Rekombinanter SHB Antikörper
Kurzübersicht für Rekombinanter SHB Antikörper (ABIN7800430)
Target
Alle SHB Antikörper anzeigenAntikörpertyp
Reaktivität
Wirt
Klonalität
Konjugat
Applikation
Klon
-
-
Expressionssystem
- HEK-293 Cells
-
Verwendungszweck
- SHB Recombinant Rabbit mAb
-
Kreuzreaktivität
- Maus, Ratte
-
Aufreinigung
- Affinity Purified
-
Immunogen
- A synthesized peptide derived from human SHB
-
Isotyp
- IgG
-
-
-
-
Applikationshinweise
- Western Blotting (WB): 1:1,000-1:5,000
-
Beschränkungen
- Nur für Forschungszwecke einsetzbar
-
-
-
Format
- Liquid
-
Buffer
- PBS (pH 7.4) containing 50% glycerol and 0.02% sodium azide.
-
Konservierungsmittel
- Sodium azide
-
Vorsichtsmaßnahmen
- This product contains Sodium azide: a POISONOUS AND HAZARDOUS SUBSTANCE which should be handled by trained staff only.
-
Lagerung
- -20 °C
-
Informationen zur Lagerung
- Store at -20 °C for one year.
-
Haltbarkeit
- 12 months
-
-
- SHB (Src Homology 2 Domain Containing Adaptor Protein B (SHB))
-
Andere Bezeichnung
- SHB
-
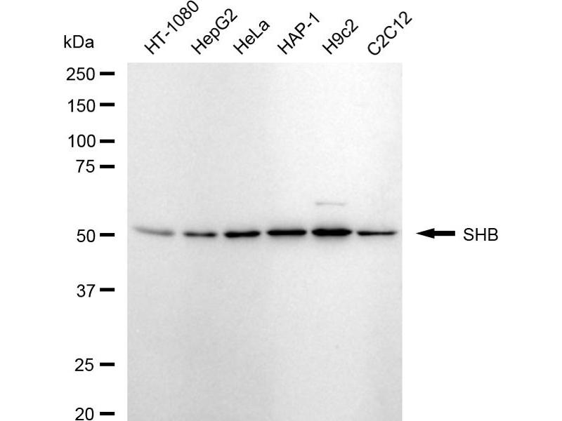
Molekulargewicht
- 55 kDa
-
Gen-ID
- 6461
-
UniProt
- Q15464
Target
-