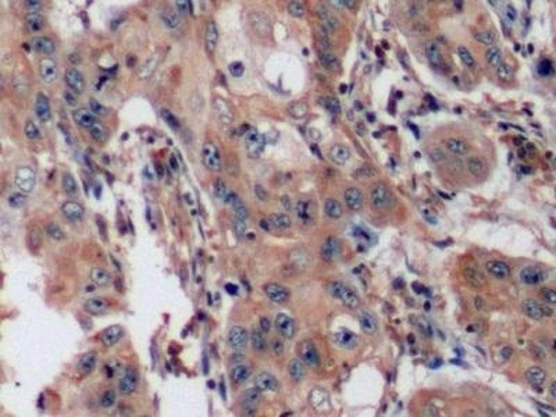
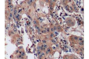
CD15 Antikörper (AA 264-497)
Kurzübersicht für CD15 Antikörper (AA 264-497) (ABIN7433084)
Target
Alle CD15 (FUT4) Antikörper anzeigenReaktivität
Wirt
Klonalität
Konjugat
Applikation
-
-
Bindungsspezifität
- AA 264-497
-
Verwendungszweck
- Polyclonal Antibody to Cluster Of Differentiation 15 (CD15)
-
Spezifität
- The antibody is a rabbit polyclonal antibody raised against CD15. It has been selected for its ability to recognize CD15 in immunohistochemical staining and western blotting.
-
Kreuzreaktivität
- Maus, Ratte
-
Aufreinigung
- Antigen-specific affinity chromatography followed by Protein A affinity chromatography
-
Immunogen
- Recombinant Cluster Of Differentiation 15 (CD15) corresdonding to Asp264~Thr497 with N-terminal His Tag
-
Isotyp
- IgG
-
-
-
-
Applikationshinweise
- Western blotting: 0.01-2 μg/mL,Immunohistochemistry: 5-20 μg/mL,Immunocytochemistry: 5-20 μg/mL,Optimal working dilutions must be determined by end user.
-
Kommentare
-
The thermal stability is described by the loss rate. The loss rate was determined by accelerated thermal degradation test, that is, incubate the protein at 37°C for 48h, and no obvious degradation and precipitation were observed. The loss rate is less than 5% within the expiration date under appropriate storage condition.
-
Beschränkungen
- Nur für Forschungszwecke einsetzbar
-
-
-
Format
- Liquid
-
Konzentration
- 0.5 mg/mL
-
Buffer
- PBS, pH 7.4, containing 0.02 % Sodium azide, 50 % glycerol.
-
Konservierungsmittel
- Sodium azide
-
Vorsichtsmaßnahmen
- This product contains Sodium azide: a POISONOUS AND HAZARDOUS SUBSTANCE which should be handled by trained staff only.
-
Lagerung
- 4 °C,-20 °C
-
Informationen zur Lagerung
- Store at 4°C for frequent use. Stored at -20°C in a manual defrost freezer for two year without detectable loss of activity. Avoid repeated freeze-thaw cycles.
-
Haltbarkeit
- 24 months
-
-
- CD15 (FUT4) (Fucosyltransferase 4 (Alpha (1,3) Fucosyltransferase, Myeloid-Specific) (FUT4))
-
Andere Bezeichnung
- CD15
-
Hintergrund
- FUT4, 3FAL, FCT3A, ELFT, SSEA-1, LeX, Lewis x, Fucosyltransferase 4, Stage Specific Embryonic Antigen 1, 3-Fucosyl-N-Acetyl Lactosamine, Alpha(1,3)Fucosyltransferase,Myeloid-Specific
-
UniProt
- P22083
Target
-