Telefon:
+49 (0)241 95 163 153
Fax:
+49 (0)241 95 163 155
E-Mail:
orders@antikoerper-online.de

Polyklonale Primärantikörper

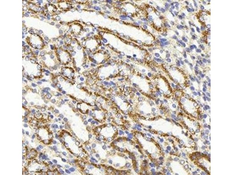
Polykolonale Antikörper (pAbs) sind heterogene Mischungen von Immunglobulinen, die von mehreren B-Zellklonen produziert werden und mehrere Epitope eines einzelnen Antigens erkennen. Diese breite Epitoperkennung ermöglicht eine hohe Sensitivität und robuste Signalstärke, wodurch sich polyklonale Antikörper besonders für den Nachweis von niedrig exprimierten Proteinen oder strukturell variablen Targets eignen.

Durch die Bindung an verschiedene Regionen eines Antigens zeigen polyklonale Antikörper eine zuverlässige Performance in Anwendungen, bei denen Epitope teilweise denaturiert oder maskiert sein können, wie z. B. Western Blot oder Immunhistochemie (IHC). Sie werden häufig in ELISA, WB, IHC, IF und Immunpräzipitation eingesetzt, wenn eine starke und konsistente Signalgebung erforderlich ist.

Gleichzeitig führt ihre tierbasierte Herstellung zu einer inhärenten Batch-to-Batch-Variabilität, die die langfristige Reproduzierbarkeit beeinflussen kann. Zudem kann die Bindung an mehrere Epitope zu einer geringeren Spezifität im Vergleich zu monoklonalen oder rekombinanten Antikörpern führen. Daher eignen sich polyklonale Antikörper besonders für explorative Studien, den Nachweis schwach exprimierter Targets oder Anwendungen, bei denen Sensitivität wichtiger ist als maximale Spezifität.

Für Anwendungen, die eine hohe Lot-to-Lot-Konsistenz oder eine präzise Target-Diskriminierung erfordern, sind monoklonale oder rekombinante Antikörper oft besser geeignet. Multiklonale Antikörper bieten eine ausgewogene Alternative, indem sie breite Epitoperkennung mit verbesserter Reproduzierbarkeit kombinieren.

Bei antibodies-online umfasst unser Portfolio polyklonaler Antikörper validierte Antikörper für ELISA, Western Blot, Immunhistochemie, Immunfluoreszenz und Immunpräzipitation. Mit breiter Target-Abdeckung und anwendungsspezifischen Validierungsdaten bieten diese Antikörper zuverlässige Werkzeuge für den sensitiven Proteinnachweis in unterschiedlichsten Forschungsanwendungen.

Wichtige Targets

Alle Polyklonalen Antibodies

600.930 Treffer

TADA2B Reaktivität: Maus, Ratte IHC, IF Wirt: Kaninchen Polyclonal unconjugated
Produktnummer ABIN7075957
592,31 €
Zzgl. Versandkosten 20,00 € und MwSt
100 μL
Lieferung nach: Deutschland
Lieferung in 13 bis 20 Werktagen
 
TKT Reaktivität: Human, Ratte, Maus WB, IHC, IF Wirt: Kaninchen Polyclonal unconjugated
Produktnummer ABIN7075978
592,31 €
Zzgl. Versandkosten 20,00 € und MwSt
100 μL
Lieferung nach: Deutschland
Lieferung in 13 bis 20 Werktagen
 
HSPD1 Reaktivität: Human, Maus, Ratte WB, IHC, IF, IEM Wirt: Kaninchen Polyclonal unconjugated
Produktnummer ABIN7074167
592,31 €
Zzgl. Versandkosten 20,00 € und MwSt
100 μL
Lieferung nach: Deutschland
Lieferung in 13 bis 20 Werktagen
 
DMRTA2 Reaktivität: Human, Maus, Ratte WB, IHC, IF Wirt: Kaninchen Polyclonal unconjugated
Produktnummer ABIN7073753
592,31 €
Zzgl. Versandkosten 20,00 € und MwSt
100 μL
Lieferung nach: Deutschland
Lieferung in 13 bis 20 Werktagen
 
FAM135B Reaktivität: Maus, Ratte IHC, IF Wirt: Kaninchen Polyclonal unconjugated
Produktnummer ABIN7073910
592,31 €
Zzgl. Versandkosten 20,00 € und MwSt
100 μL
Lieferung nach: Deutschland
Lieferung in 13 bis 20 Werktagen
 
PNN Reaktivität: Human, Maus, Ratte IHC, IF Wirt: Kaninchen Polyclonal unconjugated
Produktnummer ABIN7075083
592,31 €
Zzgl. Versandkosten 20,00 € und MwSt
100 μL
Lieferung nach: Deutschland
Lieferung in 13 bis 20 Werktagen
 
Produktnummer ABIN7075116
592,31 €
Zzgl. Versandkosten 20,00 € und MwSt
100 μL
Lieferung nach: Deutschland
Lieferung in 13 bis 20 Werktagen
 
PQBP1 Reaktivität: Maus, Ratte IHC, IF Wirt: Kaninchen Polyclonal unconjugated
Produktnummer ABIN7075126
592,31 €
Zzgl. Versandkosten 20,00 € und MwSt
100 μL
Lieferung nach: Deutschland
Lieferung in 13 bis 20 Werktagen
 
NEIL1 Reaktivität: Human, Ratte, Maus WB, IHC, IF Wirt: Kaninchen Polyclonal unconjugated
Produktnummer ABIN7073820
592,31 €
Zzgl. Versandkosten 20,00 € und MwSt
100 μL
Lieferung nach: Deutschland
Lieferung in 13 bis 20 Werktagen
 
FGF11 Reaktivität: Maus, Ratte IHC, IF Wirt: Kaninchen Polyclonal unconjugated
Produktnummer ABIN7073941
592,31 €
Zzgl. Versandkosten 20,00 € und MwSt
100 μL
Lieferung nach: Deutschland
Lieferung in 13 bis 20 Werktagen
 
HOXC9 Reaktivität: Human, Ratte IHC, IF Wirt: Kaninchen Polyclonal unconjugated
Produktnummer ABIN7074251
592,31 €
Zzgl. Versandkosten 20,00 € und MwSt
100 μL
Lieferung nach: Deutschland
Lieferung in 13 bis 20 Werktagen
 
CD74 Reaktivität: Maus, Ratte IF, IHC Wirt: Kaninchen Polyclonal unconjugated
Produktnummer ABIN7074245
592,31 €
Zzgl. Versandkosten 20,00 € und MwSt
100 μL
Lieferung nach: Deutschland
Lieferung in 13 bis 20 Werktagen
 
Reaktivität: Maus, Ratte, Human WB, IF, IHC Wirt: Kaninchen Polyclonal unconjugated
Produktnummer ABIN7074247
592,31 €
Zzgl. Versandkosten 20,00 € und MwSt
100 μL
Lieferung nach: Deutschland
Lieferung in 13 bis 20 Werktagen
 
LARP1 Reaktivität: Human, Maus, Ratte WB, IF, IHC Wirt: Kaninchen Polyclonal unconjugated
Produktnummer ABIN7074453
592,31 €
Zzgl. Versandkosten 20,00 € und MwSt
100 μL
Lieferung nach: Deutschland
Lieferung in 13 bis 20 Werktagen
 
PTGFR Reaktivität: Human, Ratte IHC, IF Wirt: Kaninchen Polyclonal unconjugated
Produktnummer ABIN7075209
592,31 €
Zzgl. Versandkosten 20,00 € und MwSt
100 μL
Lieferung nach: Deutschland
Lieferung in 13 bis 20 Werktagen
 
PTGDS.L Reaktivität: Maus, Ratte IF, IHC Wirt: Kaninchen Polyclonal unconjugated
Produktnummer ABIN7075207
592,31 €
Zzgl. Versandkosten 20,00 € und MwSt
100 μL
Lieferung nach: Deutschland
Lieferung in 13 bis 20 Werktagen
 
PSMD8 Reaktivität: Human, Maus, Ratte IHC, IF Wirt: Kaninchen Polyclonal unconjugated
Produktnummer ABIN7075226
592,31 €
Zzgl. Versandkosten 20,00 € und MwSt
100 μL
Lieferung nach: Deutschland
Lieferung in 13 bis 20 Werktagen
 
TYW1B Reaktivität: Human, Maus, Ratte WB, IHC, IF Wirt: Kaninchen Polyclonal unconjugated
Produktnummer ABIN7076025
592,31 €
Zzgl. Versandkosten 20,00 € und MwSt
100 μL
Lieferung nach: Deutschland
Lieferung in 13 bis 20 Werktagen
 
TNFRSF6B Reaktivität: Human, Maus, Ratte WB, IHC, IF Wirt: Kaninchen Polyclonal unconjugated
Produktnummer ABIN7076071
592,31 €
Zzgl. Versandkosten 20,00 € und MwSt
100 μL
Lieferung nach: Deutschland
Lieferung in 13 bis 20 Werktagen
 
HDGFRP3 Reaktivität: Maus, Ratte IHC, IF Wirt: Kaninchen Polyclonal unconjugated
Produktnummer ABIN7074198
592,31 €
Zzgl. Versandkosten 20,00 € und MwSt
100 μL
Lieferung nach: Deutschland
Lieferung in 13 bis 20 Werktagen
 
Produktnummer ABIN7074970
592,31 €
Zzgl. Versandkosten 20,00 € und MwSt
100 μL
Lieferung nach: Deutschland
Lieferung in 13 bis 20 Werktagen
 
PALLD Reaktivität: Human, Maus, Ratte WB, IHC, IF Wirt: Kaninchen Polyclonal unconjugated
Produktnummer ABIN7074976
592,31 €
Zzgl. Versandkosten 20,00 € und MwSt
100 μL
Lieferung nach: Deutschland
Lieferung in 13 bis 20 Werktagen
 
PHF10 Reaktivität: Maus, Ratte IHC, IF Wirt: Kaninchen Polyclonal unconjugated
Produktnummer ABIN7075029
592,31 €
Zzgl. Versandkosten 20,00 € und MwSt
100 μL
Lieferung nach: Deutschland
Lieferung in 13 bis 20 Werktagen
 
EIF2S2 Reaktivität: Human, Maus, Ratte WB, IHC, IF Wirt: Kaninchen Polyclonal unconjugated
Produktnummer ABIN7073880
592,31 €
Zzgl. Versandkosten 20,00 € und MwSt
100 μL
Lieferung nach: Deutschland
Lieferung in 13 bis 20 Werktagen
 
ERICH3 Reaktivität: Human, Maus, Ratte IF, IHC, WB Wirt: Kaninchen Polyclonal unconjugated
Produktnummer ABIN7074073
592,31 €
Zzgl. Versandkosten 20,00 € und MwSt
100 μL
Lieferung nach: Deutschland
Lieferung in 13 bis 20 Werktagen
 
  • Typ Primary
    • Primary
  • Target
    • Histone 3 (H3)
    • tau
    • p53 (TP53)
    • EGFR
    • KIT
    • RAF1
    • Albumin (ALB)
    • NF-kB p65 (NFkBP65)
    • BAD
    • Estrogen Receptor alpha (ESR1)
    • AKT1
    • Tuberin (TSC2)
    • Histone H4 (HISTH4)
    • C-JUN (JUN)
    • FAK (PTK2)
    • ATF2
    • Bcl-2 (BCL2)
    • ABL1
    • RPS6KB1
    • TSC1
    • TNF alpha
    • NFKB1
    • IRS1
    • ErbB2/Her2
    • VEGFR2/CD309 (VEGFR2)
    • IKBKB
    • MEK1 (MAP2K1)
    • c-MYC (MYC)
    • ENOS (NOS3)
    • Androgen Receptor (AR)
    • beta Catenin (CATNB)
    • CDK1
    • Histone H2B
    • IL-6 (IL6)
    • SMAD2
    • TRKA (NTRK1)
    • APP
    • CREB1
    • CDKN1B
    • eIF4EBP1 (EIF4EBP1)
    • IL-1 beta (IL1B)
    • CDC25A
    • EGF
    • HSP27 (HSPB1)
    • Caspase 9 (CASP9)
    • CSF1R
    • FGFR1
    • FOXO1
    • GRIN2B
    • CHEK2
    Please use search to find more...
  • Anwendung
    • Western Blotting (WB)
    • ELISA
    • Immunohistochemistry (IHC)
    • Immunofluorescence (Paraffin-embedded Sections) (IF (p))
    • Immunofluorescence (Cultured Cells) (IF (cc))
    • Immunohistochemistry (Paraffin-embedded Sections) (IHC (p))
    • Immunofluorescence (IF)
    • Flow Cytometry (FACS)
    • Immunocytochemistry (ICC)
    • Immunoprecipitation (IP)
    • Immunohistochemistry (Frozen Sections) (IHC (fro))
    • Enzyme Immunoassay (EIA)
    • Immunofluorescence (fixed cells) (IF/ICC)
    • Dot Blot (DB)
    • Immunochromatography (IC)
    • Radioimmunoassay (RIA)
    • Immunohistochemistry (Formalin-fixed Paraffin-embedded Sections) (IHC (fp))
    • Immunodiffusion (ID)
    • Neutralization (Neut)
    • Chromatin Immunoprecipitation (ChIP)
    • Fluorescence Microscopy (FM)
    • Confocal Microscopy (CM)
    • Immunoelectrophoresis (IEP)
    • Live Cell Imaging (LCI)
    • Immunoassay (IA)
    • Proximity Ligation Assay (PLA)
    • Functional Studies (Func)
    • Blocking Antibody (Inhibition)
    • ChIP DNA-Sequencing (ChIP-seq)
    • Affinity Purification (AP)
    • Immunostaining (ISt)
    • Cellular Assay (CA)
    • FLISA
    • Chemiluminescence Immunoassay (CLIA)
    • Indirect Immunofluorescence Assay (IFA)
    • Immunoelectron Microscopy (IEM)
    • Immunohistochemistry (Whole Mount) (IHC (wm))
    • Immunolocalization (IL)
    • Radial Immunodiffusion (RID)
    • Immunohistochemistry (Formalin-fixed Sections) (IHC (f))
    • Multiplex Assay (MA)
    • Agglutination (AGG)
    • Haemagglutination (H)
    • ELISA (Capture)
    • Cytotoxicity Test (CyTox)
    • Immunodepletion (IDe)
    • Nephelometry (Neph)
    • Ouchterlony Double Diffusion (ODD)
    • Staining Methods (StM)
    • Gel Shift (GS)
    Please use search to find more...
  • Reaktivität
    • Human
    • Mouse
    • Rat
    • Cow
    • Dog
    • Rabbit
    • Horse
    • Guinea Pig
    • Pig
    • Monkey
    • Zebrafish (Danio rerio)
    • Chicken
    • Bat
    • Sheep
    • Hamster
    • Xenopus laevis
    • Goat
    • Saccharomyces cerevisiae
    • E. coli
    • Arabidopsis thaliana
    • Virus
    • Drosophila melanogaster
    • Plant
    • Bacteria
    • Various Species
    • Chemical
    • Cat
    • Others
    • Staphylococcus aureus
    • Chimpanzee
    • Human Immunodeficiency Virus (HIV)
    • Mammalian
    • Zea mays
    • Gibbon
    • Chlamydomonas reinhardtii
    • C. elegans
    • Aequorea victoria
    • Gorilla
    • Hepatitis C Virus (HCV)
    • Influenza A Virus
    • Fish
    • Tag
    • SARS Coronavirus-2 (SARS-CoV-2)
    • Frog
    • Barley
    • Avian
    • Nicotiana tabacum
    • Mycobacterium tuberculosis
    • Oryza sativa
    • Primate
    Please use search to find more...
  • In Publikationen zitiert
  • Abbildungen verfügbar
  • Independent Validation
  • Nur ohne Konservierungsmittel
  • Carrier free only
  • Detektionsmethode
    • Fluorometric
  • Wirt
    • Rabbit
    • Mouse
    • Goat
    • Sheep
    • Chicken
    • Guinea Pig
    • Human
    • Rat
    • HEK-293F Cells
    • Pig
    • Llama
    • Chicken eggs
    • Horse
    • Cow
    • Donkey
    • Dog
    • Hamster
    • Carp
    • Chicken egg
    • Human Cells
  • Klonalität Polyclonal
    • Polyclonal
    • Monoclonal
    • Chimeric
    • Bispecific
    • Multiclonal
  • Klon
    • PAb
    • Poly5164
    • IQF4-80
    • Poly21460
    • Poly5159
    • Poly5161
    • Poly5163
    • Poly5165
    • Poly5177
    • Poly5230
    • Polyclonal
    • RB06896
    • RB07990
    • RB08044
    • RB08125
    • RB11009
    • RB11143
    • RB11187
    • RB11265
    • RB11384
    • RB13331
    • RB13393
    • RB13894
    • RB13896
    • RB15204
    • RB15307
    • RB15321
    • RB15324
    • RB15325
    • RB15351
    • RB15362
    • RB15585
    • RB15973
    • RB16241
    • RB16245
    • RB16261
    • RB16573
    • RB16657
    • RB18941
    • RB18943
    • RB20219
    • RB24137
    • RB24303
    • RB25385
    • RB27685
    • RB27934
    • RB29255
    • RB30585
    • RB32160
    • RB32966
    Please use search to find more...
  • Bindungsspezifität
    • C-Term
    • N-Term
    • Internal Region
    • Center
    • Middle Region
    • AA 101-200
    • AA 1-100
    • AA 51-150
    • AA 1-30
    • AA 201-300
    • AA 151-250
    • AA 21-120
    • AA 301-400
    • AA 251-350
    • AA 1-50
    • AA 31-130
    • AA 401-500
    • AA 351-450
    • AA 501-600
    • AA 451-550
    • AA 121-220
    • AA 131-230
    • AA 1-300
    • AA 81-180
    • Extracellular
    • AA 61-160
    • AA 231-330
    • AA 1-80
    • AA 221-320
    • AA 41-140
    • AA 1-200
    • AA 161-260
    • AA 601-700
    • Extracellular Domain
    • AA 551-650
    • AA 701-800
    • AA 50-100
    • AA 331-430
    • AA 71-120
    • AA 35-84
    • AA 181-280
    • Intracellular
    • Cytoplasmic Domain
    • AA 51-100
    • AA 21-100
    • AA 141-240
    • AA 65-160
    • AA 150-200
    • AA 30-110
    • AA 651-750
    Please use search to find more...
  • Konjugat
    • Unkonjugiert
    • Biotin
    • FITC
    • HRP
    • PE
    • APC
    • Alexa Fluor 488
    • Alexa Fluor 647
    • Alexa Fluor 555
    • Alexa Fluor 594
    • Alexa Fluor 680
    • Alexa Fluor 750
    • Cy3
    • Cy5
    • AbBy Fluor® 594
    • Cy5.5
    • AbBy Fluor® 488
    • AbBy Fluor® 350
    • AbBy Fluor® 555
    • AbBy Fluor® 647
    • Cy7
    • AbBy Fluor® 750
    • AbBy Fluor® 680
    • PerCP
    • PE-Cy7
    • PE-Cy5
    • PE-Cy5.5
    • Magnetic Particles
    • Sepharose
    • Carboxyfluorescein (CFS)
    • Rhodamine
    • Atto 488
    • Atto 594
    • Alkaline Phosphatase (AP)
    • Atto 390
    • Texas Red (TR)
    • Peroxidase (POD)
    • CF®488A
    • CF®594
    • CF®640R
    • CF®405S
    • CF®568
    • CF®647
    • CF®740
    • DyLight 488
    • TRITC
    • DyLight 550
    • DyLight 650
    • DyLight 405
    • DyLight 680
    • Agarose Beads
  • Isotyp
    • IgG
    • Ig Fraction
    • IgY
    • IgG1
    • IgG kappa
    • IgM
    • IgG2a
    • IgG2b
    • IgG1 kappa
    • kappa
    • IgG3
    • IgG2
    • Ig
    • Ig Mix
    • IgG2b kappa
    • IgG3 kappa
    • IgG3b
  • Protein-Typ
    • Recombinant Antibody
  • Format
    • Liquid
    • Lyophilized
    • Frozen
    • Lyophilized or Liquid
  • Biologische Aktivität
    • Biologically Active
  • Fragment
    • F(ab')2 fragment
    • Fab fragment
    • single-domain Antibody (sdAb)
  • Grade
    • Verified
    • KO Validated
    • Recent
    • KD Validated
    • KO Validated, KD Validated
    • ChIP-seq Grade
    • Carrier-free
    • MALS verified
  • Hersteller
    • antibodies-online
    • Signalway
    • Abbexa
    • USBio
    • Aviva Systems Biology
    • Cohesion Biosciences
    • Acris
    • Boster Bio
    • Assay Biotechnology Company, Inc.
    • ProSci
    • ProteoGenix
    • Assaypro
    • Cloud-Clone
    • FabGennix
    • RayBiotech
    • NSJ Bioreagents
    • Covalab
    • Biomatik
    • Rockland
    • CUSABIO
    • Phoenix Europe
    • Alomone Labs
    • Agrisera
    • Angio-Proteomie
    • Abiocode
    • Wuhan Fine biotech
    • Elabscience
    • Synaptic Systems
    • Biotium
    • OriGene
    • Abeomics
    • Enogene Biotech
    • QED Bioscience
    • Active Motif
    • PROGEN
    • Immune Technology
    • AntiProt
    • Kamiya Biomedicals
    • ANTIGENES
    • Abcepta
    • Diagenode
    • Neuromics Antibodies
    • BioLegend
    • Antibodies Incorporated
    • BioAcademia
    • Columbia Biosciences
    • EnCor Biotechnology
    • Cambio
    • Torrey Pines
    • The native Antigen Company
    Please use search to find more...
Sie sind hier:
Chat with us!