RAMP1 Antikörper (AA 118-148)
Kurzübersicht für RAMP1 Antikörper (AA 118-148) (ABIN731438)
Target
Alle RAMP1 Antikörper anzeigenReaktivität
Wirt
Klonalität
Konjugat
Applikation
-
-
Bindungsspezifität
- AA 118-148
-
Kreuzreaktivität
- Human, Ratte
-
Homologie
- Mouse
-
Aufreinigung
- Purified by Protein A.
-
Immunogen
- KLH conjugated synthetic peptide derived from mouse RAMP-1
-
Isotyp
- IgG
-
-
-
-
Applikationshinweise
-
ELISA 1:500-1000
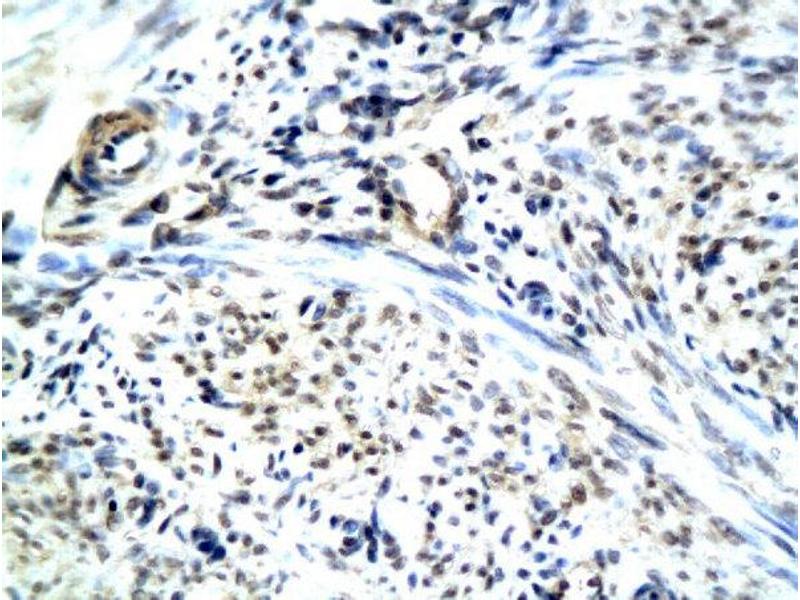
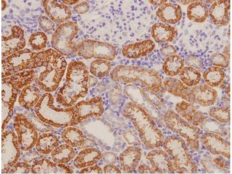
IHC-P 1:200-400
IHC-F 1:100-500
IF(IHC-P) 1:50-200
IF(IHC-F) 1:50-200
IF(ICC) 1:50-200 -
Beschränkungen
- Nur für Forschungszwecke einsetzbar
-
-
-
Format
- Liquid
-
Konzentration
- 1 μg/μL
-
Buffer
- 0.01M TBS( pH 7.4) with 1 % BSA, 0.02 % Proclin300 and 50 % Glycerol.
-
Konservierungsmittel
- ProClin
-
Vorsichtsmaßnahmen
- This product contains ProClin: a POISONOUS AND HAZARDOUS SUBSTANCE, which should be handled by trained staff only.
-
Lagerung
- 4 °C,-20 °C
-
Informationen zur Lagerung
- Shipped at 4°C. Store at -20°C for one year. Avoid repeated freeze/thaw cycles.
-
Haltbarkeit
- 12 months
-
-
-
: "Excitatory Effects of Calcitonin Gene-Related Peptide (CGRP) on Superficial Sp5C Neurons in Mouse Medullary Slices." in: International journal of molecular sciences, Vol. 22, Issue 7, (2021) (PubMed).
: "Chemical phenotypes of intrinsic cardiac neurons in the newborn pig (Sus scrofa domesticus Erxleben, 1777)." in: Journal of morphology, Vol. 283, Issue 1, pp. 51-65, (2021) (PubMed).
: "Alterations in enteric calcitonin gene-related peptide in patients with colonic diverticular disease: CGRP in diverticular disease." in: Autonomic neuroscience : basic & clinical, Vol. 216, pp. 63-71, (2019) (PubMed).
: "Intermedin is upregulated and attenuates renal fibrosis by inhibition of oxidative stress in rats with unilateral ureteral obstruction." in: Nephrology (Carlton, Vic.), (2015) (PubMed).
-
-
- RAMP1 (Receptor (G Protein-Coupled) Activity Modifying Protein 1 (RAMP1))
-
Andere Bezeichnung
- RAMP1
-
Hintergrund
-
Synonyms: 9130218E19Rik, Receptor activity-modifying protein 1, Ramp1
Background: Transports the calcitonin gene-related peptide type 1 receptor (CALCRL) to the plasma membrane. Acts as a receptor for calcitonin-gene-related peptide (CGRP) together with CALCRL.
-
Gen-ID
- 51801
-
UniProt
- Q9WTJ5
-
Pathways
- cAMP Metabolic Process, Myometrial Relaxation and Contraction, Regulation of G-Protein Coupled Receptor Protein Signaling, Regulation of Carbohydrate Metabolic Process
Target
-