×
Aktivieren Sie Javascript in Ihrem Browser, um unsere Webseite optimal zu nutzen.
Rekombinanter RAMP1 Antikörper
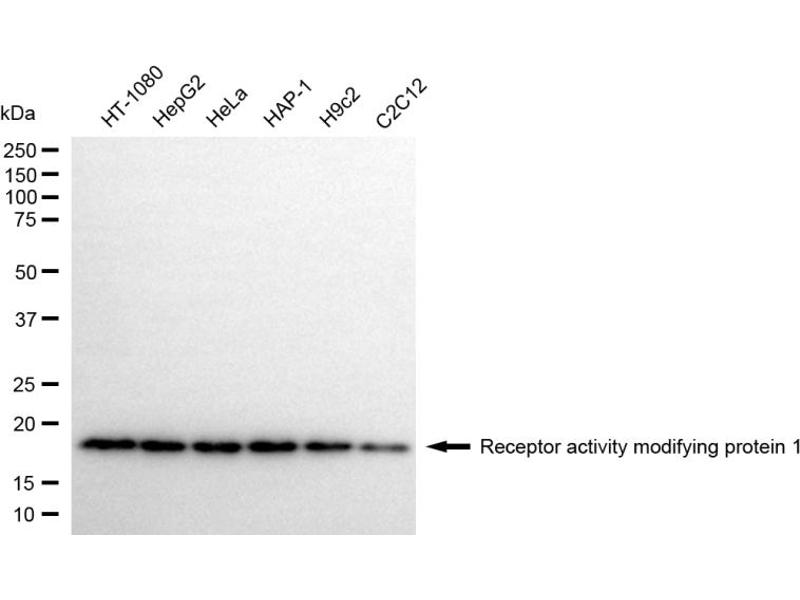
Der Kaninchen Monoklonal anti-RAMP1 Antikörper (Klon 24GB6910) (ABIN7800151) detektiert spezifisch RAMP1 in WB und FACS.
Dieser Antikörper reagiert spezifisch mit Proben aus Human.
Produktnummer ABIN7800151
394,31 €
Zzgl. Versandkosten 20,00 € und MwSt
Lieferung in 7 bis 10 Werktagen
Kurzübersicht für Rekombinanter RAMP1 Antikörper (ABIN7800151)
Target
Alle RAMP1 Antikörper anzeigen
RAMP1
(Receptor (G Protein-Coupled) Activity Modifying Protein 1 (RAMP1))
Antikörpertyp
Recombinant Antibody
Reaktivität
Alle Reaktivitäten für RAMP1 Antikörper
Human
Wirt
Alle Wirte für RAMP1 Antikörper
Kaninchen
Klonalität
Alle Klonalitäten für RAMP1 Antikörper
Monoklonal
Konjugat
Alle Konjugate für RAMP1 Antikörper
Dieser RAMP1 Antikörper ist unkonjugiert
Applikation
Alle Applikationen für RAMP1 Antikörper
Western Blotting (WB), Flow Cytometry (FACS)
Klon
24GB6910
Produktdetails anti-RAMP1 Antikörper
(ausblenden)
Expressionssystem
HEK-293 Cells
Verwendungszweck
RAMP1 Recombinant Rabbit mAb
Kreuzreaktivität
Maus, Ratte
Aufreinigung
Affinity Purified
Immunogen
A synthesized peptide derived from human RAMP1
Isotyp
IgG
Alternativen
(anzeigen)
Anwendungsinformationen
(ausblenden)
Applikationshinweise
Western Blotting (WB): 1:1,000-1:5,000, Flow Cytometry (FCM): 1:200-1:2,000
Beschränkungen
Nur für Forschungszwecke einsetzbar
Handhabung
(ausblenden)
Format
Liquid
Buffer
PBS (pH 7.4) containing 50% glycerol and 0.02% sodium azide.
Konservierungsmittel
Sodium azide
Vorsichtsmaßnahmen
This product contains Sodium azide: a POISONOUS AND HAZARDOUS SUBSTANCE which should be handled by trained staff only.
Lagerung
-20 °C
Informationen zur Lagerung
Store at -20 °C for one year.
Haltbarkeit
12 months
Details zu RAMP1
(ausblenden)
Target
RAMP1
(Receptor (G Protein-Coupled) Activity Modifying Protein 1 (RAMP1))
Andere Bezeichnung
RAMP1
Molekulargewicht
17 kDa
Gen-ID
10267
UniProt
O60894
Pathways
cAMP Metabolic Process , Myometrial Relaxation and Contraction , Regulation of G-Protein Coupled Receptor Protein Signaling , Regulation of Carbohydrate Metabolic Process
Zuletzt angesehen
(ausblenden)
Sie sind hier:
Startseite
Rekombinanter anti-RAMP1 Antikörper (ABIN7800151)
Chat with us , powered by LiveChat