Telefon:
+49 (0)241 95 163 153
Fax:
+49 (0)241 95 163 155
E-Mail:
orders@antikoerper-online.de

Rekombinanter Fibrillarin Antikörper

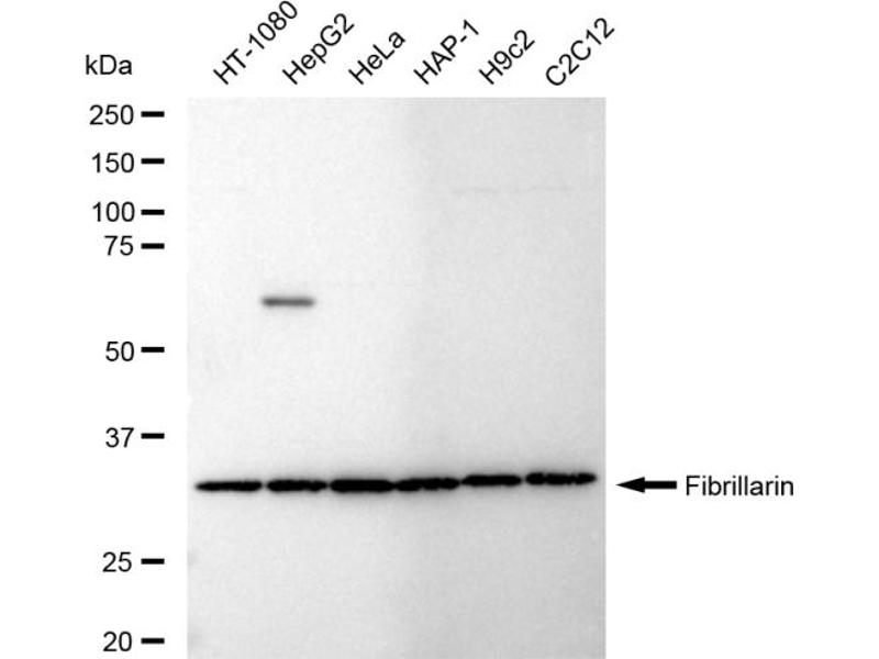
Der Kaninchen Monoklonal anti-Fibrillarin Antikörper wird verwendet zum Nachweis von Fibrillarin in Proben von Human. Er wurde validiert für WB, ICC und FACS.
Produktnummer ABIN7798599
394,31 €
Zzgl. Versandkosten 20,00 € und MwSt
100 μL
Lieferung nach: Deutschland
Lieferung in 7 bis 10 Werktagen

Kurzübersicht für Rekombinanter Fibrillarin Antikörper (ABIN7798599)

Target

Alle Fibrillarin (FBL) Antikörper anzeigen
Fibrillarin (FBL)

Antikörpertyp

Recombinant Antibody

Reaktivität

  • 62
  • 41
  • 40
  • 4
  • 3
  • 2
  • 2
  • 2
  • 2
  • 2
  • 2
  • 1
  • 1
  • 1
  • 1
Human

Wirt

  • 56
  • 10
  • 1
Kaninchen

Klonalität

  • 44
  • 23
Monoklonal

Konjugat

  • 37
  • 3
  • 2
  • 2
  • 2
  • 2
  • 2
  • 2
  • 1
  • 1
  • 1
  • 1
  • 1
  • 1
  • 1
  • 1
  • 1
  • 1
  • 1
  • 1
  • 1
  • 1
  • 1
Dieser Fibrillarin Antikörper ist unkonjugiert

Applikation

  • 58
  • 24
  • 23
  • 20
  • 16
  • 13
  • 11
  • 2
  • 1
  • 1
  • 1
Western Blotting (WB), Immunocytochemistry (ICC), Flow Cytometry (FACS)

Klon

23GB5735
  • Expressionssystem

    HEK-293 Cells

    Verwendungszweck

    Fibrillarin Recombinant Rabbit mAb

    Kreuzreaktivität

    Maus, Ratte

    Aufreinigung

    Affinity Purified

    Immunogen

    A synthesized peptide derived from human Fibrillarin

    Isotyp

    IgG
  • Applikationshinweise

    Western Blotting (WB): 1:1,000-1:5,000, Flow Cytometry (FCM): 1:200-1:2,000, Immunocytochemistry (ICC): 1:100-1:1,000

    Beschränkungen

    Nur für Forschungszwecke einsetzbar
  • Format

    Liquid

    Buffer

    PBS (pH 7.4) containing 50% glycerol and 0.02% sodium azide.

    Konservierungsmittel

    Sodium azide

    Vorsichtsmaßnahmen

    This product contains Sodium azide: a POISONOUS AND HAZARDOUS SUBSTANCE which should be handled by trained staff only.

    Lagerung

    -20 °C

    Informationen zur Lagerung

    Store at -20 °C for one year.

    Haltbarkeit

    12 months
  • Target

    Fibrillarin (FBL)

    Andere Bezeichnung

    Fibrillarin

    Molekulargewicht

    34 kDa

    Gen-ID

    2091

    UniProt

    P22087

    Pathways

    Ribonucleoside Biosynthetic Process
Sie sind hier:
Chat with us!