Rekombinanter EIF2A Antikörper (pSer51)
Kurzübersicht für Rekombinanter EIF2A Antikörper (pSer51) (ABIN7798512)
Target
Alle EIF2A Antikörper anzeigenAntikörpertyp
Reaktivität
Wirt
Klonalität
Konjugat
Applikation
Güteklasse
Klon
-
-
Bindungsspezifität
- pSer51
-
Expressionssystem
- HEK-293 Cells
-
Verwendungszweck
- KD-Validated Phospho-eIF2 alpha (Ser51) Recombinant Rabbit mAb
-
Kreuzreaktivität
- Maus, Ratte
-
Aufreinigung
- Affinity Purified
-
Immunogen
- A synthesized peptide derived from human Phospho-eIF2 alpha (Ser51)
-
Isotyp
- IgG
-
-
-
-
Applikationshinweise
- Western Blotting (WB): 1:1,000-1:5,000, Flow Cytometry (FCM): 1:200-1:2,000, Immunohistochemistry-Paraffin (IHC-P): 1:100-1:200
-
Kommentare
-
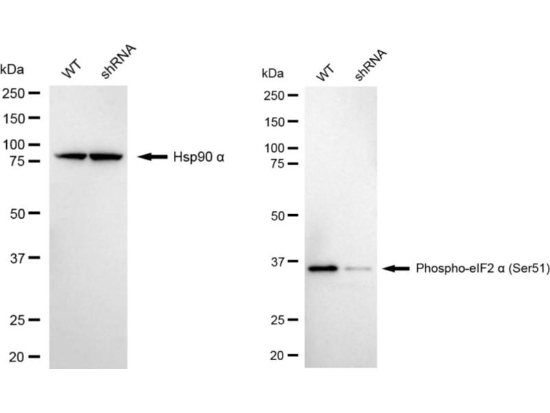
We assess the antibodies’ specificity and selectivity using knockdown techniques. Our validation approach is straightforward: if an antibody identifies a signal in wild-type (WT) cells, but this signal is absent or noticeably reduced in gene-silenced (KD) cells, we consider the antibody to be highly specific.
-
Beschränkungen
- Nur für Forschungszwecke einsetzbar
-
-
-
Format
- Liquid
-
Buffer
- PBS (pH 7.4) containing 50% glycerol and 0.02% sodium azide.
-
Konservierungsmittel
- Sodium azide
-
Vorsichtsmaßnahmen
- This product contains Sodium azide: a POISONOUS AND HAZARDOUS SUBSTANCE which should be handled by trained staff only.
-
Lagerung
- -20 °C
-
Informationen zur Lagerung
- Store at -20 °C for one year.
-
Haltbarkeit
- 12 months
-
-
- EIF2A (Eukaryotic Translation Initiation Factor 2A, 65kDa (EIF2A))
-
Andere Bezeichnung
- eIF2 alpha
-
Molekulargewicht
- 36 kDa
-
Gen-ID
- 1965
-
UniProt
- P05198
-
Pathways
- Ribonucleoprotein Complex Subunit Organization, ER-Nucleus Signaling, Hepatitis C, Methionine Biosynthetic Process, Ribosome Assembly
Target
-