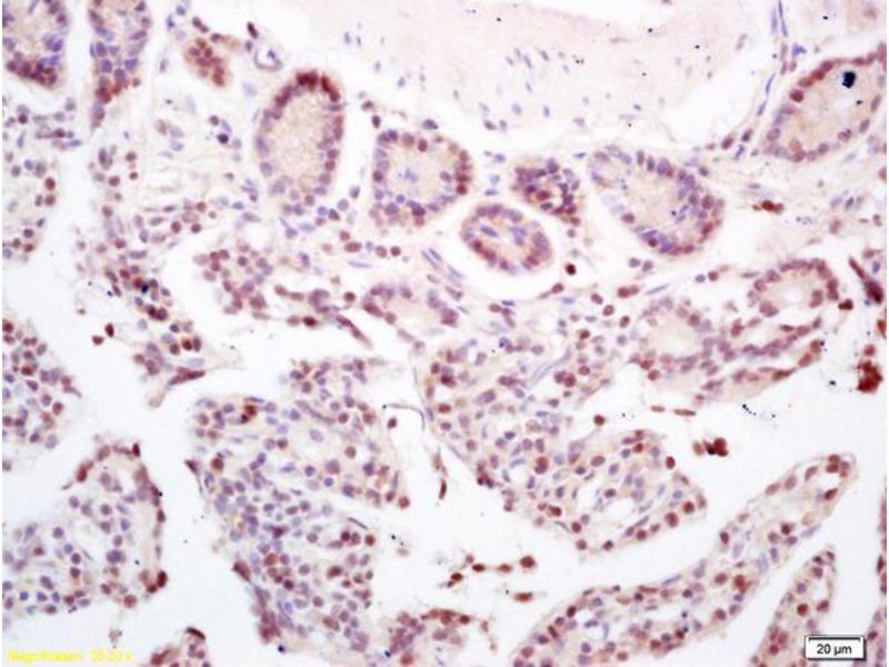
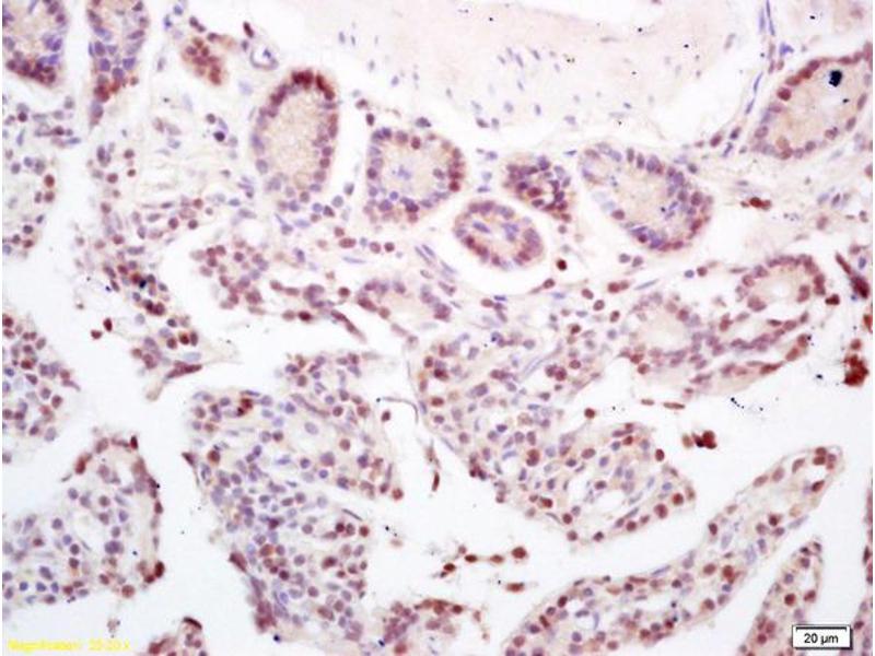
CCDC7 Antikörper (AA 155-250)
Kurzübersicht für CCDC7 Antikörper (AA 155-250) (ABIN872971)
Target
Alle CCDC7 Antikörper anzeigenReaktivität
Wirt
Klonalität
Konjugat
Applikation
-
-
Bindungsspezifität
- AA 155-250
-
Kreuzreaktivität
- Human, Maus
-
Homologie
- Rat,Dog,Cow,Pig,Horse
-
Aufreinigung
- Purified by Protein A.
-
Immunogen
- KLH conjugated synthetic peptide derived from human CCDC7
-
Isotyp
- IgG
-
-
-
-
Applikationshinweise
-
WB 1:300-5000
ELISA 1:500-1000
IHC-P 1:200-400
IHC-F 1:100-500
IF(IHC-P) 1:50-200
IF(IHC-F) 1:50-200
IF(ICC) 1:50-200 -
Beschränkungen
- Nur für Forschungszwecke einsetzbar
-
-
-
Format
- Liquid
-
Konzentration
- 1 μg/μL
-
Buffer
- 0.01M TBS( pH 7.4) with 1 % BSA, 0.02 % Proclin300 and 50 % Glycerol.
-
Konservierungsmittel
- ProClin
-
Vorsichtsmaßnahmen
- This product contains ProClin: a POISONOUS AND HAZARDOUS SUBSTANCE, which should be handled by trained staff only.
-
Lagerung
- 4 °C,-20 °C
-
Informationen zur Lagerung
- Shipped at 4°C. Store at -20°C for one year. Avoid repeated freeze/thaw cycles.
-
Haltbarkeit
- 12 months
-
-
- CCDC7 (Coiled-Coil Domain Containing 7 (CCDC7))
-
Andere Bezeichnung
- CCDC7
-
Hintergrund
-
Synonyms: BioT2-A, BioT2-B, BioT2-C, C10orf68, Coiled-coil domain-containing protein 7, Protein BIOT2, CCDC7, BIOT2
Background: May play a role in tumorigenesis.
-
Gen-ID
- 79741
-
UniProt
- Q96M83
Target
-