten)
Lieferung nach: Deutschland
Lieferung in 11 bis 15 Werktagen
 
GZMM Reaktivität: Human WB, ELISA Wirt: Maus Monoclonal 4D11 unconjugated
Pubmed 1 reference
Produktnummer ABIN516325
651,20 €
Zzgl. Versandkosten 20,00 € und MwSt
100 μg
Lieferung nach: Deutschland
Lieferung in 8 bis 9 Werktagen
 
GZMM Reaktivität: Human IHC, ELISA, IF Wirt: Kaninchen Polyclonal unconjugated
Produktnummer ABIN7154424
328,90 €
Zzgl. Versandkosten 20,00 € und MwSt
100 μg (Weitere Mengeneinheiten)
Lieferung nach: Deutschland
Lieferung in 11 bis 15 Werktagen
 
GZMM Reaktivität: Human WB, IHC, FACS Wirt: Kaninchen Polyclonal unconjugated
Produktnummer ABIN3002803
845,72 €
Zzgl. Versandkosten 20,00 € und MwSt
400 μL (Weitere Mengeneinheiten)
Lieferung nach: Deutschland
Lieferung in 7 bis 13 Werktagen
 
GZMM Reaktivität: Maus WB, IHC, IP, ICC Wirt: Kaninchen Polyclonal unconjugated
Produktnummer ABIN1859112
227,00 €
Zzgl. Versandkosten 20,00 € und MwSt
100 μL (Weitere Mengeneinheiten)
Lieferung nach: Deutschland
Lieferung in 11 bis 15 Werktagen
 
GZMM Reaktivität: Ratte WB, IHC, IP, ICC Wirt: Kaninchen Polyclonal unconjugated
Produktnummer ABIN1859111
239,00 €
Zzgl. Versandkosten 20,00 € und MwSt
100 μL (Weitere Mengeneinheiten)
Lieferung nach: Deutschland
Lieferung in 11 bis 15 Werktagen
 
GZMM Reaktivität: Human WB, ELISA Wirt: Kaninchen Polyclonal unconjugated
Produktnummer ABIN4901618
377,51 €
Zzgl. Versandkosten 20,00 € und MwSt
100 μL (Weitere Mengeneinheiten)
Lieferung nach: Deutschland
Lieferung in 8 bis 10 Werktagen
 
GZMM Reaktivität: Maus WB, IHC, IP, ICC Wirt: Kaninchen Polyclonal unconjugated
Produktnummer ABIN7639771
293,45 €
Zzgl. Versandkosten 20,00 € und MwSt
100 μL (Weitere Mengeneinheiten)
Lieferung nach: Deutschland
Lieferung in 11 bis 15 Werktagen
 
GZMM Reaktivität: Ratte WB, IHC, IP, ICC Wirt: Kaninchen Polyclonal unconjugated
Produktnummer ABIN7639773
304,89 €
Zzgl. Versandkosten 20,00 € und MwSt
100 μL (Weitere Mengeneinheiten)
Lieferung nach: Deutschland
Lieferung in 11 bis 15 Werktagen
 
GZMM Reaktivität: Human WB, IHC, IP, ICC Wirt: Maus Monoclonal C2 unconjugated
Produktnummer ABIN7639775
304,89 €
Zzgl. Versandkosten 20,00 € und MwSt
100 μL (Weitere Mengeneinheiten)
Lieferung nach: Deutschland
Lieferung in 11 bis 15 Werktagen
 
GZMM Reaktivität: Human WB, IHC, ICC, IF Wirt: Kaninchen Polyclonal FITC
Produktnummer ABIN7701704
498,52 €
Zzgl. Versandkosten 20,00 € und MwSt
200 μL (Weitere Mengeneinheiten)
Lieferung nach: Deutschland
Lieferung in 11 bis 15 Werktagen
 
GZMM Reaktivität: Human WB, IHC, ICC Wirt: Kaninchen Polyclonal Biotin
Produktnummer ABIN7695580
406,95 €
Zzgl. Versandkosten 20,00 € und MwSt
200 μL (Weitere Mengeneinheiten)
Lieferung nach: Deutschland
Lieferung in 11 bis 15 Werktagen
 
GZMM Reaktivität: Human ELISA Wirt: Kaninchen Polyclonal HRP
Produktnummer ABIN7154427
328,90 €
Zzgl. Versandkosten 20,00 € und MwSt
100 μg (Weitere Mengeneinheiten)
Lieferung nach: Deutschland
Lieferung in 11 bis 15 Werktagen
 
GZMM Reaktivität: Human Wirt: Kaninchen Polyclonal FITC
Produktnummer ABIN7154426
328,90 €
Zzgl. Versandkosten 20,00 € und MwSt
100 μg (Weitere Mengeneinheiten)
Lieferung nach: Deutschland
Lieferung in 11 bis 15 Werktagen
 
GZMM Reaktivität: Human ELISA Wirt: Kaninchen Polyclonal Biotin
Produktnummer ABIN7154425
328,90 €
Zzgl. Versandkosten 20,00 € und MwSt
100 μg (Weitere Mengeneinheiten)
Lieferung nach: Deutschland
Lieferung in 11 bis 15 Werktagen
 
GZMM Reaktivität: Human WB Wirt: Kaninchen Polyclonal Biotin
Produktnummer ABIN2605166
588,22 €
Zzgl. Versandkosten 20,00 € und MwSt
100 μL (Weitere Mengeneinheiten)
Lieferung nach: Deutschland
Lieferung in 15 bis 20 Werktagen
 
  • Typ Primary
    • Primary
  • Anwendung
    • Western Blotting (WB)
    • Immunohistochemistry (IHC)
    • ELISA
    • Immunocytochemistry (ICC)
    • Immunoprecipitation (IP)
    • Flow Cytometry (FACS)
    • Immunofluorescence (IF)
    • Enzyme Immunoassay (EIA)
    • Immunochromatography (IC)
    • Immunohistochemistry (Paraffin-embedded Sections) (IHC (p))
    • Immunofluorescence (fixed cells) (IF/ICC)
  • Reaktivität
    • Human
    • Mouse
    • Rat
  • In Publikationen zitiert
  • Abbildungen verfügbar
  • Carrier free only
  • Wirt
    • Rabbit
    • Mouse
  • Klonalität
    • Polyclonal
    • Monoclonal
  • Klon
    • C2
    • 4D11
    • D1
    • RB19358
  • Bindungsspezifität
    • AA 26-257
    • AA 98-243
    • AA 19-251
    • C-Term
    • AA 207-256
    • AA 31-257
    • AA 64-206
    • AA 84-113
    • AA 85-193
    • Middle Region
  • Konjugat
    • Unkonjugiert
    • Biotin
    • FITC
    • Alexa Fluor 488
    • Alexa Fluor 555
    • Alexa Fluor 594
    • Alexa Fluor 647
    • Alexa Fluor 680
    • Alexa Fluor 750
    • HRP
  • Isotyp
    • IgG
    • Ig Fraction
    • IgG1 kappa
    • IgG2a
    • IgG2b kappa
  • Format
    • Liquid
    • Lyophilized
  • Hersteller
    • antibodies-online
    • Signalway
    • Abbexa
    • Cloud-Clone
    • Boster Bio
    • Acris
    • Biomatik
    • Cohesion Biosciences
    • USBio

Aktuelle Publikationen für unsere GZMM Antikörper

Schiffer, Letzian, Jost, Mladenov, Hristodorov, Huhn, Fischer, Barth, Thepen: "Granzyme M as a novel effector molecule for human cytolytic fusion proteins: CD64-specific cytotoxicity of Gm-H22(scFv) against leukemic cells." in: Cancer letters, Vol. 341, Issue 2, pp. 178-85, (2013) (PubMed).

Aliase für GZMM Antikörper

granzyme M (LOC100136381) Antikörper
granzyme M (GZMM) Antikörper
granzyme M (Gzmm) Antikörper
granzyme M (lymphocyte met-ase 1) (Gzmm) Antikörper
LMET1 Antikörper
Lmet1 Antikörper
MET1 Antikörper
MMET-1 Antikörper
Sie sind hier:
Chat with us!