Telefon:
+49 (0)241 95 163 153
Fax:
+49 (0)241 95 163 155
E-Mail:
orders@antikoerper-online.de

Ly6g Antikörper

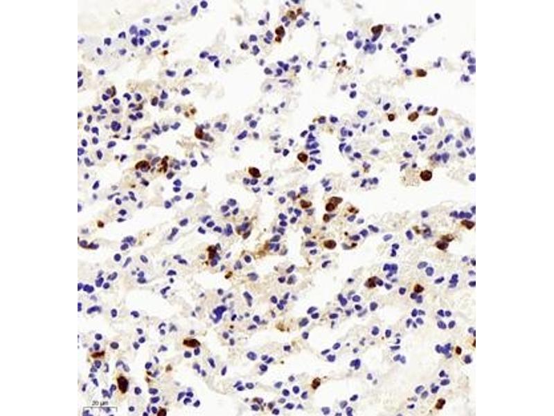
Dieser Kaninchen Polyklonal Antikörper detektiert spezifisch Ly6g in IHC und IF. Es zeigt Reaktivität gegenüber Proben von Maus und Ratte. Es wurde in 10+ Publikationen zitiert.
Produktnummer ABIN7074524
592,31 €
Zzgl. Versandkosten 20,00 € und MwSt
100 μL
Lieferung nach: Deutschland
Lieferung in 13 bis 20 Werktagen

Kurzübersicht für Ly6g Antikörper (ABIN7074524)

Target

Ly6g (Lymphocyte Antigen 6 Complex, Locus G (Ly6g))

Reaktivität

  • 125
  • 12
  • 1
Maus, Ratte

Wirt

  • 96
  • 29
  • 1
Kaninchen

Klonalität

  • 109
  • 15
  • 1
Polyklonal

Konjugat

  • 30
  • 11
  • 7
  • 7
  • 6
  • 5
  • 2
  • 2
  • 2
  • 2
  • 2
  • 2
  • 2
  • 2
  • 2
  • 2
  • 2
  • 2
  • 2
  • 2
  • 2
  • 2
  • 2
  • 2
  • 2
  • 1
  • 1
  • 1
  • 1
  • 1
  • 1
  • 1
  • 1
  • 1
  • 1
  • 1
  • 1
  • 1
  • 1
  • 1
  • 1
  • 1
  • 1
  • 1
  • 1
  • 1
  • 1
Dieser Ly6g Antikörper ist unkonjugiert

Applikation

  • 99
  • 37
  • 28
  • 26
  • 25
  • 21
  • 20
  • 12
  • 11
  • 8
  • 4
  • 3
  • 3
  • 1
  • 1
  • 1
  • 1
  • 1
Immunohistochemistry (IHC), Immunofluorescence (IF)
  • Kreuzreaktivität

    Ratte

    Aufreinigung

    Affinity purification

    Immunogen

    Recombinant protein corresponding to Mouse Ly6g
  • Applikationshinweise

    IHC/IF (M,R) 1:300-1:1000/1:200-1:600

    Beschränkungen

    Nur für Forschungszwecke einsetzbar
  • Format

    Liquid

    Buffer

    PBS, pH 7.4, 0.02 % sodium azide

    Konservierungsmittel

    Sodium azide

    Vorsichtsmaßnahmen

    This product contains Sodium azide: a POISONOUS AND HAZARDOUS SUBSTANCE which should be handled by trained staff only.

    Lagerung

    -20 °C
  • Wang, Zhang, Shao, Zhuang, Sui, Liu, Chen, Hou, Kong, Liu, Zheng, Liu, Chen, Zhang, Jia, Gao: "TRIM31 facilitates K27-linked polyubiquitination of SYK to regulate antifungal immunity." in: Signal transduction and targeted therapy, Vol. 6, Issue 1, pp. 298, (2022) (PubMed).

    Hu, Peng, Jiang, Li, Su, Zhang, Li, Song, Cheng, Xia, Wu: "Metformin as a senostatic drug enhances the anticancer efficacy of CDK4/6 inhibitor in head and neck squamous cell carcinoma." in: Cell death & disease, Vol. 11, Issue 10, pp. 925, (2021) (PubMed).

    Liu, Lan, Mo, Yang, Wei, Wei: "Antitumor and Radiosensitization Effects of a CXCR2 Inhibitor in Nasopharyngeal Carcinoma." in: Frontiers in cell and developmental biology, Vol. 9, pp. 689613, (2021) (PubMed).

    Zhang, Guo, Zhou, Wang, Liu, Wu, Ding: "OX40 agonist combined with irreversible electroporation synergistically eradicates established tumors and drives systemic antitumor immune response in a syngeneic pancreatic cancer model." in: American journal of cancer research, Vol. 11, Issue 6, pp. 2782-2801, (2021) (PubMed).

    Yang, Song, Wang, Liu, Wu, Duan, Zhang, Bi, Geng, Chen, Zhu: "Daphnetin ameliorates acute lung injury in mice with severe acute pancreatitis by inhibiting the JAK2-STAT3 pathway." in: Scientific reports, Vol. 11, Issue 1, pp. 11491, (2021) (PubMed).

    Jiang, Li, Luo, Jiang, Zhang, Yang, Chen: "Emodin ameliorates acute pancreatitis-induced lung injury by suppressing NLRP3 inflammasome-mediated neutrophil recruitment." in: Experimental and therapeutic medicine, Vol. 22, Issue 2, pp. 857, (2021) (PubMed).

    Qie, Jiang, Liu, Hu, Chen, Xie, Liu: "Single-cell RNA-Seq reveals the transcriptional landscape and heterogeneity of skin macrophages in Vsir-/- murine psoriasis." in: Theranostics, Vol. 10, Issue 23, pp. 10483-10497, (2021) (PubMed).

    Yang, Zhao, Zhu, Hu, Wang, Zang, Jin, Bi, Huang, Liu, Li, Yin, Li: "Tumor Temporal Proteome Profiling Reveals the Immunological Triple Offensive Induced by Synthetic Anti-Cancer Salmonella." in: Frontiers in immunology, Vol. 12, pp. 712936, (2021) (PubMed).

    Zhao, Zhang, Xu, Wang, Li: "Selective Loss of Brain-Derived Neurotrophic Factor Exacerbates Brain Injury by Enhancing Neuroinflammation in Experimental Streptococcus pneumoniae Meningitis." in: Frontiers in immunology, Vol. 11, pp. 1357, (2021) (PubMed).

    Wang, Yang, Li, Zhang, Pan, Su, Chen, Li, Qiu, Huang: "CD62Ldim Neutrophils Specifically Migrate to the Lung and Participate in the Formation of the Pre-Metastatic Niche of Breast Cancer." in: Frontiers in oncology, Vol. 10, pp. 540484, (2020) (PubMed).

  • Target

    Ly6g (Lymphocyte Antigen 6 Complex, Locus G (Ly6g))

    Andere Bezeichnung

    Ly6g

    Hintergrund

    Ly6G is a GPI-anchored protein, that is also known as the myeloid differentiation antigen Gr1. The antigen is transiently expressed on monocytes in the bone marrow. The level of antigen expression in the bone marrow directly correlates with granulocyte differentiation and maturation. Ly6G is expressed predominantly on neutrophils, also in a subset of eosinophils, differentiating pre-monocytes, and plasmacytoid dendritic cells.

    Gen-ID

    546644

    NCBI Accession

    NP_001297367

    UniProt

    P35461
Sie sind hier:
Chat with us!