VCP Antikörper
Kurzübersicht für VCP Antikörper (ABIN7800820)
Target
Alle VCP Antikörper anzeigenReaktivität
Wirt
Klonalität
Konjugat
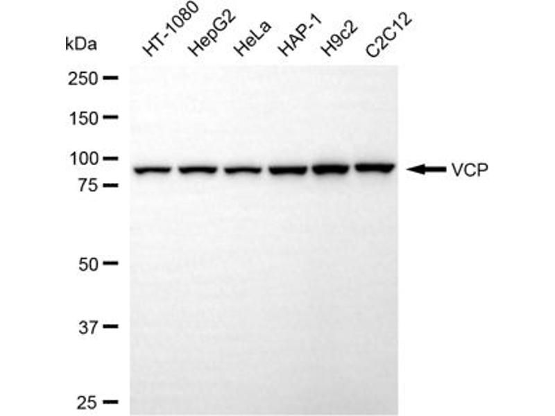
Applikation
Klon
-
-
Verwendungszweck
- VCP Mouse mAb
-
Kreuzreaktivität
- Maus, Ratte
-
Aufreinigung
- Affinity Purified
-
Immunogen
- Recombinant protein of human VCP
-
Isotyp
- IgG1 kappa
-
-
-
-
Applikationshinweise
- Western Blotting (WB): 1:1,000-1:5,000
-
Beschränkungen
- Nur für Forschungszwecke einsetzbar
-
-
-
Format
- Liquid
-
Buffer
- PBS (pH 7.4) containing 50% glycerol and 0.02% sodium azide.
-
Konservierungsmittel
- Sodium azide
-
Vorsichtsmaßnahmen
- This product contains Sodium azide: a POISONOUS AND HAZARDOUS SUBSTANCE which should be handled by trained staff only.
-
Lagerung
- -20 °C
-
Informationen zur Lagerung
- Store at -20 °C for one year.
-
Haltbarkeit
- 12 months
-
-
- VCP (Valosin Containing Protein (VCP))
-
Andere Bezeichnung
- VCP
-
Molekulargewicht
- 89 kDa
-
Gen-ID
- 7415
-
UniProt
- P55072
-
Pathways
- ER-Nucleus Signaling, Positive Regulation of Endopeptidase Activity, Ubiquitin Proteasome Pathway
Target
-