P4HB Antikörper
Kurzübersicht für P4HB Antikörper (ABIN7799919)
Target
Alle P4HB Antikörper anzeigenReaktivität
Wirt
Klonalität
Konjugat
Applikation
Güteklasse
Klon
-
-
Verwendungszweck
- KD-Validated Prolyl 4-Hydroxylase Subunit Beta Mouse mAb
-
Aufreinigung
- Affinity Purified
-
Immunogen
- Recombinant protein of human PDI
-
Isotyp
- IgG1 kappa
-
-
-
-
Applikationshinweise
- Western Blotting (WB): 1:2,500-1:5,000, Flow Cytometry (FCM): 1:200-1:2,000
-
Kommentare
-
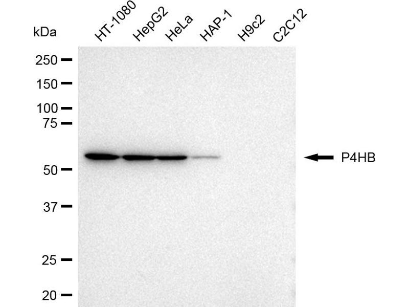
We assess the antibodies’ specificity and selectivity using knockdown techniques. Our validation approach is straightforward: if an antibody identifies a signal in wild-type (WT) cells, but this signal is absent or noticeably reduced in gene-silenced (KD) cells, we consider the antibody to be highly specific.
-
Beschränkungen
- Nur für Forschungszwecke einsetzbar
-
-
-
Format
- Liquid
-
Buffer
- PBS (pH 7.4) containing 50% glycerol and 0.02% sodium azide.
-
Konservierungsmittel
- Sodium azide
-
Vorsichtsmaßnahmen
- This product contains Sodium azide: a POISONOUS AND HAZARDOUS SUBSTANCE which should be handled by trained staff only.
-
Lagerung
- -20 °C
-
Informationen zur Lagerung
- Store at -20 °C for one year.
-
Haltbarkeit
- 12 months
-
-
- P4HB (Prolyl 4-Hydroxylase, beta Polypeptide (P4HB))
-
Andere Bezeichnung
- Prolyl 4-Hydroxylase Subunit Beta
-
Molekulargewicht
- 57 kDa
-
Gen-ID
- 5034
-
UniProt
- P07237
-
Pathways
- Maintenance of Protein Location, Cell RedoxHomeostasis, Lipid Metabolism
Target
-