Telefon:
+49 (0)241 95 163 153
Fax:
+49 (0)241 95 163 155
E-Mail:
orders@antikoerper-online.de

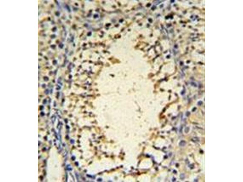
IMP3 Antikörper (C-Term)

Dieser Kaninchen Polyklonal Antikörper detektiert spezifisch IMP3 in WB, FACS, IHC (p) und EIA. Es zeigt Reaktivität gegenüber Proben von Human.
Produktnummer ABIN952891
870,77 €
Zzgl. Versandkosten 20,00 € und MwSt
0.4 mL
Lieferung nach: Deutschland
Lieferung in 16 Werktagen

Kurzübersicht für IMP3 Antikörper (C-Term) (ABIN952891)

Target

Alle IMP3 Antikörper anzeigen
IMP3 (IMP3, U3 Small Nucleolar Ribonucleoprotein (IMP3))

Reaktivität

  • 45
  • 42
  • 21
  • 2
  • 2
  • 2
  • 2
  • 2
  • 1
  • 1
  • 1
  • 1
Human

Wirt

  • 51
  • 5
  • 1
Kaninchen

Klonalität

  • 43
  • 14
Polyklonal

Konjugat

  • 22
  • 4
  • 2
  • 2
  • 2
  • 2
  • 2
  • 2
  • 2
  • 2
  • 1
  • 1
  • 1
  • 1
  • 1
  • 1
  • 1
  • 1
  • 1
  • 1
  • 1
  • 1
  • 1
  • 1
  • 1
Dieser IMP3 Antikörper ist unkonjugiert

Applikation

  • 35
  • 19
  • 18
  • 14
  • 14
  • 13
  • 13
  • 13
  • 11
  • 5
  • 3
Western Blotting (WB), Flow Cytometry (FACS), Immunohistochemistry (Paraffin-embedded Sections) (IHC (p)), Enzyme Immunoassay (EIA)
  • Bindungsspezifität

    • 15
    • 8
    • 3
    • 3
    • 2
    • 1
    • 1
    • 1
    • 1
    • 1
    • 1
    AA 155-184, C-Term

    Spezifität

    This antibody recognizes Human and Mouse IMP3 (C-term).

    Aufreinigung

    Protein A column, followed by peptide affinity purification

    Immunogen

    KLH conjugated synthetic peptide between 155~184 amino acids from the C-terminal region of human IMP3

    Isotyp

    Ig Fraction
  • Applikationshinweise

    Optimal working dilution should be determined by the investigator.

    Beschränkungen

    Nur für Forschungszwecke einsetzbar
  • Format

    Liquid

    Konzentration

    0.25 mg/mL

    Buffer

    PBS containing 0.09 % (W/V) Sodium Azide as preservative

    Konservierungsmittel

    Sodium azide

    Vorsichtsmaßnahmen

    This product contains sodium azide: a POISONOUS AND HAZARDOUS SUBSTANCE which should be handled by trained staff only.

    Handhabung

    Avoid repeated freezing and thawing.

    Lagerung

    4 °C/-20 °C

    Informationen zur Lagerung

    Store undiluted at 2-8 °C for one month or (in aliquots) at -20 °C for longer.
  • Target

    IMP3 (IMP3, U3 Small Nucleolar Ribonucleoprotein (IMP3))

    Andere Bezeichnung

    IMP3

    Hintergrund

    This gene encodes the human homolog of the yeast Imp3 protein. The protein localizes to the nucleoli and interacts with the U3 snoRNP complex. The protein contains an S4 domain.Synonyms: BRMS2, C15orf12, MRPS4, U3 small nucleolar ribonucleoprotein protein IMP3, U3 snoRNP protein IMP3

    Molekulargewicht

    21850 Da

    Gen-ID

    55272

    NCBI Accession

    NP_060755
Sie sind hier:
Chat with us!