×
Aktivieren Sie Javascript in Ihrem Browser, um unsere Webseite optimal zu nutzen.
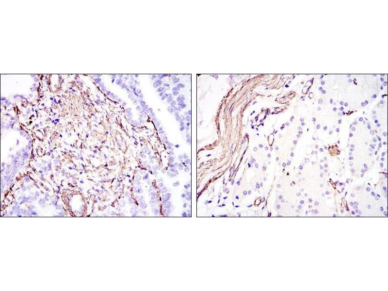
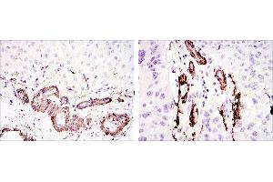
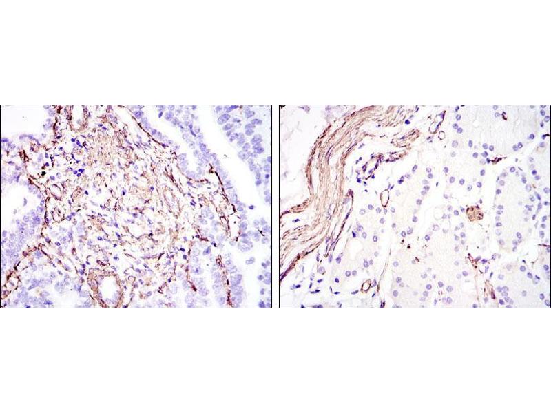
Smooth Muscle Actin Antikörper
Zitiert in 2+ Publikationen.
Der Maus Monoklonal anti-Smooth Muscle Actin Antikörper (Klon 4F4) (ABIN968946) detektiert spezifisch Smooth Muscle Actin in WB, IHC und ELISA.
Dieser Antikörper reagiert spezifisch mit Proben aus Human und Affe.
Produktnummer ABIN968946
657,84 €
Zzgl. Versandkosten 20,00 € und MwSt
Lieferung in 7 bis 10 Werktagen
Kurzübersicht für Smooth Muscle Actin Antikörper (ABIN968946)
Target
Alle Smooth Muscle Actin (ACTA2) Antikörper anzeigen
Smooth Muscle Actin (ACTA2)
(Actin, alpha 2, Smooth Muscle, Aorta (ACTA2))
Reaktivität
Alle Reaktivitäten für Smooth Muscle Actin Antikörper
Human, Affe
Wirt
Alle Wirte für Smooth Muscle Actin Antikörper
Maus
Klonalität
Alle Klonalitäten für Smooth Muscle Actin Antikörper
Monoklonal
Konjugat
Alle Konjugate für Smooth Muscle Actin Antikörper
Dieser Smooth Muscle Actin Antikörper ist unkonjugiert
Applikation
Alle Applikationen für Smooth Muscle Actin Antikörper
Western Blotting (WB), Immunohistochemistry (IHC), ELISA
Klon
4F4
Produktdetails anti-Smooth Muscle Actin Antikörper
(ausblenden)
Verwendungszweck
ACTA2 Antibody
Aufreinigung
Ascitic fluid
Immunogen
Purified recombinant fragment of human ACTA2 expressed in E. Coli.
Isotyp
IgG1
Alternativen
(anzeigen)
anti-Actin, alpha 2, Smooth Muscle, Aorta (ACTA2) (N-Term) antibody
ACTA2
Reaktivität: Human, Ratte, Maus, Rind (Kuh)
WB, IHC, IF, ICC, ELISA, IP
Wirt: Kaninchen
Polyclonal
unconjugated
anti-Actin, alpha 2, Smooth Muscle, Aorta (ACTA2) antibody
ACTA2
Reaktivität: Human, Ratte, Maus, Affe
WB, IHC, FACS, ICC, ELISA
Wirt: Maus
Monoclonal
4A4
unconjugated
Anwendungsinformationen
(ausblenden)
Applikationshinweise
ELISA: 1/10000
Beschränkungen
Nur für Forschungszwecke einsetzbar
Handhabung
(ausblenden)
Format
Liquid
Buffer
Ascitic fluid containing 0.03 % sodium azide.
Konservierungsmittel
Sodium azide
Vorsichtsmaßnahmen
This product contains Sodium azide: a POISONOUS AND HAZARDOUS SUBSTANCE which should be handled by trained staff only.
Lagerung
4 °C,-20 °C
Informationen zur Lagerung
Store at 4°C short term. Aliquot and store at -20°C long term. Avoid freeze/thaw cycles.
Referenzen für anti-Smooth Muscle Actin Antikörper (ABIN968946)
(ausblenden)
Guo, Pannu, Tran-Fadulu, Papke, Yu, Avidan, Bourgeois, Estrera, Safi, Sparks, Amor, Ades, McConnell, Willoughby, Abuelo, Willing, Lewis, Kim, Scherer, Tung, Ahn, Buja, Raman, Shete, Milewicz : "Mutations in smooth muscle alpha-actin (ACTA2) lead to thoracic aortic aneurysms and dissections. " in: Nature genetics , Vol. 39 , Issue 12 , pp. 1488-93 , (2007 ) (PubMed ).
Salas, Bartoli, Deville, Gaudart, Fina, Calisti, Bollini, Curvale, Gentet, Duffaud, Figarella-Branger, Bouvier : "Ezrin and alpha-smooth muscle actin are immunohistochemical prognostic markers in conventional osteosarcomas. " in: Virchows Archiv : an international journal of pathology , Vol. 451 , Issue 6 , pp. 999-1007 , (2007 ) (PubMed ).
Details zu Smooth Muscle Actin
(ausblenden)
Target
Smooth Muscle Actin (ACTA2)
(Actin, alpha 2, Smooth Muscle, Aorta (ACTA2))
Andere Bezeichnung
ACTA2
Hintergrund
Actin, alpha 2, smooth muscle, aorta, major constituent of thin filaments.
Molekulargewicht
42 kDa
Gen-ID
59
UniProt
P62736
Pathways
Myometrial Relaxation and Contraction , Skeletal Muscle Fiber Development
Zuletzt angesehen
(ausblenden)
Chat with us , powered by LiveChat