ELAPOR1 Antikörper (N-Term)
Kurzübersicht für ELAPOR1 Antikörper (N-Term) (ABIN960788)
Target
Alle ELAPOR1 Antikörper anzeigenReaktivität
Wirt
Klonalität
Konjugat
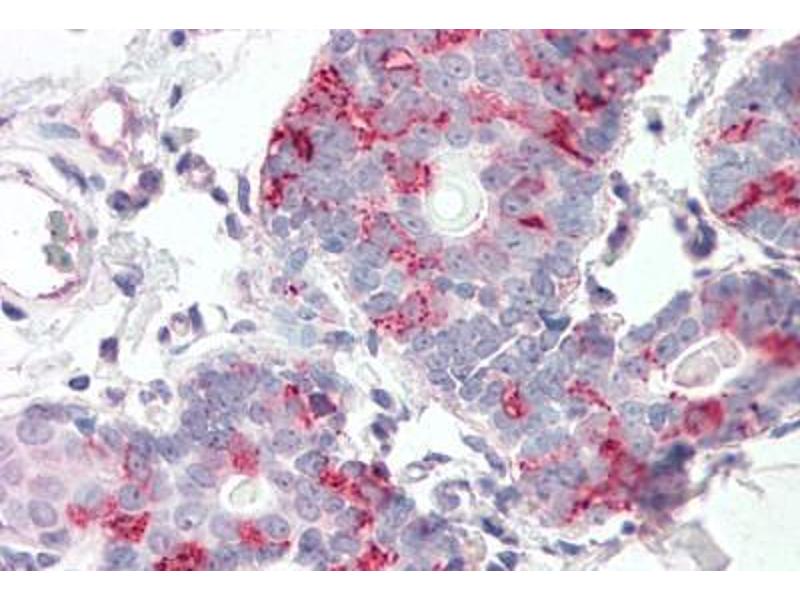
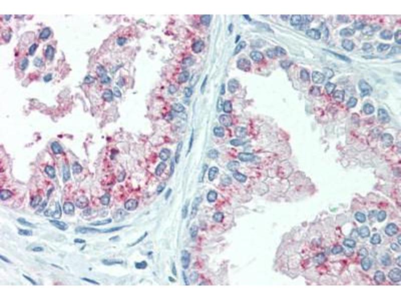
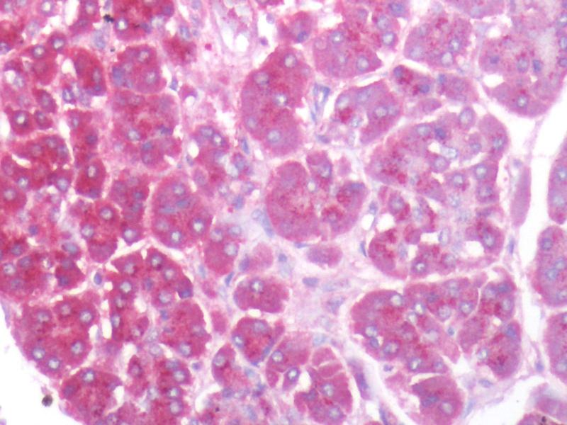
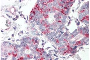
Applikation
-
-
Bindungsspezifität
- N-Term
-
Spezifität
- Human KIAA1324. BLAST analysis of the peptide immunogen showed no homology with other human proteins.
-
Kreuzreaktivität
- Pferd, Kaninchen
-
Homologie
- Percent identity with other species by BLAST analysis: Human, Gorilla, Monkey, Panda, Horse, Rabbit (100%) Marmoset, Mouse, Elephant (95%) Bat, Pig (89%).
-
Aufreinigung
- Immunoaffinity purified
-
Immunogen
-
Synthetic 19 amino acid peptide from N-terminus of human KIAA1324. Percent identity with other species by BLAST analysis: Human, Gorilla, Monkey, Panda, Horse, Rabbit (100%), Marmoset, Mouse, Elephant (95%), Bat, Pig (89%).
Type of Immunogen: Synthetic peptide
-
-
-
-
Applikationshinweise
- Approved: IHC, IHC-P (5 - 10 μg/mL)
-
Kommentare
-
Target Species of Antibody: Human
-
Beschränkungen
- Nur für Forschungszwecke einsetzbar
-
-
-
Format
- Liquid
-
Konzentration
- Lot specific
-
Buffer
- PBS, less than 0.1 % sodium azide.
-
Konservierungsmittel
- Sodium azide
-
Vorsichtsmaßnahmen
- This product contains Sodium azide: a POISONOUS AND HAZARDOUS SUBSTANCE which should be handled by trained staff only.
-
Lagerung
- 4 °C,-20 °C
-
Informationen zur Lagerung
- Aliquot and store undiluted at -20°C or below for up to 1 year. Can be stored undiluted at 4°C for up to 1 month. Avoid freeze-thaw cycles.
-
Haltbarkeit
- 12 months
-
-
- ELAPOR1 (Endosome/Lysosome-associated Apoptosis and Autophagy Regulator 1 (ELAPOR1))
-
Andere Bezeichnung
- KIAA1324 / Maba1
-
Hintergrund
-
Name/Gene ID: KIAA1324
Synonyms: KIAA1324, EIG121, Estrogen induced gene 121, Maba1, RP11-352P4.1, UPF0577 protein KIAA1324 -
Gen-ID
- 57535
Target
-