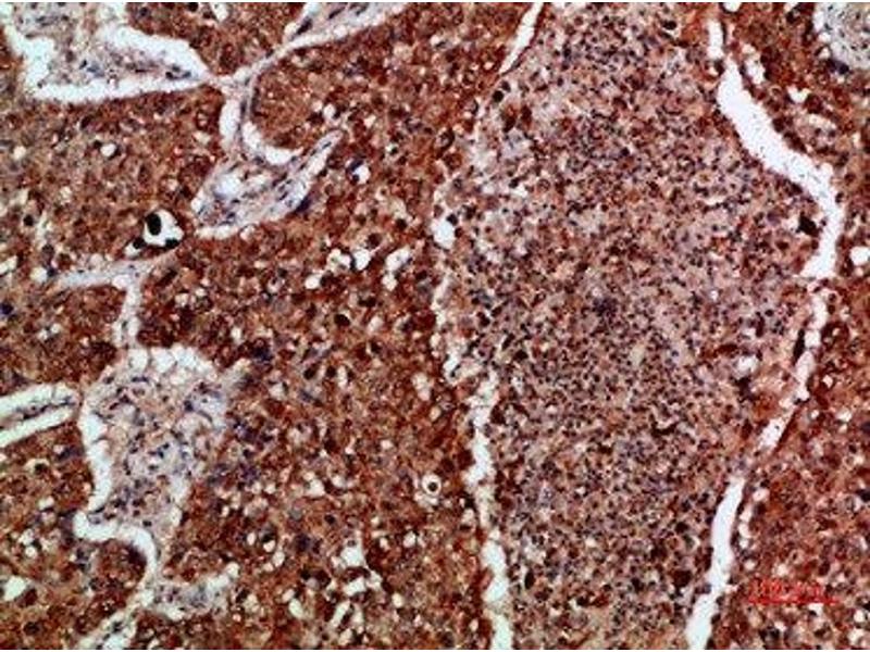
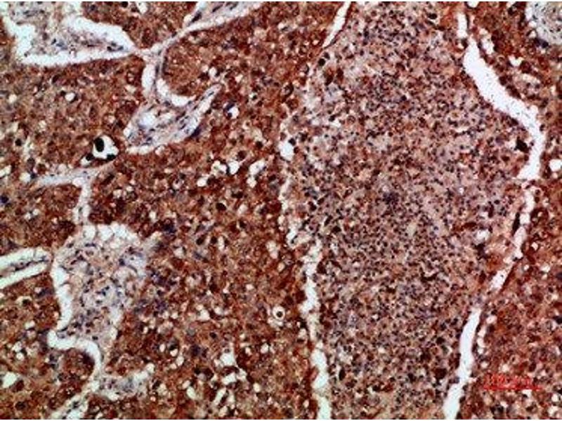
IMP3 Antikörper
Kurzübersicht für IMP3 Antikörper (ABIN7189445)
Target
Alle IMP3 Antikörper anzeigenReaktivität
Wirt
Klonalität
Konjugat
Applikation
-
-
Verwendungszweck
- IMP3 Antibody
-
Kreuzreaktivität
- Maus, Ratte
-
Aufreinigung
- The antibody was affinity-purified from rabbit serum by affinity-chromatography using specific immunogen.
-
Immunogen
- Synthetic peptide from Human protein at AA range: 135-184
-
Isotyp
- IgG
-
-
-
-
Applikationshinweise
- Optimal working dilution should be determined by the investigator.
-
Beschränkungen
- Nur für Forschungszwecke einsetzbar
-
-
-
Format
- Liquid
-
Buffer
- PBS, pH 7.4, containing 0.02 % sodium azide as Preservative and 50 % Glycerol.
-
Konservierungsmittel
- Sodium azide
-
Vorsichtsmaßnahmen
- This product contains Sodium azide: a POISONOUS AND HAZARDOUS SUBSTANCE which should be handled by trained staff only.
-
Lagerung
- -20 °C,-80 °C
-
Informationen zur Lagerung
- Upon receipt, store at -20°C or -80°C. Avoid repeated freeze.
-
-
- IMP3 (IMP3, U3 Small Nucleolar Ribonucleoprotein (IMP3))
-
Andere Bezeichnung
- IMP3
-
Hintergrund
- BRMS2 antibody, C15orf12 antibody, Chromosome 15 open reading frame 12 antibody, DKFZp586L0118 antibody, FLJ10968 antibody, imp3 antibody, IMP3, U3 small nucleolar ribonucleoprotein, homolog (yeast) antibody, IMP3_HUMAN antibody, Mitochondrial ribosomal protein S4 antibody, MRPS4 antibody, OTTHUMP00000183524 antibody, U3 small nucleolar ribonucleoprotein protein imp3 antibody, U3 snoRNP protein 3 homolog antibody, U3 snoRNP protein imp3 antibody
-
UniProt
- Q9NV31
Target
-