Telefon:
+49 (0)241 95 163 153
Fax:
+49 (0)241 95 163 155
E-Mail:
orders@antikoerper-online.de

GFP Antikörper

(Green Fluorescent Protein (GFP))

Green fluorescent protein (GFP) antibodies play a crucial role in various research areas, including cell biology, molecular biology, developmental biology, immunology, and neuroscience, providing valuable tools for visualizing and studying protein localization, expression, interactions, and dynamics. GFP is a naturally occurring fluorescent protein derived from the jellyfish Aequorea victoria, and it emits green light when exposed to blue or ultraviolet light. Antibodies specific to GFP can recognize and bind to the GFP protein, enabling researchers to visualize and study GFP-tagged proteins or cells in various experimental settings. Common use cases for GFP antibodies in research include:

  • GFP antibodies are widely used to detect fusion proteins via Western blotting. A fusion protein is created by genetically fusing the GFP gene to a gene of interest, resulting in the production of a chimeric protein that contains both the GFP portion and the protein of interest. The GFP moiety acts as a tag, allowing researchers to track and visualize the fusion protein within cells or tissues. The resulting signal on the Western blot indicates the presence and size of the fusion protein. Secondary antibodies conjugated to an enzyme, such as horseradish peroxidase (HRP) can be used to amplify the signal.
    This approach allows researchers to study the expression and detection of fusion proteins. Blotting is commonly used in molecular biology and cell biology research to confirm the successful production of fusion proteins, assess their expression levels, and investigate their interactions and localization within cells.
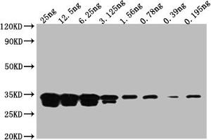
    Suitable for WB and ELISA experiments: anti-GFP Antibody
  • Protein expression analysis: GFP antibodies can be employed to analyze protein expression levels in cells or tissues. Researchers can use immunoblotting techniques, such as Western blotting, to detect and quantify GFP-tagged proteins by specifically binding to the GFP portion. This helps in assessing protein expression levels and monitoring changes under different experimental conditions.
  • Protein localization: GFP fusion proteins are commonly used to track the localization of proteins within cells. By introducing a GFP-tagged protein into cells and using GFP antibodies, researchers can visualize and determine the subcellular localization of the protein of interest. This allows for the study of protein dynamics and cellular processes.
  • Flow cytometry and cell sorting: Flow cytometry allows for the analysis and sorting of cells based on their fluorescent properties. GFP antibodies are employed to detect and quantify GFP-expressing cells in heterogeneous populations. This enables researchers to isolate and characterize specific cell populations based on GFP expression, facilitating the study of cell types, differentiation, or disease states.
  • Immunofluorescence and microscopy: GFP antibodies are utilized in immunofluorescence experiments to visualize and localize GFP-tagged proteins within fixed cells or tissues. By using secondary antibodies conjugated to fluorophores, such as Alexa Fluor or DyLight dyes, the GFP antibodies can be detected and visualized under a fluorescence microscope. This technique enables researchers to study protein localization, interactions, and dynamics in real-time.
    Suitable for FACS and IF experiments:
  • Co-localization studies: GFP antibodies are essential tools for studying protein-protein interactions and co-localization within cells. By using multiple antibodies, including GFP antibodies, against different target proteins, researchers can perform co-immunoprecipitation or immunofluorescence experiments to investigate the spatial relationships and potential interactions between the GFP-tagged protein and other proteins of interest.

antibodies-online offers a wide range of GFP antibodies. Have a look at our top GFP antibodies or discover GFP antibodies tailored to your experimental needs down below!

287 Treffer

GFP Reaktivität: Aequorea victoria WB, ELISA, FM Wirt: Ziege Polyclonal unconjugated
Pubmed 178 Referenzen
Produktnummer ABIN100085
350,00 €
Zzgl. Versandkosten 20,00 € und MwSt
100 μL (Weitere Mengeneinheiten)
Lieferung nach: Deutschland
Lieferung in 1 bis 2 Werktagen
 
GFP Reaktivität: Aequorea victoria WB, IF, IHC (fro), IHC (p) Wirt: Ziege Polyclonal unconjugated
Pubmed 18 Referenzen
Produktnummer ABIN1439999
707,69 €
Zzgl. Versandkosten 20,00 € und MwSt
1 mg (Weitere Mengeneinheiten)
Lieferung nach: Deutschland
Lieferung in 2 bis 4 Werktagen
 
GFP Reaktivität: Aequorea victoria WB, ELISA, IF, IP, FACS Wirt: Maus Monoclonal 6C11C11 unconjugated
Produktnummer ABIN7141875
220,00 €
Zzgl. Versandkosten 20,00 € und MwSt
100 μg (Weitere Mengeneinheiten)
Lieferung nach: Deutschland
Lieferung in 11 bis 15 Werktagen
 
GFP Reaktivität: Aequorea victoria WB, ELISA, IP, IC, ChIP-seq Wirt: Ratte Monoclonal 1A5 unconjugated
Pubmed 1 reference
Produktnummer ABIN2451988
770,00 €
Zzgl. Versandkosten 20,00 € und MwSt
100 μg
Lieferung nach: Deutschland
Lieferung in 6 bis 8 Werktagen
 
GFP Reaktivität: Aequorea victoria WB, IHC, IP, ICC, FACS Wirt: Maus Monoclonal 4B10B2 unconjugated
Pubmed 3 Referenzen
Produktnummer ABIN1724673
526,67 €
Zzgl. Versandkosten 20,00 € und MwSt
100 μL
Lieferung nach: Deutschland
Lieferung in 7 bis 10 Werktagen
 
GFP Reaktivität: Aequorea victoria WB, IF, IHC (fro), IHC (p), IEM Wirt: Ziege Polyclonal unconjugated
Produktnummer ABIN6254149
465,38 €
Zzgl. Versandkosten 20,00 € und MwSt
300 μg
Lieferung nach: Deutschland
Lieferung in 2 bis 4 Werktagen
 
Rockland 600-301-215 GFP Reaktivität: Aequorea victoria WB, ELISA, IHC, IP, FACS, FM, DB Wirt: Maus Monoclonal 9F9-F9 unconjugated
Pubmed 17 Referenzen
Produktnummer ABIN129564
1.086,43 €
Zzgl. Versandkosten 20,00 €, Trockeneispauschale 20,00 € sowie MwSt
1 mg (Weitere Mengeneinheiten)
Lieferung nach: Deutschland
Lieferung in 5 bis 8 Werktagen
Rockland Original
GFP Reaktivität: Aequorea victoria WB, IP, ICC Wirt: Kaninchen Polyclonal unconjugated
Pubmed 2 Referenzen
Produktnummer ABIN302066
309,67 €
Zzgl. Versandkosten 20,00 € und MwSt
100 μg
Lieferung nach: Deutschland
Lieferung in 2 bis 4 Werktagen
 
GFP Reaktivität: Aequorea victoria WB, IF Wirt: Maus Monoclonal unconjugated
Pubmed 3 Referenzen
Produktnummer ABIN3020573
175,00 €
Zzgl. Versandkosten 20,00 € und MwSt
100 μL (Weitere Mengeneinheiten)
Lieferung nach: Deutschland
Lieferung in 7 bis 9 Werktagen
 
GFP Reaktivität: Aequorea victoria WB, IF, IHC (fro) Wirt: Ziege Polyclonal DyLight 550
Produktnummer ABIN7273061
486,92 €
Zzgl. Versandkosten 20,00 € und MwSt
250 μg
Lieferung nach: Deutschland
Lieferung in 2 bis 4 Werktagen
 
Rockland 600-102-215 GFP Reaktivität: Aequorea victoria WB, IHC, FM, DB, FLISA Wirt: Ziege Polyclonal FITC
Pubmed 8 Referenzen
Produktnummer ABIN100088
874,05 €
Zzgl. Versandkosten 20,00 € und MwSt
1 mg
Lieferung nach: Deutschland
Lieferung in 5 bis 8 Werktagen
Rockland Original
Rockland 600-401-215 GFP Reaktivität: Aequorea victoria WB, ELISA, IHC, IP, FACS, FM Wirt: Kaninchen Polyclonal unconjugated
Pubmed 43 Referenzen
Produktnummer ABIN129570
452,98 €
Zzgl. Versandkosten 20,00 €, Trockeneispauschale 20,00 € sowie MwSt
100 μg
Lieferung nach: Deutschland
Lieferung in 5 bis 8 Werktagen
Rockland Original
GFP Reaktivität: Aequorea victoria WB, ELISA, IP Wirt: Maus Monoclonal unconjugated
Produktnummer ABIN7178469
218,90 €
Zzgl. Versandkosten 20,00 € und MwSt
100 μg (Weitere Mengeneinheiten)
Lieferung nach: Deutschland
Lieferung in 11 bis 15 Werktagen
 
GFP Reaktivität: Aequorea victoria WB, IF, IHC (fro), IHC (p) Wirt: Ziege Polyclonal unconjugated
Produktnummer ABIN7273023
465,38 €
Zzgl. Versandkosten 20,00 € und MwSt
400 μg
Lieferung nach: Deutschland
Lieferung in 2 bis 4 Werktagen
 
GFP Reaktivität: Aequorea victoria WB, IF, IHC (fro) Wirt: Ziege Polyclonal DyLight 488
Produktnummer ABIN7273060
486,92 €
Zzgl. Versandkosten 20,00 € und MwSt
250 μg
Lieferung nach: Deutschland
Lieferung in 2 bis 4 Werktagen
 
GFP Reaktivität: Aequorea victoria WB, IF, IHC (fro) Wirt: Ziege Polyclonal DyLight 633
Produktnummer ABIN7273062
486,92 €
Zzgl. Versandkosten 20,00 € und MwSt
250 μg
Lieferung nach: Deutschland
Lieferung in 2 bis 4 Werktagen
 
Rockland 600-103-215 GFP Reaktivität: Aequorea victoria WB, ELISA, IHC Wirt: Ziege Polyclonal HRP
Pubmed 11 Referenzen
Produktnummer ABIN100089
853,18 €
Zzgl. Versandkosten 20,00 € und MwSt
1 mg
Lieferung nach: Deutschland
Lieferung in 5 bis 8 Werktagen
Rockland Original
Rockland 600-106-215 GFP Reaktivität: Aequorea victoria WB, ELISA, IHC Wirt: Ziege Polyclonal Biotin
Pubmed 15 Referenzen
Produktnummer ABIN100087
853,18 €
Zzgl. Versandkosten 20,00 € und MwSt
1 mg
Lieferung nach: Deutschland
Lieferung in 5 bis 8 Werktagen
Rockland Original
Rockland 600-301-215m GFP Reaktivität: Aequorea victoria WB, ELISA, IHC, IP, FACS, FM, DB Wirt: Maus Monoclonal 9F9-F9 unconjugated
Produktnummer ABIN5596892
502,09 €
Zzgl. Versandkosten 20,00 €, Trockeneispauschale 20,00 € sowie MwSt
100 μg
Lieferung nach: Deutschland
Lieferung in 5 bis 8 Werktagen
Rockland Original
Rockland 600-901-215 GFP Reaktivität: Aequorea victoria WB, ELISA, IHC, FM, DB Wirt: Huhn Polyclonal unconjugated
Pubmed 9 Referenzen
Produktnummer ABIN349609
452,98 €
Zzgl. Versandkosten 20,00 €, Trockeneispauschale 20,00 € sowie MwSt
100 μg (Weitere Mengeneinheiten)
Lieferung nach: Deutschland
Lieferung in 5 bis 8 Werktagen
Rockland Original
  • Typ Primary
    • Primary
  • Anwendung
    • Western Blotting (WB)
    • Immunofluorescence (IF)
    • ELISA
    • Immunohistochemistry (IHC)
    • Immunocytochemistry (ICC)
    • Flow Cytometry (FACS)
    • Fluorescence Microscopy (FM)
    • Immunoprecipitation (IP)
    • FLISA
    • Immunohistochemistry (Frozen Sections) (IHC (fro))
    • Dot Blot (DB)
    • Immunofluorescence (Cultured Cells) (IF (cc))
    • Immunofluorescence (Paraffin-embedded Sections) (IF (p))
    • Immunohistochemistry (Paraffin-embedded Sections) (IHC (p))
    • Immunochromatography (IC)
    • Chromatin Immunoprecipitation (ChIP)
    • Enzyme Immunoassay (EIA)
    • ChIP DNA-Sequencing (ChIP-seq)
    • Immunoelectron Microscopy (IEM)
    • Immunostaining (ISt)
    • Immunofluorescence (fixed cells) (IF/ICC)
  • Reaktivität
    • Aequorea victoria
    • Jellyfish
    • Various Species
    • Aequorea coerulescens (Belt Jellyfish)
    • Aequorea aequorea
    • Tag
    • Chlamydomonas reinhardtii
    • Human
    • Mouse
    • Nicotiana tabacum
    • Rat
  • In Publikationen zitiert
  • Abbildungen verfügbar
  • Nur ohne Konservierungsmittel
  • Carrier free only
  • Wirt
    • Mouse
    • Rabbit
    • Goat
    • Chicken
    • Alpaca
    • Guinea Pig
    • Rat
    • Sheep
    • Carp
  • Klonalität
    • Monoclonal
    • Polyclonal
    • Chimeric
  • Klon
    • 9F9-F9
    • r9F9-F9
    • N86-20
    • N86-38
    • N86-44
    • N86-8
    • 1H1
    • 4B10B2
    • 168AT1211
    • 1H1-1B2
    • FM264G
    • GF28R
    • AT2G5
    • C11
    • H3
    • 1002
    • 101G4
    • 14C4
    • 17G06
    • 1A5
    • 1A5 (rat monoclonal
    • 1E4
    • 215
    • 2Q2156
    • 5H6
    • 6C11C11
    • CD-7
    • DG-7
    • G10
    • IQGFP5
    • R04-6A1
    • SAA0921
  • Bindungsspezifität
    • AA 1-238
    • AA 25-120
    • AA 190-220
    • N-Term
    • full length
    • AA 151-238
    • C-Term
    • AA 2-238
    • AA 1-100
    • AA 101-117
    • AA 102-118
    • AA 204-217
    • AA 26-39
    • AA 70-83
    • AA 98-112
  • Konjugat
    • Unkonjugiert
    • Biotin
    • FITC
    • HRP
    • Alexa Fluor 647
    • Alexa Fluor 488
    • Alkaline Phosphatase (AP)
    • FL490
    • FL550
    • FL594
    • FL650
    • Texas Red (TR)
    • APC
    • Alexa Fluor 555
    • Alexa Fluor 594
    • Alexa Fluor 680
    • Alexa Fluor 750
    • Cy3
    • Cy5
    • Cy5.5
    • Cy7
    • DyLight 405
    • DyLight 488
    • DyLight 680
    • DyLight 800
    • AZDye 568
    • AbBy Fluor® 350
    • AbBy Fluor® 488
    • AbBy Fluor® 555
    • AbBy Fluor® 594
    • AbBy Fluor® 647
    • Alexa Fluor 350
    • Alexa Fluor 405
    • Atto 488
    • CF®488A
    • CF®568
    • CF®594
    • CF®633
    • CF®640R
    • CF®660R
    • CF®680
    • CF®680R
    • CF®770
    • DyLight 549
    • DyLight 649
    • TRITC
    • AbBy Fluor® 680
    • AbBy Fluor® 750
    • AcalephFluor350
    • AcalephFluor405
    • AcalephFluor488
  • Isotyp
    • IgG
    • IgG1
    • IgG1 kappa
    • IgG2a
    • kappa
    • IgY
    • IgG2b
    • IgG2a kappa
    • Ig Fraction
    • IgG2b kappa
    • IgM
  • Protein-Typ
    • Recombinant Antibody
  • Format
    • Liquid
    • Lyophilized
  • Fragment
    • single-domain Antibody (sdAb)
  • Grade
    • Carrier-free
  • Hersteller
    • antibodies-online
    • Rockland
    • Antibodies Incorporated
    • Signalway
    • Biotium
    • Cohesion Biosciences
    • USBio
    • Acris
    • Agrisera
    • Abbexa
    • ProSci
    • ProteoGenix
    • Synaptic Systems
    • BioLegend
    • Biomatik
    • Boster Bio
    • Covalab
    • RayBiotech
    • BioAcademia
    • Enogene Biotech
    • Epitope Biotech
    • FabGennix
    • NSJ Bioreagents

Aktuelle Publikationen für unsere GFP Antikörper

Frolova, Palchevska, Dominguez, Frolov: "Alphavirus-induced transcriptional and translational shutoffs play major roles in blocking the formation of stress granules." in: Journal of virology, Vol. 97, Issue 11, pp. e0097923, (2023) (PubMed).

Dominguez, Palchevska, Frolova, Frolov: "Alphavirus-based replicons demonstrate different interactions with host cells and can be optimized to increase protein expression." in: Journal of virology, Vol. 97, Issue 11, pp. e0122523, (2023) (PubMed).

Park, Kim, Alabdalla, Mishra, Mchaourab: "Generation and characterization of a zebrafish knockout model of abcb4, a homolog of the human multidrug efflux transporter P-glycoprotein." in: Human genomics, Vol. 17, Issue 1, pp. 84, (2023) (PubMed).

Frolov, Agback, Palchevska, Dominguez, Lomzov, Agback, Frolova: "All Domains of SARS-CoV-2 nsp1 Determine Translational Shutoff and Cytotoxicity of the Protein." in: Journal of virology, Vol. 97, Issue 3, pp. e0186522, (2023) (PubMed).

Lapraz, Boutres, Fixary-Schuster, De Queiroz, Plaçais, Cerezo, Besse, Préat, Noselli: "Asymmetric activity of NetrinB controls laterality of the Drosophila brain." in: Nature communications, Vol. 14, Issue 1, pp. 1052, (2023) (PubMed).

Annunziata, Rasa, Krepelova, Lu, Minetti, Omrani, Nunna, Adam, Käppel, Neri: "Paneth cells drive intestinal stem cell competition and clonality in aging and calorie restriction." in: European journal of cell biology, Vol. 101, Issue 4, pp. 151282, (2022) (PubMed).

Kim, Leng, Park, Sorets, Kim, Shostak, Embalabala, Mlouk, Katdare, Rose, Sturgeon, Neal, Ao, Wang, Sofroniew, Brunger, McMahon, Schrag, Kampmann, Lippmann: "Reactive astrocytes transduce inflammation in a blood-brain barrier model through a TNF-STAT3 signaling axis and secretion of alpha 1-antichymotrypsin." in: Nature communications, Vol. 13, Issue 1, pp. 6581, (2022) (PubMed).

Paterson, Lämmermann: "Macrophage network dynamics depend on haptokinesis for optimal local surveillance." in: eLife, Vol. 11, (2022) (PubMed).

Kim, Jiang: "Generation of human pluripotent stem cell-derived fused organoids with oligodendroglia and myelin." in: STAR protocols, Vol. 2, Issue 2, pp. 100443, (2022) (PubMed).

Bhargava, Williart, Maurin, Davidson, Jouve, Piel, Lahaye, Manel: "Inhibition of HIV infection by structural proteins of the inner nuclear membrane is associated with reduced chromatin dynamics." in: Cell reports, Vol. 36, Issue 13, pp. 109763, (2022) (PubMed).

Aliase für GFP Antikörper

green fluorescent protein (gfp) Antikörper
Sie sind hier:
Chat with us!