ELAPOR1 Antikörper
Kurzübersicht für ELAPOR1 Antikörper (ABIN7073822)
Target
Alle ELAPOR1 Antikörper anzeigenReaktivität
Wirt
Klonalität
Konjugat
Applikation
-
-
Kreuzreaktivität
- Human
-
Aufreinigung
- Affinity purification
-
Immunogen
- Recombinant protein corresponding to Mouse Estrogen-induced gene 121 protein
-
-
-
-
Applikationshinweise
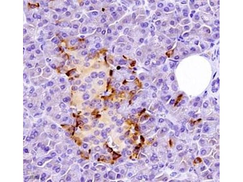
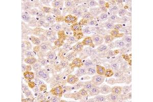
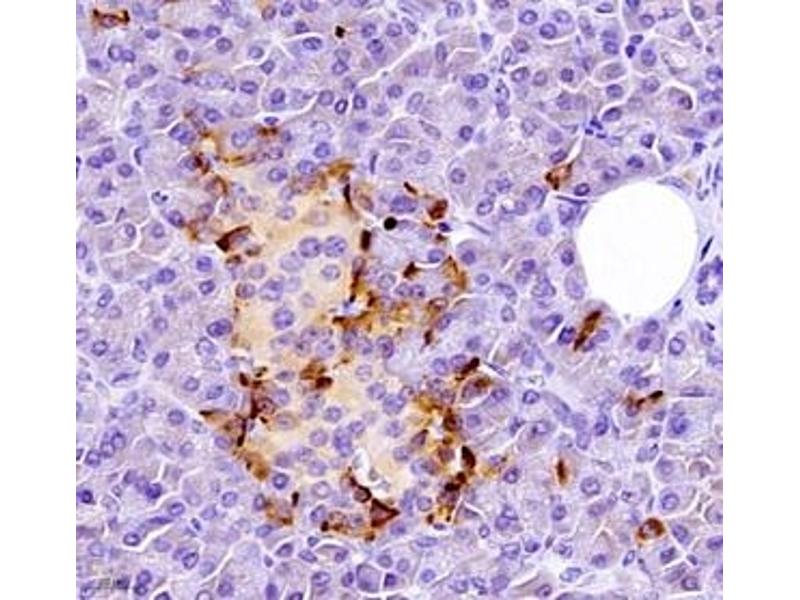
- IHC/IF (H,M) 1:2500-1:10000
-
Beschränkungen
- Nur für Forschungszwecke einsetzbar
-
-
-
Format
- Liquid
-
Buffer
- PBS, pH 7.4, 0.02 % sodium azide
-
Konservierungsmittel
- Sodium azide
-
Vorsichtsmaßnahmen
- This product contains Sodium azide: a POISONOUS AND HAZARDOUS SUBSTANCE which should be handled by trained staff only.
-
Lagerung
- -20 °C
-
-
- ELAPOR1 (Endosome/Lysosome-associated Apoptosis and Autophagy Regulator 1 (ELAPOR1))
-
Andere Bezeichnung
- Estrogen-induced gene 121 protein
-
Hintergrund
- May protect cells from cell death by inducing cytosolic vacuolization and upregulating the autophagy pathway. May play a role in apoptosis and cell proliferation through its interaction with HSPA5.
-
Gen-ID
- 229722
-
NCBI Accession
- NP_001028476
-
UniProt
- A2AFS3
Target
-