Telefon:
+49 (0)241 95 163 153
Fax:
+49 (0)241 95 163 155
E-Mail:
orders@antikoerper-online.de

Ly6g Antikörper

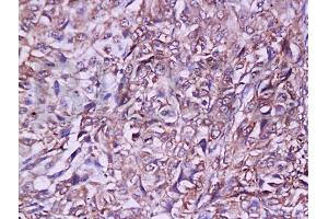
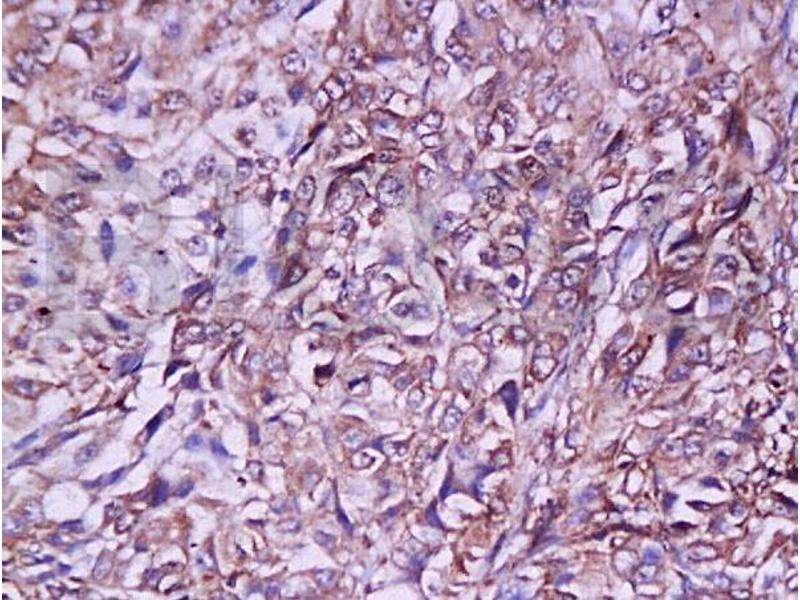
Der Kaninchen Polyklonal anti-Ly6g Antikörper (ABIN742305) detektiert spezifisch Ly6g in WB, IHC (p) und IF (p). Dieser Antikörper reagiert spezifisch mit Proben aus Maus und Ratte.
Produktnummer ABIN742305
357,70 €
Zzgl. Versandkosten 20,00 € und MwSt
100 μL
Lieferung nach: Deutschland
Lieferung in 12 bis 17 Werktagen

Kurzübersicht für Ly6g Antikörper (ABIN742305)

Target

Ly6g (Lymphocyte Antigen 6 Complex, Locus G (Ly6g))

Reaktivität

  • 125
  • 12
  • 1
Maus, Ratte

Wirt

  • 96
  • 29
  • 1
Kaninchen

Klonalität

  • 109
  • 15
  • 1
Polyklonal

Konjugat

  • 30
  • 11
  • 7
  • 7
  • 6
  • 5
  • 2
  • 2
  • 2
  • 2
  • 2
  • 2
  • 2
  • 2
  • 2
  • 2
  • 2
  • 2
  • 2
  • 2
  • 2
  • 2
  • 2
  • 2
  • 2
  • 1
  • 1
  • 1
  • 1
  • 1
  • 1
  • 1
  • 1
  • 1
  • 1
  • 1
  • 1
  • 1
  • 1
  • 1
  • 1
  • 1
  • 1
  • 1
  • 1
  • 1
  • 1
Dieser Ly6g Antikörper ist unkonjugiert

Applikation

  • 99
  • 36
  • 29
  • 26
  • 24
  • 21
  • 19
  • 13
  • 11
  • 8
  • 4
  • 3
  • 3
  • 1
  • 1
  • 1
  • 1
  • 1
Western Blotting (WB), Immunohistochemistry (Paraffin-embedded Sections) (IHC (p)), Immunofluorescence (Paraffin-embedded Sections) (IF (p))
  • Kreuzreaktivität

    Maus

    Aufreinigung

    Purified by Protein A.

    Immunogen

    KLH conjugated synthetic peptide derived from mouse Ly-6G/Gr-1

    Isotyp

    IgG
  • Applikationshinweise

    WB(1:100-1000), IHC-P(1:100-500), IF(IHC-P)(1:50-200)

    Beschränkungen

    Nur für Forschungszwecke einsetzbar
  • Format

    Liquid

    Konzentration

    1 μg/μL

    Buffer

    Aqueous buffered solution containing 1 % BSA, 50 % glycerol and 0.09 % sodium azide.

    Konservierungsmittel

    Sodium azide

    Vorsichtsmaßnahmen

    This product contains Sodium azide: a POISONOUS AND HAZARDOUS SUBSTANCE which should be handled by trained staff only.

    Lagerung

    -20 °C

    Informationen zur Lagerung

    Store at -20°C for 12 months.

    Haltbarkeit

    12 months
  • Target

    Ly6g (Lymphocyte Antigen 6 Complex, Locus G (Ly6g))

    Andere Bezeichnung

    Ly-6g

    Hintergrund

    Synonyms: Gr1, Ly6G, lymphocyte antigen 6 complex locus G, Lymphocyte antigen 6G.

    Background: Ly6G is a GPI-anchored protein, that is also known as the myeloid differentiation antigen Gr1. The antigen is transiently expressed on monocytes in the bone marrow. The level of antigen expression in the bone marrow directly correlates with granulocyte differentiation and maturation. Ly6G is expressed predominantly on neutrophils, also in a subset of eosinophils, differentiating pre-monocytes, and plasmacytoid dendritic cells.

    Gen-ID

    70274
Sie sind hier:
Chat with us!