Telefon:
+49 (0)241 95 163 153
Fax:
+49 (0)241 95 163 155
E-Mail:
orders@antikoerper-online.de

Fibulin 5 Antikörper

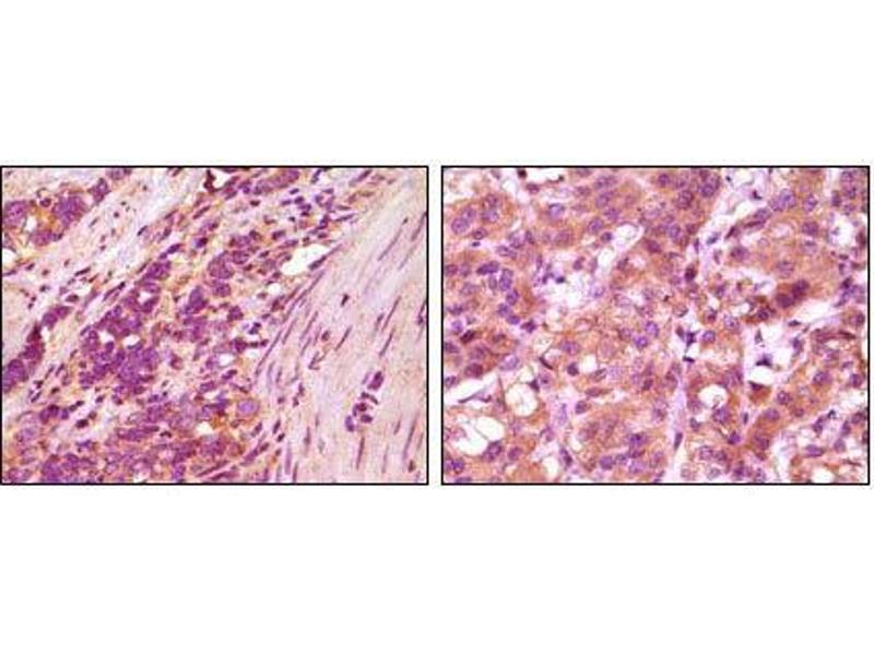
Zitiert in 4+ Publikationen. Der Maus Monoklonal anti-Fibulin 5 Antikörper (Klon 3F10A5) (ABIN969144) detektiert spezifisch Fibulin 5 in IHC und ELISA. Dieser Antikörper reagiert spezifisch mit Proben aus Human.
Produktnummer ABIN969144
676,34 €
Zzgl. Versandkosten 20,00 € und MwSt
100 μL
Lieferung nach: Deutschland
Lieferung in 7 bis 10 Werktagen

Kurzübersicht für Fibulin 5 Antikörper (ABIN969144)

Target

Alle Fibulin 5 (FBLN5) Antikörper anzeigen
Fibulin 5 (FBLN5)

Reaktivität

  • 66
  • 37
  • 28
  • 1
Human

Wirt

  • 64
  • 8
  • 1
Maus

Klonalität

  • 61
  • 14
Monoklonal

Konjugat

  • 35
  • 7
  • 5
  • 3
  • 2
  • 2
  • 2
  • 2
  • 2
  • 2
  • 1
  • 1
  • 1
  • 1
  • 1
  • 1
  • 1
  • 1
  • 1
  • 1
  • 1
  • 1
  • 1
Dieser Fibulin 5 Antikörper ist unkonjugiert

Applikation

  • 56
  • 27
  • 15
  • 7
  • 5
  • 4
  • 4
  • 1
  • 1
Immunohistochemistry (IHC), ELISA

Klon

3F10A5
  • Verwendungszweck

    Fibulin 5 Antibody

    Aufreinigung

    Ascitic fluid

    Immunogen

    Purified recombinant fragment of Fibulin 5 expressed in E. Coli.

    Isotyp

    IgG1
  • Applikationshinweise

    ELISA: 1/10000

    Beschränkungen

    Nur für Forschungszwecke einsetzbar
  • Format

    Liquid

    Buffer

    Ascitic fluid containing 0.03 % sodium azide.

    Konservierungsmittel

    Sodium azide

    Vorsichtsmaßnahmen

    This product contains Sodium azide: a POISONOUS AND HAZARDOUS SUBSTANCE which should be handled by trained staff only.

    Lagerung

    4 °C,-20 °C

    Informationen zur Lagerung

    Store at 4°C short term. Aliquot and store at -20°C long term. Avoid freeze/thaw cycles.
  • Wen, Hochholdinger, Sauer, Bruce, Schnable: "The roothairless1 gene of maize encodes a homolog of sec3, which is involved in polar exocytosis." in: Plant physiology, Vol. 138, Issue 3, pp. 1637-43, (2005) (PubMed).

    Kadoya, Sasaki, Kostka, Timpl, Matsuzaki, Kumagai, Sakai, Nishiyama, Amano: "Fibulin-5 deposition in human skin: decrease with ageing and ultraviolet B exposure and increase in solar elastosis." in: The British journal of dermatology, Vol. 153, Issue 3, pp. 607-12, (2005) (PubMed).

    Wang, LeMaire, Chen, Carter, Shen, Gan, Bartsch, Wilks, Utama, Ou, Thompson, Coselli, Wang: "Decreased expression of fibulin-5 correlates with reduced elastin in thoracic aortic dissection." in: Surgery, Vol. 138, Issue 2, pp. 352-9, (2005) (PubMed).

    Lee, Roy, Mogford, Schiemann, Mustoe: "Fibulin-5 promotes wound healing in vivo." in: Journal of the American College of Surgeons, Vol. 199, Issue 3, pp. 403-10, (2004) (PubMed).

  • Target

    Fibulin 5 (FBLN5)

    Andere Bezeichnung

    Fibulin 5

    Hintergrund

    Fibulin 5(FBLN5), with 448-amino acid protein (about 50 kDa), is a recently discovered multifunctional extracellular matrix protein that mediates endothelial cell adhesion through integrin ligation, regulates cell growth and motility in a context-specific manner, and prevents elastinopathy in vivo. Fibulin-5 is abundantly expressed in great vessels and cardiac valves during embryogenesis, and in many adult tissues including the aorta, lung, uterus and skin, all of which contain abundant elastic fibres. Decreased fibulin-5 may contribute to the pathogenesis of aortic dissection by impairing elastic fiber assembly. Fibulin-5 is also a good marker of skin ageing and that the earlier loss of fibulin-5 may involve age-dependent changes in other elastic fibre components.

    UniProt

    Q9UBX5

    Pathways

    SARS-CoV-2 Protein Interaktom
Sie sind hier:
Chat with us!