Telefon:
+49 (0)241 95 163 153
Fax:
+49 (0)241 95 163 155
E-Mail:
orders@antikoerper-online.de

CD276 Antikörper

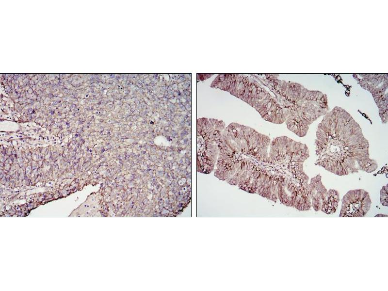
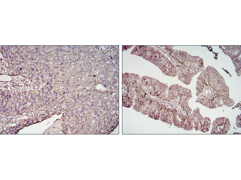
Zitiert in 2+ Publikationen. Der Maus Monoklonal anti-CD276 Antikörper (Klon 6A1) (ABIN969018) detektiert spezifisch CD276 in ELISA, FACS und IHC. Dieser Antikörper reagiert spezifisch mit Proben aus Human.
Produktnummer ABIN969018
602,28 €
Zzgl. Versandkosten 20,00 € und MwSt
100 μL
Lieferung nach: Deutschland
Lieferung in 7 bis 10 Werktagen

Kurzübersicht für CD276 Antikörper (ABIN969018)

Target

Alle CD276 Antikörper anzeigen
CD276

Reaktivität

  • 109
  • 53
  • 15
  • 5
  • 5
  • 3
  • 2
  • 2
  • 1
Human

Wirt

  • 64
  • 31
  • 21
  • 9
  • 1
  • 1
Maus

Klonalität

  • 81
  • 45
  • 1
Monoklonal

Konjugat

  • 66
  • 10
  • 7
  • 5
  • 5
  • 4
  • 2
  • 2
  • 2
  • 2
  • 2
  • 2
  • 2
  • 1
  • 1
  • 1
  • 1
  • 1
  • 1
  • 1
  • 1
  • 1
  • 1
  • 1
  • 1
  • 1
  • 1
  • 1
  • 1
Dieser CD276 Antikörper ist unkonjugiert

Applikation

  • 66
  • 32
  • 27
  • 26
  • 19
  • 14
  • 13
  • 11
  • 8
  • 8
  • 4
  • 2
  • 2
  • 1
  • 1
  • 1
ELISA, Flow Cytometry (FACS), Immunohistochemistry (IHC)

Klon

6A1
  • Verwendungszweck

    CD276 Antibody

    Aufreinigung

    Ascitic fluid

    Immunogen

    Purified recombinant fragment of human CD276 expressed in E. Coli.

    Isotyp

    IgG1
  • Applikationshinweise

    ELISA: 1/10000

    FCM: 1/200 - 1/400

    Beschränkungen

    Nur für Forschungszwecke einsetzbar
  • Format

    Liquid

    Buffer

    Ascitic fluid containing 0.03 % sodium azide.

    Konservierungsmittel

    Sodium azide

    Vorsichtsmaßnahmen

    This product contains Sodium azide: a POISONOUS AND HAZARDOUS SUBSTANCE which should be handled by trained staff only.

    Lagerung

    4 °C,-20 °C

    Informationen zur Lagerung

    Store at 4°C short term. Aliquot and store at -20°C long term. Avoid freeze/thaw cycles.
  • Zhang, Dong, Xu, Yu, Zhang: "B7-H3: another molecule marker for Mo-DCs?" in: Cellular & molecular immunology, Vol. 2, Issue 4, pp. 307-11, (2005) (PubMed).

    Gerhard, Wagner, Feingold, Shenmen, Grouse, Schuler, Klein, Old, Rasooly, Good, Guyer, Peck, Derge, Lipman, Collins, Jang, Sherry, Feolo, Misquitta, Lee, Rotmistrovsky, Greenhut, Schaefer, Buetow et al.: "The status, quality, and expansion of the NIH full-length cDNA project: the Mammalian Gene Collection (MGC). ..." in: Genome research, Vol. 14, Issue 10B, pp. 2121-7, (2004) (PubMed).

  • Target

    CD276

    Andere Bezeichnung

    CD276

    Hintergrund

    Costimulatory B7 Molecules (e.g., B7-1, or CD80, MIM 112203) signal through CD28 (MIM 186760) family molecules such as CD28, CTLA4 (MIM 123890), and ICOS (MIM 604558). May participate in the regulation of T-cell-mediated immune response. May play a protective role in tumor cells by inhibiting natural-killer mediated cell lysis as well as a role of marker for detection of neuroblastoma cells. May be involved in the development of acute and chronic transplant rejection and in the regulation of lymphocytic activity at mucosal surfaces. Could also play a key role in providing the placenta and fetus with a suitable immunological environment throughout pregnancy. Both isoform 1 and isoform 2 appear to be redundant in their ability to modulate CD4 T-cell responses. Isoform 2 is shown to enhance the induction of cytotoxic T-cells and selectively stimulates interferon gamma production in the presence of T-cell receptor signaling.

    Molekulargewicht

    57 kDa

    UniProt

    Q5ZPR3

    Pathways

    Cancer Immune Checkpoints
Sie sind hier:
Chat with us!