Telefon:
+49 (0)241 95 163 153
Fax:
+49 (0)241 95 163 155
E-Mail:
orders@antikoerper-online.de

GNAT1 Antikörper

(Guanine Nucleotide Binding Protein (G Protein), alpha Transducing Activity Polypeptide 1 (GNAT1))

Wählen Sie einen von 38 GNAT1-Antikörpern aus unserem Produktangebot basierend auf 15 Validierungsbilder.

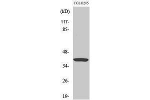
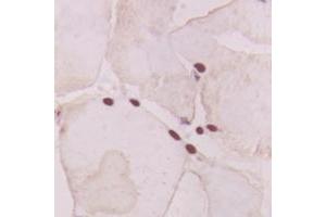
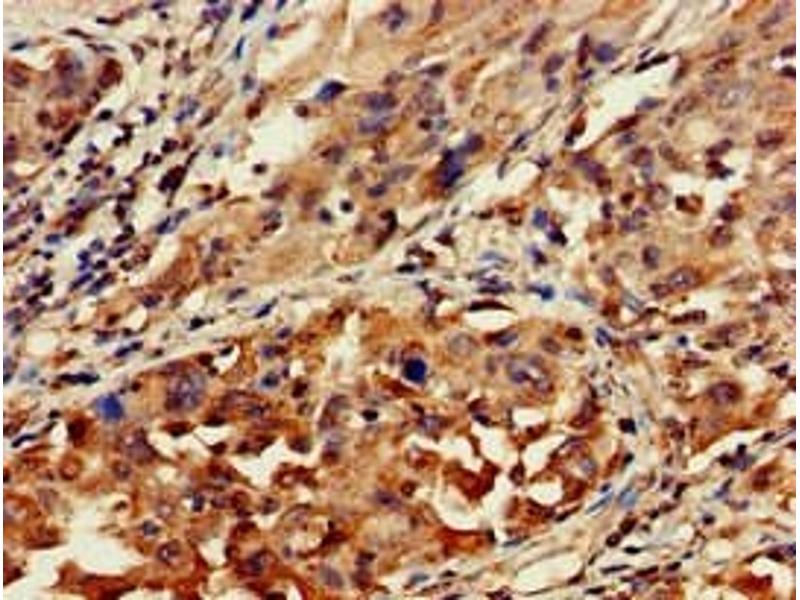
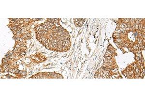
Entdecken Sie zuverlässige GNAT1-Antikörper von einer großen Zahl namhafter Hersteller. Unser Portfolio ermöglicht eine präzise GNAT1-Detektion in verschiedenen Spezies, darunter Human, Mouse, Rat, Cow, Dog, Xenopus laevis, Guinea Pig, Horse, Pig, Rabbit, Sheep, Zebrafish (Danio rerio), und unterstützt vielfältige Forschungsanwendungen wie WB, ELISA, IHC, FACS, IHC (p).

Finden Sie schnell den passenden Antikörper mit unseren Such-, Filter- und Vergleichsfunktionen. Auf jeder Produktseite stehen Ihnen detaillierte Validierungsdaten, Literaturreferenzen und Kundenbewertungen zur Verfügung. Im Gegensatz zu reinen Vergleichsportalen können Sie Ihre Antikörper direkt über unsere Plattform erwerben. Wählen Sie aus polyklonalen, monoklonalen oder rekombinanten GNAT1-Antikörpern aus verschiedenen Wirtsarten wie Rabbit. Durchstöbern Sie unten unsere Auswahl an GNAT1-Antikörpern und bestellen Sie direkt, um Ihre Forschung effizient voranzubringen.

Alternative Bezeichnungen für GNAT1 sind GNAT1, gnat1, Gnat1, gnat1.S.

38 Treffer

GNAT1 Reaktivität: Human WB, FACS, IHC (p) Wirt: Kaninchen Polyclonal RB24620 unconjugated
Produktnummer ABIN653740
434,77 €
Zzgl. Versandkosten 20,00 € und MwSt
400 μL (Weitere Mengeneinheiten)
Lieferung nach: Deutschland
Lieferung in 14 bis 17 Werktagen
 
GNAT1 Reaktivität: Human WB, ELISA, IHC, IF Wirt: Kaninchen Polyclonal unconjugated
Produktnummer ABIN7154711
328,90 €
Zzgl. Versandkosten 20,00 € und MwSt
100 μg (Weitere Mengeneinheiten)
Lieferung nach: Deutschland
Lieferung in 11 bis 15 Werktagen
 
GNAT1 Reaktivität: Human, Maus WB, ELISA, IHC Wirt: Kaninchen Polyclonal unconjugated
Produktnummer ABIN7245083
449,00 €
Zzgl. Versandkosten 20,00 € und MwSt
200 μL (Weitere Mengeneinheiten)
Lieferung nach: Deutschland
Lieferung in 9 bis 13 Werktagen
 
GNAT1 Reaktivität: Human WB Wirt: Kaninchen Polyclonal unconjugated
Produktnummer ABIN2856227
583,17 €
Zzgl. Versandkosten 20,00 € und MwSt
100 μL
Lieferung nach: Deutschland
Lieferung in 7 bis 10 Werktagen
 
GNAT1 Reaktivität: Human WB Wirt: Kaninchen Polyclonal unconjugated
Produktnummer ABIN1498484
833,74 €
Zzgl. Versandkosten 20,00 € und MwSt
100 μL
Lieferung nach: Deutschland
Lieferung in 15 bis 20 Werktagen
 
GNAT1 Reaktivität: Human, Maus, Ratte WB, ELISA, IF, ICC Wirt: Kaninchen Polyclonal unconjugated
Produktnummer ABIN6257751
525,71 €
Zzgl. Versandkosten 20,00 € und MwSt
100 μL (Weitere Mengeneinheiten)
Lieferung nach: Deutschland
Lieferung in 9 bis 11 Werktagen
 
GNAT1 Reaktivität: Human, Maus, Ratte WB, ELISA Wirt: Kaninchen Polyclonal unconjugated
Produktnummer ABIN3184968
377,51 €
Zzgl. Versandkosten 20,00 € und MwSt
100 μL (Weitere Mengeneinheiten)
Lieferung nach: Deutschland
Lieferung in 8 bis 10 Werktagen
 
GNAT1 Reaktivität: Human, Maus, Ratte, Rind (Kuh), Hund WB, IHC Wirt: Kaninchen Polyclonal unconjugated
Produktnummer ABIN7300746
330,77 €
Zzgl. Versandkosten 20,00 € und MwSt
100 μL (Weitere Mengeneinheiten)
Lieferung nach: Deutschland
Lieferung in 17 bis 20 Werktagen
 
GNAT1 Reaktivität: Human, Maus, Ratte WB, ELISA, IHC Wirt: Kaninchen Polyclonal unconjugated
Produktnummer ABIN3187355
377,51 €
Zzgl. Versandkosten 20,00 € und MwSt
100 μL (Weitere Mengeneinheiten)
Lieferung nach: Deutschland
Lieferung in 8 bis 10 Werktagen
 
GNAT1 Reaktivität: Xenopus laevis IHC Wirt: Kaninchen Polyclonal unconjugated
Produktnummer ABIN966215
411,13 €
Zzgl. Versandkosten 20,00 € und MwSt
0.1 mg
Lieferung nach: Deutschland
Lieferung in 8 bis 12 Werktagen
 
GNAT1 Reaktivität: Human, Maus, Ratte WB, ELISA, IHC (p) Wirt: Kaninchen Polyclonal unconjugated
Produktnummer ABIN7224694
623,62 €
Zzgl. Versandkosten 20,00 € und MwSt
100 μL (Weitere Mengeneinheiten)
Lieferung nach: Deutschland
Lieferung in 10 bis 14 Werktagen
 
GNAT1 Reaktivität: Human WB, ELISA, IHC Wirt: Kaninchen Polyclonal unconjugated
Produktnummer ABIN7569577
527,38 €
Zzgl. Versandkosten 20,00 € und MwSt
100 μg
Lieferung nach: Deutschland
Lieferung in 10 bis 13 Werktagen
 
GNAT1 Reaktivität: Human Wirt: Kaninchen Polyclonal FITC
Produktnummer ABIN7154713
328,90 €
Zzgl. Versandkosten 20,00 € und MwSt
100 μg (Weitere Mengeneinheiten)
Lieferung nach: Deutschland
Lieferung in 11 bis 15 Werktagen
 
GNAT1 Reaktivität: Human ELISA Wirt: Kaninchen Polyclonal Biotin
Produktnummer ABIN7154712
328,90 €
Zzgl. Versandkosten 20,00 € und MwSt
100 μg (Weitere Mengeneinheiten)
Lieferung nach: Deutschland
Lieferung in 11 bis 15 Werktagen
 
GNAT1 Reaktivität: Human ELISA Wirt: Kaninchen Polyclonal HRP
Produktnummer ABIN7154714
328,90 €
Zzgl. Versandkosten 20,00 € und MwSt
100 μg (Weitere Mengeneinheiten)
Lieferung nach: Deutschland
Lieferung in 11 bis 15 Werktagen
 
GNAT1 Reaktivität: Human, Maus WB Wirt: Kaninchen Polyclonal unconjugated
Produktnummer ABIN2892766
753,61 €
Zzgl. Versandkosten 20,00 € und MwSt
100 μL (Weitere Mengeneinheiten)
Lieferung nach: Deutschland
Lieferung in 15 bis 20 Werktagen
 
GNAT1 Reaktivität: Human WB, ELISA, IHC, FACS Wirt: Kaninchen Polyclonal unconjugated
Produktnummer ABIN2604115
1.328,20 €
Zzgl. Versandkosten 20,00 € und MwSt
200 μL
Lieferung nach: Deutschland
Lieferung in 15 bis 20 Werktagen
 
GNAT1 Reaktivität: Xenopus laevis Wirt: Kaninchen Polyclonal unconjugated
Produktnummer ABIN207395
710,98 €
Zzgl. Versandkosten 20,00 € und MwSt
0.1 mg
Lieferung nach: Deutschland
Lieferung in 15 bis 20 Werktagen
 
GNAT1 Reaktivität: Human, Maus WB, IHC, FACS, IHC (p) Wirt: Kaninchen Polyclonal unconjugated
Produktnummer ABIN1812967
734,86 €
Zzgl. Versandkosten 20,00 € und MwSt
400 μL
Lieferung nach: Deutschland
Lieferung in 15 bis 20 Werktagen
 
GNAT1 Reaktivität: Human WB, ELISA, IHC, FACS Wirt: Kaninchen Polyclonal Biotin
Produktnummer ABIN1899060
1.708,41 €
Zzgl. Versandkosten 20,00 € und MwSt
200 μL
Lieferung nach: Deutschland
Lieferung in 15 bis 20 Werktagen
 
  • Typ Primary
    • Primary
  • Anwendung
    • Western Blotting (WB)
    • ELISA
    • Immunohistochemistry (IHC)
    • Flow Cytometry (FACS)
    • Immunohistochemistry (Paraffin-embedded Sections) (IHC (p))
    • Immunofluorescence (IF)
    • Immunocytochemistry (ICC)
    • Immunofluorescence (fixed cells) (IF/ICC)
  • Reaktivität
    • Human
    • Mouse
    • Rat
    • Cow
    • Dog
    • Xenopus laevis
    • Guinea Pig
    • Horse
    • Pig
    • Rabbit
    • Sheep
    • Zebrafish (Danio rerio)
  • Abbildungen verfügbar
  • Nur ohne Konservierungsmittel
  • Carrier free only
  • Wirt
    • Rabbit
  • Klonalität
    • Polyclonal
  • Klon
    • RB24620
  • Bindungsspezifität
    • AA 290-318
    • AA 92-170
    • N-Term
    • C-Term
    • Center
    • Internal Region
    • AA 1-350
    • AA 10-90
    • AA 297-326
    • AA 317-490
    • AA 37-350
    • AA 71-120
    • AA 85-101
    • Met104
  • Konjugat
    • Unkonjugiert
    • Biotin
    • FITC
    • HRP
    • APC
    • Alexa Fluor 488
    • Alexa Fluor 555
    • Alexa Fluor 594
    • Alexa Fluor 647
    • Alexa Fluor 680
    • Alexa Fluor 750
    • PE
  • Isotyp
    • IgG
    • Ig Fraction
  • Format
    • Liquid
  • Hersteller
    • antibodies-online
    • Signalway
    • Abbexa
    • Assay Biotechnology Company, Inc.
    • Aviva Systems Biology
    • Cohesion Biosciences
    • ProteoGenix
    • USBio

Aliase für GNAT1 Antikörper

G protein subunit alpha transducin 1 (GNAT1) Antikörper
guanine nucleotide binding protein (G protein), alpha transducing activity polypeptide 1 (gnat1) Antikörper
G protein subunit alpha transducin 1 (Gnat1) Antikörper
guanine nucleotide binding protein (G protein), alpha transducing activity polypeptide 1 S homeolog (gnat1.S) Antikörper
guanine nucleotide binding protein, alpha transducing 1 (Gnat1) Antikörper
csnbad3 Antikörper
CSNBAD3 Antikörper
gbt1 Antikörper
GBT1 Antikörper
Gnat-1 Antikörper
GNAT1 Antikörper
gnatr Antikörper
GNATR Antikörper
Ird1 Antikörper
Ird2 Antikörper
irdc Antikörper
irdr Antikörper
Tralpha Antikörper
transducin Antikörper
wu:fk56e06 Antikörper
Sie sind hier:
Chat with us!