Telefon:
+49 (0)241 95 163 153
Fax:
+49 (0)241 95 163 155
E-Mail:
orders@antikoerper-online.de

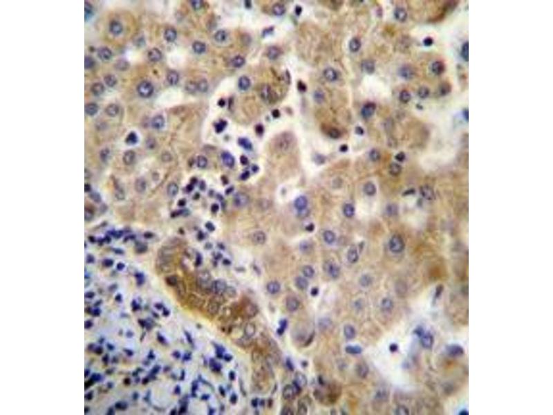
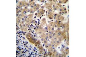
LIN7C Antikörper (C-Term)

Dieser Kaninchen Polyklonal Antikörper detektiert spezifisch LIN7C in WB, IHC (p) und EIA. Es zeigt Reaktivität gegenüber Proben von Human.
Produktnummer ABIN953176
870,77 €
Zzgl. Versandkosten 20,00 € und MwSt
0.4 mL
Lieferung nach: Deutschland
Lieferung in 16 Werktagen

Kurzübersicht für LIN7C Antikörper (C-Term) (ABIN953176)

Target

Alle LIN7C Antikörper anzeigen
LIN7C (Lin-7 Homolog C (LIN7C))

Reaktivität

  • 32
  • 7
  • 6
  • 3
  • 3
  • 3
  • 3
  • 3
  • 3
  • 2
  • 2
  • 2
  • 2
  • 2
  • 1
Human

Wirt

  • 33
Kaninchen

Klonalität

  • 33
Polyklonal

Konjugat

  • 14
  • 2
  • 2
  • 2
  • 1
  • 1
  • 1
  • 1
  • 1
  • 1
  • 1
  • 1
  • 1
  • 1
  • 1
  • 1
  • 1
Dieser LIN7C Antikörper ist unkonjugiert

Applikation

  • 33
  • 13
  • 13
  • 13
  • 12
  • 7
  • 3
  • 1
  • 1
Western Blotting (WB), Immunohistochemistry (Paraffin-embedded Sections) (IHC (p)), Enzyme Immunoassay (EIA)
  • Bindungsspezifität

    • 15
    • 8
    • 2
    • 2
    • 2
    • 1
    • 1
    • 1
    • 1
    AA 175-197, C-Term

    Spezifität

    This antibody recognizes Human LIN7C (C-term).

    Aufreinigung

    Protein A column, followed by peptide affinity purification

    Immunogen

    KLH conjugated synthetic peptide between 175-197 amino acids from the C-terminal region of Human LIN7C.

    Isotyp

    Ig Fraction
  • Applikationshinweise

    Optimal working dilution should be determined by the investigator.

    Beschränkungen

    Nur für Forschungszwecke einsetzbar
  • Format

    Liquid

    Konzentration

    0.25 mg/mL

    Buffer

    PBS containing 0.09 % (W/V) Sodium Azide as preservative

    Konservierungsmittel

    Sodium azide

    Vorsichtsmaßnahmen

    This product contains sodium azide: a POISONOUS AND HAZARDOUS SUBSTANCE which should be handled by trained staff only.

    Handhabung

    Avoid repeated freezing and thawing.

    Lagerung

    4 °C/-20 °C

    Informationen zur Lagerung

    Store undiluted at 2-8 °C for one month or (in aliquots) at -20 °C for longer.
  • Target

    LIN7C (Lin-7 Homolog C (LIN7C))

    Andere Bezeichnung

    LIN7C

    Hintergrund

    LIN7C plays a role in establishing and maintaining the asymmetric distribution of channels and receptors at the plasma membrane of polarized cells. Forms membrane-associated multiprotein complexes that may regulate delivery and recycling of proteins to the correct membrane domains. The tripartite complex composed of LIN7 (LIN7A, LIN7B or LIN7C), CASK and APBA1 may have the potential to couple synaptic vesicle exocytosis to cell adhesion in brain. Ensures the proper localization of GRIN2B (subunit 2B of the NMDA receptor) to neuronal postsynaptic density and may function in localizing synaptic vesicles at synapses where it is recruited by beta-catenin and cadherin. Required to localize Kir2 channels, GABA transporter (SLC6A12) and EGFR/ERBB1, ERBB2, ERBB3 and ERBB4 to the basolateral membrane of epithelial cells.Synonyms: LIN7C, Lin-7 homolog C, Lin-7C, MALS-3, MALS3, Mammalian lin-seven protein 3, VELI3, Veli-3 protein, Vertebrate lin-7 homolog 3

    Molekulargewicht

    21834 Da

    Gen-ID

    55327

    NCBI Accession

    NP_060832

    Pathways

    Synaptic Membrane
Sie sind hier:
Chat with us!