Telefon:
+49 (0)241 95 163 153
Fax:
+49 (0)241 95 163 155
E-Mail:
orders@antikoerper-online.de

Rekombinanter PSIP1 Antikörper

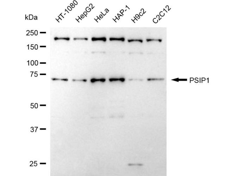
Der Kaninchen Monoklonal anti-PSIP1 Antikörper (Klon 24GB840) (ABIN7799746) detektiert spezifisch PSIP1 in WB, ICC und FACS. Dieser Antikörper reagiert spezifisch mit Proben aus Human.
Produktnummer ABIN7799746
598,92 €
Zzgl. Versandkosten 20,00 € und MwSt
100 μL
Lieferung nach: Deutschland
Lieferung in 7 bis 10 Werktagen

Kurzübersicht für Rekombinanter PSIP1 Antikörper (ABIN7799746)

Target

Alle PSIP1 Antikörper anzeigen
PSIP1 (PC4 and SFRS1 Interacting Protein 1 (PSIP1))

Antikörpertyp

Recombinant Antibody

Reaktivität

  • 41
  • 20
  • 13
  • 12
  • 6
  • 6
  • 5
  • 5
  • 5
  • 5
  • 5
  • 3
Human

Wirt

  • 29
  • 16
  • 1
Kaninchen

Klonalität

  • 27
  • 19
Monoklonal

Konjugat

  • 30
  • 2
  • 2
  • 2
  • 2
  • 2
  • 2
  • 2
  • 1
  • 1
Dieser PSIP1 Antikörper ist unkonjugiert

Applikation

  • 33
  • 23
  • 17
  • 16
  • 11
  • 7
  • 3
  • 1
  • 1
  • 1
  • 1
Western Blotting (WB), Immunocytochemistry (ICC), Flow Cytometry (FACS)

Güteklasse

KD Validated

Klon

24GB840
  • Expressionssystem

    HEK-293 Cells

    Verwendungszweck

    KD-Validated PSIP1 / LEDGF Recombinant Rabbit mAb

    Kreuzreaktivität

    Maus, Ratte

    Aufreinigung

    Affinity Purified

    Immunogen

    A synthesized peptide derived from human PSIP1 / LEDGF

    Isotyp

    IgG
  • Applikationshinweise

    Western Blotting (WB): 1:1,000-1:5,000, Flow Cytometry (FCM): 1:200-1:2,000, Immunocytochemistry (ICC): 1:100-1:1,000

    Kommentare

    We assess the antibodies’ specificity and selectivity using knockdown techniques. Our validation approach is straightforward: if an antibody identifies a signal in wild-type (WT) cells, but this signal is absent or noticeably reduced in gene-silenced (KD) cells, we consider the antibody to be highly specific.

    Beschränkungen

    Nur für Forschungszwecke einsetzbar
  • Format

    Liquid

    Buffer

    PBS (pH 7.4) containing 50% glycerol and 0.02% sodium azide.

    Konservierungsmittel

    Sodium azide

    Vorsichtsmaßnahmen

    This product contains Sodium azide: a POISONOUS AND HAZARDOUS SUBSTANCE which should be handled by trained staff only.

    Lagerung

    -20 °C

    Informationen zur Lagerung

    Store at -20 °C for one year.

    Haltbarkeit

    12 months
  • Target

    PSIP1 (PC4 and SFRS1 Interacting Protein 1 (PSIP1))

    Andere Bezeichnung

    PSIP1 / LEDGF

    Molekulargewicht

    60 kDa

    Gen-ID

    11168

    UniProt

    O75475

    Pathways

    Chromatin Binding, Ribonucleoprotein Complex Subunit Organization
Sie sind hier:
Chat with us!