Telefon:
+49 (0)241 95 163 153
Fax:
+49 (0)241 95 163 155
E-Mail:
orders@antikoerper-online.de

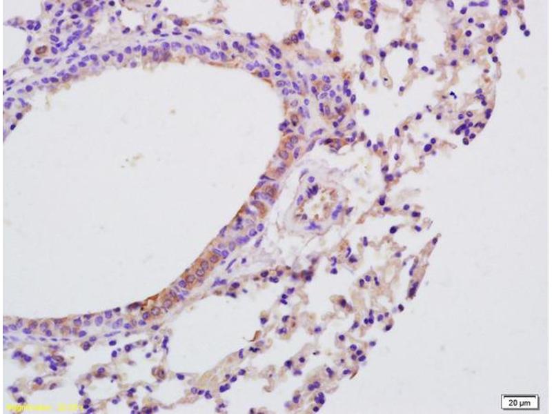
IL-9 Antikörper (AA 21-120)

Zitiert in 4+ Publikationen. Der Kaninchen Polyklonal anti-IL-9 Antikörper (ABIN740130) detektiert spezifisch IL-9 in WB, ELISA, IF (cc), IF (p), IHC (p) und IHC (fro). Dieser Antikörper reagiert spezifisch mit Proben aus Maus.
Produktnummer ABIN740130
357,70 €
Zzgl. Versandkosten 20,00 € und MwSt
100 μL
Lieferung nach: Deutschland
Lieferung in 8 bis 12 Werktagen

Kurzübersicht für IL-9 Antikörper (AA 21-120) (ABIN740130)

Target

Alle IL-9 (IL9) Antikörper anzeigen
IL-9 (IL9) (Interleukin 9 (IL9))

Reaktivität

  • 50
  • 41
  • 8
  • 2
  • 1
  • 1
Maus

Wirt

  • 55
  • 21
  • 9
  • 3
  • 2
  • 2
Kaninchen

Klonalität

  • 50
  • 39
  • 3
Polyklonal

Konjugat

  • 53
  • 9
  • 5
  • 3
  • 3
  • 2
  • 2
  • 2
  • 1
  • 1
  • 1
  • 1
  • 1
  • 1
  • 1
  • 1
  • 1
  • 1
  • 1
  • 1
  • 1
Dieser IL-9 Antikörper ist unkonjugiert

Applikation

  • 56
  • 30
  • 24
  • 19
  • 12
  • 12
  • 9
  • 9
  • 7
  • 4
  • 4
  • 3
  • 3
  • 2
  • 2
  • 2
  • 1
  • 1
  • 1
  • 1
Western Blotting (WB), ELISA, Immunofluorescence (Cultured Cells) (IF (cc)), Immunofluorescence (Paraffin-embedded Sections) (IF (p)), Immunohistochemistry (Paraffin-embedded Sections) (IHC (p)), Immunohistochemistry (Frozen Sections) (IHC (fro))
  • Bindungsspezifität

    • 14
    • 14
    • 2
    • 2
    • 1
    • 1
    • 1
    • 1
    • 1
    • 1
    • 1
    AA 21-120

    Kreuzreaktivität

    Maus

    Homologie

    Rat

    Aufreinigung

    Purified by Protein A.

    Immunogen

    KLH conjugated synthetic peptide derived from mouse IL-9

    Isotyp

    IgG
  • Applikationshinweise

    WB 1:300-5000
    ELISA 1:500-1000
    IHC-P 1:200-400
    IHC-F 1:100-500
    IF(IHC-P) 1:50-200
    IF(IHC-F) 1:50-200
    IF(ICC) 1:50-200

    Beschränkungen

    Nur für Forschungszwecke einsetzbar
  • Format

    Liquid

    Konzentration

    1 μg/μL

    Buffer

    0.01M TBS( pH 7.4) with 1 % BSA, 0.02 % Proclin300 and 50 % Glycerol.

    Konservierungsmittel

    ProClin

    Vorsichtsmaßnahmen

    This product contains ProClin: a POISONOUS AND HAZARDOUS SUBSTANCE, which should be handled by trained staff only.

    Lagerung

    4 °C,-20 °C

    Informationen zur Lagerung

    Shipped at 4°C. Store at -20°C for one year. Avoid repeated freeze/thaw cycles.

    Haltbarkeit

    12 months
  • Yang, Li, Yang, Li: "Interleukin-9 Is Associated with Elevated Anti-Double-Stranded DNA Antibodies in Lupus-Prone Mice." in: Molecular medicine (Cambridge, Mass.), Vol. 21, pp. 364-70, (2016) (PubMed).

    Lin, Zhang, Dai, Li, Wang, Zhang, Chen, Lu: "Expression of interleukin-9 and its upstream stimulating factors in rats with ischemic stroke." in: Neurological sciences : official journal of the Italian Neurological Society and of the Italian Society of Clinical Neurophysiology, (2015) (PubMed).

    Yao, Kong, Xie, Wang, Li, Liu, Sun, Li, Wang, Li, Qu, Zhao, Wang, Liu, Zhang, Mu, Li: "Neutralization of interleukin-9 ameliorates symptoms of experimental autoimmune myasthenia gravis in rats by decreasing effector T cells and altering humoral responses." in: Immunology, Vol. 143, Issue 3, pp. 396-405, (2014) (PubMed).

  • Target

    IL-9 (IL9) (Interleukin 9 (IL9))

    Andere Bezeichnung

    IL-9

    Hintergrund

    Synonyms: P4, Il-9, Interleukin-9, Cytokine P4, T-cell growth factor P4, Il9

    Background: The protein encoded by this gene is a cytokine that actsas a regulator of a variety of hematopoietic cells. This cytokinestimulates cell proliferation and prevents apoptosis. It functionsthrough the interleukin 9 receptor (IL9R), which activatesdifferent signal transducer and activator (STAT) proteins and thusconnects this cytokine to various biological processes. The geneencoding this cytokine has been identified as a candidate gene forasthma. Genetic studies on a mouse model of asthma demonstratedthat this cytokine is a determining factor in the pathogenesis ofbronchial hyperresponsiveness. [provided by RefSeq, Jul 2008].

    Gen-ID

    16198

    UniProt

    P15247

    Pathways

    JAK-STAT Signalweg
Sie sind hier:
Chat with us!