Telefon:
+49 (0)241 95 163 153
Fax:
+49 (0)241 95 163 155
E-Mail:
orders@antikoerper-online.de

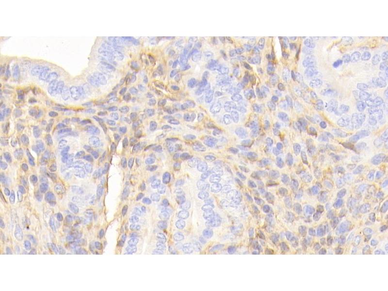
APOA1 Antikörper (AA 25-264)

Der Kaninchen Polyklonal anti-APOA1 Antikörper wird verwendet zum Nachweis von APOA1 in Proben von Maus. Er wurde validiert für WB, IHC, IP und ICC.
Produktnummer ABIN7429145
269,60 €
Zzgl. Versandkosten 20,00 € und MwSt
Lieferung nach: Deutschland
Lieferung in 11 bis 15 Werktagen

Kurzübersicht für APOA1 Antikörper (AA 25-264) (ABIN7429145)

Target

Alle APOA1 Antikörper anzeigen
APOA1 (Apolipoprotein A-I (APOA1))

Reaktivität

  • 127
  • 46
  • 24
  • 12
  • 12
  • 12
  • 4
  • 3
  • 2
  • 1
  • 1
  • 1
Maus

Wirt

  • 101
  • 58
  • 20
  • 6
  • 3
  • 3
  • 2
Kaninchen

Klonalität

  • 119
  • 73
Polyklonal

Konjugat

  • 96
  • 35
  • 15
  • 11
  • 8
  • 4
  • 3
  • 3
  • 3
  • 3
  • 3
  • 3
  • 2
  • 2
  • 1
  • 1
Dieser APOA1 Antikörper ist unkonjugiert

Applikation

  • 130
  • 80
  • 68
  • 41
  • 39
  • 20
  • 17
  • 12
  • 8
  • 8
  • 5
  • 5
  • 4
  • 2
  • 1
  • 1
  • 1
  • 1
  • 1
  • 1
  • 1
  • 1
  • 1
  • 1
  • 1
Western Blotting (WB), Immunohistochemistry (IHC), Immunoprecipitation (IP), Immunocytochemistry (ICC)
  • Bindungsspezifität

    • 20
    • 17
    • 9
    • 9
    • 6
    • 5
    • 4
    • 4
    • 3
    • 3
    • 2
    • 2
    • 1
    • 1
    • 1
    • 1
    • 1
    • 1
    AA 25-264

    Verwendungszweck

    Polyclonal Antibody to Apolipoprotein A1 (APOA1)

    Spezifität

    The antibody is a rabbit polyclonal antibody raised against APOA1. It has been selected for its ability to recognize APOA1 in immunohistochemical staining and western blotting.

    Aufreinigung

    Antigen-specific affinity chromatography followed by Protein A affinity chromatography

    Immunogen

    Recombinant Apolipoprotein A1 (APOA1) corresdonding to Asp25~Gln264 with N-terminal His Tag

    Isotyp

    IgG
  • Applikationshinweise

    Western blotting: 0.01-2 μg/mL,Immunohistochemistry: 5-20 μg/mL,Immunocytochemistry: 5-20 μg/mL,Optimal working dilutions must be determined by end user.

    Kommentare

    The thermal stability is described by the loss rate. The loss rate was determined by accelerated thermal degradation test, that is, incubate the protein at 37°C for 48h, and no obvious degradation and precipitation were observed. The loss rate is less than 5% within the expiration date under appropriate storage condition.

    Beschränkungen

    Nur für Forschungszwecke einsetzbar
  • Format

    Liquid

    Konzentration

    0.5 mg/mL

    Buffer

    0.01M PBS, pH 7.4, containing 0.05 % Proclin-300, 50 % glycerol.

    Konservierungsmittel

    ProClin

    Vorsichtsmaßnahmen

    This product contains ProClin: a POISONOUS AND HAZARDOUS SUBSTANCE which should be handled by trained staff only.

    Lagerung

    4 °C,-20 °C

    Informationen zur Lagerung

    Store at 4°C for frequent use. Stored at -20°C in a manual defrost freezer for two year without detectable loss of activity. Avoid repeated freeze-thaw cycles.

    Haltbarkeit

    24 months
  • Target

    APOA1 (Apolipoprotein A-I (APOA1))

    Andere Bezeichnung

    APOA1

    Hintergrund

    Apo-A1, ApoA-1 Milano, ProapoA-I, Proapolipoprotein A-I, Truncated apolipoprotein A-I

    UniProt

    Q00623

    Pathways

    Regulation of Lipid Metabolism by PPARalpha, Production of Molecular Mediator of Immune Response, Lipid Metabolism
Sie sind hier:
Chat with us!