Telefon:
+49 (0)241 95 163 153
Fax:
+49 (0)241 95 163 155
E-Mail:
orders@antikoerper-online.de

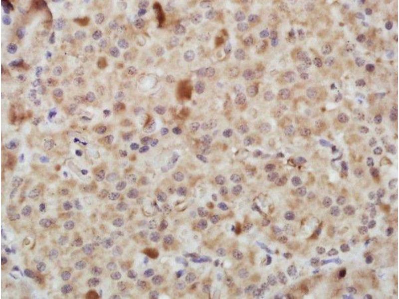
PERK Antikörper (pThr980)

Es sind 14+ Publikationen für dieses Produkt verfügbar. Der Kaninchen Polyklonal anti-PERK Antikörper wird verwendet zum Nachweis von PERK in Proben von Human, Maus, Ratte, Hund und Schwein. Er wurde validiert für WB, ELISA, IHC (p), FACS, IF (cc), IF (p) und IHC (fro).
Produktnummer ABIN744713
357,70 €
Zzgl. Versandkosten 20,00 € und MwSt
100 μL
Lieferung nach: Deutschland
Lieferung in 8 bis 12 Werktagen

Kurzübersicht für PERK Antikörper (pThr980) (ABIN744713)

Target

Alle PERK (EIF2AK3) Antikörper anzeigen
PERK (EIF2AK3) (Eukaryotic Translation Initiation Factor 2-alpha Kinase 3 (EIF2AK3))

Reaktivität

  • 104
  • 62
  • 59
  • 15
  • 15
  • 1
Human, Maus, Ratte, Hund, Schwein

Wirt

  • 93
  • 9
  • 3
  • 1
Kaninchen

Klonalität

  • 94
  • 12
Polyklonal

Konjugat

  • 48
  • 9
  • 8
  • 5
  • 5
  • 3
  • 2
  • 2
  • 2
  • 2
  • 2
  • 2
  • 2
  • 2
  • 2
  • 2
  • 2
  • 1
  • 1
  • 1
  • 1
  • 1
  • 1
Dieser PERK Antikörper ist unkonjugiert

Applikation

  • 78
  • 54
  • 42
  • 28
  • 25
  • 25
  • 12
  • 10
  • 10
  • 6
  • 5
  • 4
  • 2
  • 1
Western Blotting (WB), ELISA, Immunohistochemistry (Paraffin-embedded Sections) (IHC (p)), Flow Cytometry (FACS), Immunofluorescence (Cultured Cells) (IF (cc)), Immunofluorescence (Paraffin-embedded Sections) (IF (p)), Immunohistochemistry (Frozen Sections) (IHC (fro))
  • Bindungsspezifität

    • 16
    • 15
    • 11
    • 8
    • 7
    • 7
    • 6
    • 5
    • 2
    • 2
    • 2
    • 2
    • 2
    • 1
    • 1
    • 1
    • 1
    • 1
    • 1
    • 1
    • 1
    pThr980

    Kreuzreaktivität

    Hund, Human, Maus, Schwein, Ratte

    Homologie

    Cow,Rabbit

    Aufreinigung

    Purified by Protein A.

    Immunogen

    KLH conjugated synthetic phosphopeptide derived from mouse PERK around the phosphorylation site of Thr980

    Isotyp

    IgG
  • Applikationshinweise

    WB 1:300-5000
    ELISA 1:500-1000
    FCM 1:20-100
    IHC-P 1:200-400
    IHC-F 1:100-500
    IF(IHC-P) 1:50-200
    IF(IHC-F) 1:50-200
    IF(ICC) 1:50-200

    Beschränkungen

    Nur für Forschungszwecke einsetzbar
  • Format

    Liquid

    Konzentration

    1 μg/μL

    Buffer

    0.01M TBS( pH 7.4) with 1 % BSA, 0.02 % Proclin300 and 50 % Glycerol.

    Konservierungsmittel

    ProClin

    Vorsichtsmaßnahmen

    This product contains ProClin: a POISONOUS AND HAZARDOUS SUBSTANCE, which should be handled by trained staff only.

    Lagerung

    4 °C,-20 °C

    Informationen zur Lagerung

    Shipped at 4°C. Store at -20°C for one year. Avoid repeated freeze/thaw cycles.

    Haltbarkeit

    12 months
  • Kao, Lai, Chow, Liao, Zheng, Tsai, Hsia, Lai, Lee, Chuang, Whang-Peng, Yao: "Opposite Regulation of CHOP and GRP78 and Synergistic Apoptosis Induction by Selenium Yeast and Fish Oil via AMPK Activation in Lung Adenocarcinoma Cells." in: Nutrients, Vol. 10, Issue 10, (2019) (PubMed).

    Ju, Su, Chen, Ma, Ji, Wang, Li, Li: "Protective effects of Astragaloside IV on endoplasmic reticulum stress-induced renal tubular epithelial cells apoptosis in type 2 diabetic nephropathy rats." in: Biomedicine & pharmacotherapy, Vol. 109, pp. 84-92, (2019) (PubMed).

    Gerbino, Bottillo, Milano, Lipari, Zio, Morlino, Mola, Procino, Re, Zachara, Grammatico, Svelto, Carmosino: "Functional Characterization of a Novel Truncating Mutation in Lamin A/C Gene in a Family with a Severe Cardiomyopathy with Conduction Defects." in: Cellular physiology and biochemistry : international journal of experimental cellular physiology, biochemistry, and pharmacology, Vol. 44, Issue 4, pp. 1559-1577, (2018) (PubMed).

    Fang, Liu, Wu, Liu, Pan, Li: "Upregulation of long noncoding RNA CCAT1-L promotes epithelial-mesenchymal transition in gastric adenocarcinoma." in: OncoTargets and therapy, Vol. 11, pp. 5647-5655, (2018) (PubMed).

    Fang, Yan, Teng, Wen, Li, Peng, Liu, Donadeu, Zhao, Hua: "Melatonin prevents senescence of canine adipose-derived mesenchymal stem cells through activating NRF2 and inhibiting ER stress." in: Aging, Vol. 10, Issue 10, pp. 2954-2972, (2018) (PubMed).

    Mak, Yu, Sun, He, Liu, Yang: "Tetramethylpyrazine suppresses angiotensin II-induced soluble epoxide hydrolase expression in coronary endothelium via anti-ER stress mechanism." in: Toxicology and applied pharmacology, Vol. 336, pp. 84-93, (2017) (PubMed).

    Chen, Holstein, Aime, Bollo, Lechleiter: "Calcineurin β protects brain after injury by activating the unfolded protein response." in: Neurobiology of disease, Vol. 94, pp. 139-56, (2016) (PubMed).

    Carmosino, Gerbino, Schena, Procino, Miglionico, Forleo, Favale, Svelto: "The expression of Lamin A mutant R321X leads to endoplasmic reticulum stress with aberrant Ca(2+) handling." in: Journal of cellular and molecular medicine, Vol. 20, Issue 11, pp. 2194-2207, (2016) (PubMed).

    Yu, Zhang, Zhao, Guo, Li, Li, Zhang, Sun: "Gypenoside Protects against Myocardial Ischemia-Reperfusion Injury by Inhibiting Cardiomyocytes Apoptosis via Inhibition of CHOP Pathway and Activation of PI3K/Akt Pathway In Vivo and In Vitro." in: Cellular physiology and biochemistry : international journal of experimental cellular physiology, biochemistry, and pharmacology, Vol. 39, Issue 1, pp. 123-36, (2016) (PubMed).

    Santanam, Banach-Petrosky, Abate-Shen, Shen, White, DiPaola: "Atg7 cooperates with Pten loss to drive prostate cancer tumor growth." in: Genes & development, Vol. 30, Issue 4, pp. 399-407, (2016) (PubMed).

    Xu, Su, Song, Shi, Fu, Hu, Xia, Song, Song: "Polychlorinated biphenyl quinone induces endoplasmic reticulum stress, unfolded protein response, and calcium release." in: Chemical research in toxicology, Vol. 28, Issue 6, pp. 1326-37, (2015) (PubMed).

    He, Long, Zhong, Fu, Li, Lin: "Sustained endoplasmic reticulum stress inhibits hepatocyte proliferation via downregulation of c-Met expression." in: Molecular and cellular biochemistry, Vol. 389, Issue 1-2, pp. 151-8, (2014) (PubMed).

    Kucuksayan, Konuk, Demir, Mutus, Aslan: "Neutral sphingomyelinase inhibition decreases ER stress-mediated apoptosis and inducible nitric oxide synthase in retinal pigment epithelial cells." in: Free radical biology & medicine, Vol. 72, pp. 113-23, (2014) (PubMed).

    Aslan, Basaranlar, Unal, Ciftcioglu, Derin, Mutus: "Inhibition of neutral sphingomyelinase decreases elevated levels of inducible nitric oxide synthase and apoptotic cell death in ocular hypertensive rats." in: Toxicology and applied pharmacology, (2014) (PubMed).

  • Target

    PERK (EIF2AK3) (Eukaryotic Translation Initiation Factor 2-alpha Kinase 3 (EIF2AK3))

    Andere Bezeichnung

    PERK

    Hintergrund

    Synonyms: Pek, Perk, AI427929, Eukaryotic translation initiation factor 2-alpha kinase 3, PRKR-like endoplasmic reticulum kinase, Pancreatic eIF2-alpha kinase, Eif2ak3

    Background: Phosphorylates the alpha subunit of eukaryotic translation-initiation factor 2 (EIF2), leading to its inactivation and thus to a rapid reduction of translational initiation and repression of global protein synthesis. Serves as a critical effector of unfolded protein response (UPR)-induced G1 growth arrest due to the loss of cyclin-D1 (CCND1). Involved in control of mitochondrial morphology and function.

    Gen-ID

    13666

    UniProt

    Q9Z2B5

    Pathways

    Hormone Transport, ER-Nucleus Signaling, Positive Regulation of Endopeptidase Activity, Hepatitis C, Unfolded Protein Response
Sie sind hier:
Chat with us!