Telefon:
+49 (0)241 95 163 153
Fax:
+49 (0)241 95 163 155
E-Mail:
orders@antikoerper-online.de

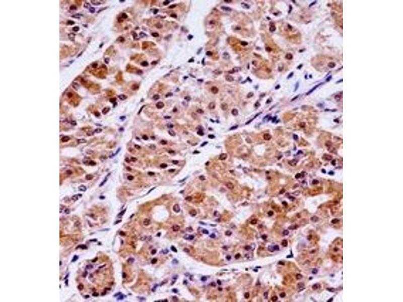
Kallikrein 15 Antikörper (Middle Region)

Der Kaninchen Polyklonal anti-Kallikrein 15 Antikörper wird verwendet zum Nachweis von Kallikrein 15 in Proben von Human. Er wurde validiert für WB, IHC (p) und EIA.
Produktnummer ABIN953102
870,77 €
Zzgl. Versandkosten 20,00 € und MwSt
0.4 mL
Lieferung nach: Deutschland
Lieferung in 16 Werktagen

Kurzübersicht für Kallikrein 15 Antikörper (Middle Region) (ABIN953102)

Target

Alle Kallikrein 15 (KLK15) Antikörper anzeigen
Kallikrein 15 (KLK15) (Kallikrein-Related Peptidase 15 (KLK15))

Reaktivität

  • 36
  • 2
  • 1
Human

Wirt

  • 33
  • 2
  • 2
Kaninchen

Klonalität

  • 36
  • 1
Polyklonal

Konjugat

  • 19
  • 3
  • 2
  • 2
  • 2
  • 2
  • 1
  • 1
  • 1
  • 1
  • 1
  • 1
  • 1
Dieser Kallikrein 15 Antikörper ist unkonjugiert

Applikation

  • 25
  • 16
  • 14
  • 5
  • 4
  • 3
  • 2
  • 2
  • 2
  • 2
  • 1
Western Blotting (WB), Immunohistochemistry (Paraffin-embedded Sections) (IHC (p)), Enzyme Immunoassay (EIA)
  • Bindungsspezifität

    • 7
    • 6
    • 4
    • 3
    • 3
    • 3
    • 2
    • 1
    • 1
    • 1
    • 1
    AA 79-106, Middle Region

    Spezifität

    This antibody recognizes Human KLK15 / Kallikrein-15 (Center).

    Aufreinigung

    Protein A column, followed by peptide affinity purification

    Immunogen

    KLH conjugated synthetic peptide between 79-106 amino acids from the Central region of Human KLK15 / Kallikrein-15

    Isotyp

    Ig Fraction
  • Applikationshinweise

    Optimal working dilution should be determined by the investigator.

    Beschränkungen

    Nur für Forschungszwecke einsetzbar
  • Format

    Liquid

    Konzentration

    0.25 mg/mL

    Buffer

    PBS containing 0.09 % (W/V) Sodium Azide as preservative

    Konservierungsmittel

    Sodium azide

    Vorsichtsmaßnahmen

    This product contains sodium azide: a POISONOUS AND HAZARDOUS SUBSTANCE which should be handled by trained staff only.

    Handhabung

    Avoid repeated freezing and thawing.

    Lagerung

    4 °C/-20 °C

    Informationen zur Lagerung

    Store undiluted at 2-8 °C for one month or (in aliquots) at -20 °C for longer.
  • Target

    Kallikrein 15 (KLK15) (Kallikrein-Related Peptidase 15 (KLK15))

    Andere Bezeichnung

    KLK15 / Kallikrein-15

    Hintergrund

    Kallikreins are a subgroup of serine proteases having diverse physiological functions. Growing evidence suggests that many kallikreins are implicated in carcinogenesis and some have potential as novel cancer and other disease biomarkers. This gene is one of the fifteen kallikrein subfamily members located in a cluster on chromosome 19. In prostate cancer, this gene has increased expression, which indicates its possible use as a diagnostic or prognostic marker for prostate cancer. The gene contains multiple polyadenylation sites and alternative splicing results in multiple transcript variants encoding distinct isoforms.Synonyms: ACO protease

    Molekulargewicht

    18kd

    Gen-ID

    55554

    NCBI Accession

    NP_059979

    Pathways

    Komplementsystem
Sie sind hier:
Chat with us!