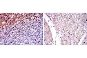
CD15 Antikörper
Kurzübersicht für CD15 Antikörper (ABIN969013)
Target
Alle CD15 (FUT4) Antikörper anzeigenReaktivität
Wirt
Klonalität
Konjugat
Applikation
Klon
-
-
Verwendungszweck
- CD15 Antibody
-
Aufreinigung
- Ascitic fluid
-
Immunogen
- Synthesized peptide of human CD15.
-
Isotyp
- IgG1
-
-
-
-
Applikationshinweise
-
ELISA: 1/10000
ICC: 1/200 - 1/1000
-
Beschränkungen
- Nur für Forschungszwecke einsetzbar
-
-
-
Format
- Liquid
-
Buffer
- Ascitic fluid containing 0.03 % sodium azide.
-
Konservierungsmittel
- Sodium azide
-
Vorsichtsmaßnahmen
- This product contains Sodium azide: a POISONOUS AND HAZARDOUS SUBSTANCE which should be handled by trained staff only.
-
Lagerung
- 4 °C,-20 °C
-
Informationen zur Lagerung
- Store at 4°C short term. Aliquot and store at -20°C long term. Avoid freeze/thaw cycles.
-
-
-
: "[Prognostic Analysis of ERCC1, RRM1 and p53 Expressions in Postoperative Stage I-II Lung Cancer.]." in: Zhongguo fei ai za zhi = Chinese journal of lung cancer, Vol. 12, Issue 5, pp. 387-95, (2010) (PubMed).
: "Suppression of FUT1/FUT4 expression by siRNA inhibits tumor growth." in: Biochimica et biophysica acta, Vol. 1783, Issue 2, pp. 287-96, (2008) (PubMed).
-
-
- CD15 (FUT4) (Fucosyltransferase 4 (Alpha (1,3) Fucosyltransferase, Myeloid-Specific) (FUT4))
-
Andere Bezeichnung
- CD15
-
Hintergrund
- The product of this gene transfers fucose to N-acetyllactosamine polysaccharides to generate fucosylated carbohydrate structures. It catalyzes the synthesis of the non-sialylated antigen, Lewis x (CD15).
-
Molekulargewicht
- 59 kDa
-
Gen-ID
- 2526
-
UniProt
- P22083
Target
-