Telefon:
+49 (0)241 95 163 153
Fax:
+49 (0)241 95 163 155
E-Mail:
orders@antikoerper-online.de

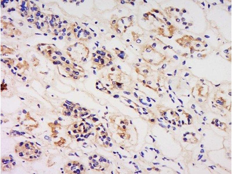
IL3RA Antikörper (AA 201-300)

Der Kaninchen Polyklonal anti-IL3RA Antikörper wird verwendet zum Nachweis von IL3RA in Proben von Human und Maus. Er wurde validiert für FACS, WB, ELISA, IHC (p), IHC (fro), IF (cc) und IF (p).
Produktnummer ABIN747818
357,70 €
Zzgl. Versandkosten 20,00 € und MwSt
100 μL
Lieferung nach: Deutschland
Lieferung in 8 bis 12 Werktagen

Kurzübersicht für IL3RA Antikörper (AA 201-300) (ABIN747818)

Target

Alle IL3RA Antikörper anzeigen
IL3RA (Interleukin 3 Receptor, alpha (IL3RA))

Reaktivität

  • 158
  • 39
  • 3
Human, Maus

Wirt

  • 89
  • 66
  • 9
  • 6
  • 1
  • 1
  • 1
Kaninchen

Klonalität

  • 119
  • 53
  • 1
Polyklonal

Konjugat

  • 72
  • 13
  • 9
  • 9
  • 7
  • 4
  • 3
  • 3
  • 3
  • 3
  • 3
  • 3
  • 3
  • 3
  • 3
  • 2
  • 2
  • 2
  • 2
  • 1
  • 1
  • 1
  • 1
  • 1
  • 1
  • 1
  • 1
  • 1
  • 1
  • 1
  • 1
  • 1
  • 1
  • 1
  • 1
  • 1
  • 1
  • 1
  • 1
  • 1
  • 1
  • 1
  • 1
Dieser IL3RA Antikörper ist unkonjugiert

Applikation

  • 86
  • 61
  • 37
  • 19
  • 18
  • 14
  • 12
  • 12
  • 9
  • 8
  • 7
  • 5
  • 5
  • 4
  • 3
  • 3
  • 2
  • 2
  • 1
  • 1
  • 1
  • 1
  • 1
  • 1
  • 1
  • 1
  • 1
  • 1
  • 1
Flow Cytometry (FACS), Western Blotting (WB), ELISA, Immunohistochemistry (Paraffin-embedded Sections) (IHC (p)), Immunohistochemistry (Frozen Sections) (IHC (fro)), Immunofluorescence (Cultured Cells) (IF (cc)), Immunofluorescence (Paraffin-embedded Sections) (IF (p))
  • Bindungsspezifität

    • 33
    • 15
    • 3
    • 3
    • 3
    • 2
    • 2
    • 2
    • 2
    • 2
    • 2
    • 2
    • 1
    • 1
    • 1
    • 1
    • 1
    • 1
    • 1
    • 1
    • 1
    • 1
    • 1
    • 1
    • 1
    • 1
    AA 201-300

    Kreuzreaktivität

    Human, Maus

    Aufreinigung

    Purified by Protein A.

    Immunogen

    KLH conjugated synthetic peptide derived from human IL-3R alpha

    Isotyp

    IgG
  • Applikationshinweise

    WB 1:300-5000
    ELISA 1:500-1000
    FCM 1:20-100
    IHC-P 1:200-400
    IHC-F 1:100-500
    IF(IHC-P) 1:50-200
    IF(IHC-F) 1:50-200
    IF(ICC) 1:50-200

    Beschränkungen

    Nur für Forschungszwecke einsetzbar
  • Format

    Liquid

    Konzentration

    1 μg/μL

    Buffer

    0.01M TBS( pH 7.4) with 1 % BSA, 0.02 % Proclin300 and 50 % Glycerol.

    Konservierungsmittel

    ProClin

    Vorsichtsmaßnahmen

    This product contains ProClin: a POISONOUS AND HAZARDOUS SUBSTANCE, which should be handled by trained staff only.

    Lagerung

    4 °C,-20 °C

    Informationen zur Lagerung

    Shipped at 4°C. Store at -20°C for one year. Avoid repeated freeze/thaw cycles.

    Haltbarkeit

    12 months
  • Target

    IL3RA (Interleukin 3 Receptor, alpha (IL3RA))

    Andere Bezeichnung

    IL-3R alpha/CD123

    Hintergrund

    Synonyms: IL3R, CD123, IL3RX, IL3RY, IL3RAY, hIL-3Ra, Interleukin-3 receptor subunit alpha, IL-3 receptor subunit alpha, IL-3R subunit alpha, IL-3R-alpha, IL-3RA, IL3RA

    Background: The protein encoded by this gene is an interleukin 3 specific subunit of a heterodimeric cytokine receptor. The receptor is comprised of a ligand specific alpha subunit and a signal transducing beta subunit shared by the receptors for interleukin 3 (IL3), colony stimulating factor 2 (CSF2/GM-CSF), and interleukin 5 (IL5). The binding of this protein to IL3 depends on the beta subunit. The beta subunit is activated by the ligand binding, and is required for the biological activities of IL3. This gene and the gene encoding the colony stimulating factor 2 receptor alpha chain (CSF2RA) form a cytokine receptor gene cluster in a X-Y pseudoautosomal region on chromosomes X or Y.

    Gen-ID

    3563

    UniProt

    P26951

    Pathways

    JAK-STAT Signalweg
Sie sind hier:
Chat with us!