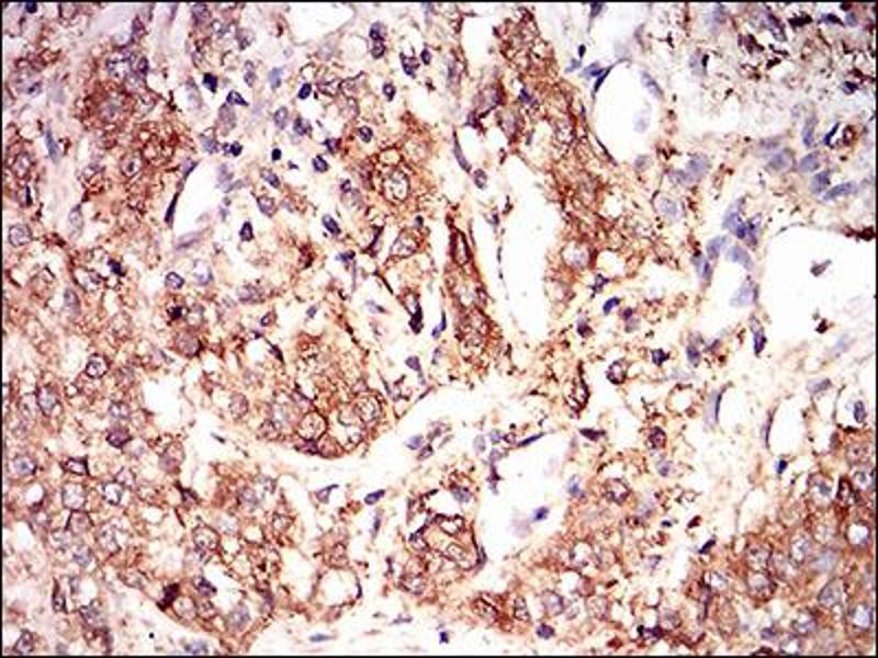
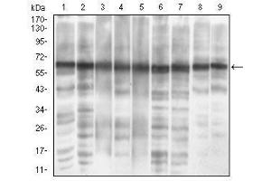
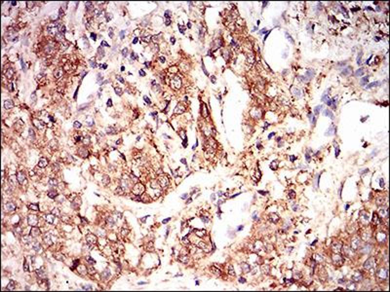
EIF2A Antikörper (AA 448-576)
Kurzübersicht für EIF2A Antikörper (AA 448-576) (ABIN1724933)
Target
Alle EIF2A Antikörper anzeigenReaktivität
Wirt
Klonalität
Konjugat
Applikation
Klon
-
-
Bindungsspezifität
- AA 448-576
-
Verwendungszweck
- EIF2A Antibody
-
Aufreinigung
- Purified antibody
-
Immunogen
- Purified recombinant fragment of human EIF2A (AA: 448-576) expressed in E. Coli.
-
Isotyp
- IgG1
-
-
-
-
Applikationshinweise
-
ELISA: 1/10000
FCM: 1/200 - 1/400
-
Beschränkungen
- Nur für Forschungszwecke einsetzbar
-
-
-
Format
- Liquid
-
Buffer
- Purified antibody in PBS with 0.05 % sodium azide.
-
Konservierungsmittel
- Sodium azide
-
Vorsichtsmaßnahmen
- This product contains Sodium azide: a POISONOUS AND HAZARDOUS SUBSTANCE which should be handled by trained staff only.
-
Lagerung
- 4 °C,-20 °C
-
Informationen zur Lagerung
- Store at 4°C short term. Aliquot and store at -20°C long term. Avoid freeze/thaw cycles.
-
-
-
: "Investigation of the eIF2alpha phosphorylation mechanism in response to proteasome inhibition in melanoma and breast cancer cells." in: Molekuliarnaia biologiia, Vol. 44, Issue 5, pp. 859-66, (2010) (PubMed).
: "Inhibition of eIF2alpha dephosphorylation maximizes bortezomib efficiency and eliminates quiescent multiple myeloma cells surviving proteasome inhibitor therapy." in: Cancer research, Vol. 69, Issue 4, pp. 1545-52, (2009) (PubMed).
-
-
- EIF2A (Eukaryotic Translation Initiation Factor 2A, 65kDa (EIF2A))
-
Andere Bezeichnung
- EIF2A
-
Hintergrund
- EIF2A is a 65-kD protein that catalyzes the formation of puromycin-sensitive 80S preinitiation complexes.
-
Molekulargewicht
- 65 kDa
-
Gen-ID
- 83939
-
UniProt
- Q9BY44
-
Pathways
- Ribonucleoprotein Complex Subunit Organization, ER-Nucleus Signaling, Hepatitis C, Methionine Biosynthetic Process, Ribosome Assembly
Target
-