×
Aktivieren Sie Javascript in Ihrem Browser, um unsere Webseite optimal zu nutzen.
C3 Antikörper
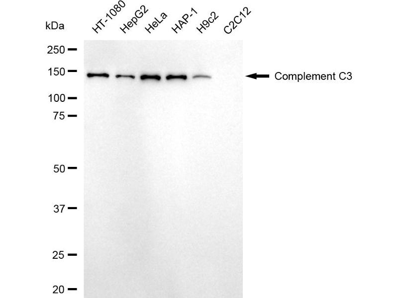
Der Maus Monoklonal anti-C3 Antikörper (Klon 24GB2945) (ABIN7798138) detektiert spezifisch C3 in WB und FACS.
Dieser Antikörper reagiert spezifisch mit Proben aus Human.
Produktnummer ABIN7798138
394,31 €
Zzgl. Versandkosten 20,00 € und MwSt
Lieferung in 7 bis 10 Werktagen
Kurzübersicht für C3 Antikörper (ABIN7798138)
Target
Alle C3 Antikörper anzeigen
C3
(Complement Component 3 (C3))
Reaktivität
Alle Reaktivitäten für C3 Antikörper
Human
Wirt
Alle Wirte für C3 Antikörper
Maus
Klonalität
Alle Klonalitäten für C3 Antikörper
Monoklonal
Konjugat
Alle Konjugate für C3 Antikörper
Dieser C3 Antikörper ist unkonjugiert
Applikation
Alle Applikationen für C3 Antikörper
Western Blotting (WB), Flow Cytometry (FACS)
Klon
24GB2945
Produktdetails anti-C3 Antikörper
(ausblenden)
Verwendungszweck
Complement C3 Mouse mAb
Kreuzreaktivität
Ratte
Aufreinigung
Affinity Purified
Immunogen
A synthesized peptide derived from human Complement C3
Isotyp
IgG1
Alternativen
(anzeigen)
Anwendungsinformationen
(ausblenden)
Applikationshinweise
Western Blotting (WB): 1:2,500-1:5,000, Flow Cytometry (FCM): 1:200-1:2,000
Beschränkungen
Nur für Forschungszwecke einsetzbar
Handhabung
(ausblenden)
Format
Liquid
Buffer
PBS (pH 7.4) containing 50% glycerol and 0.02% sodium azide.
Konservierungsmittel
Sodium azide
Vorsichtsmaßnahmen
This product contains Sodium azide: a POISONOUS AND HAZARDOUS SUBSTANCE which should be handled by trained staff only.
Lagerung
-20 °C
Informationen zur Lagerung
Store at -20 °C for one year.
Haltbarkeit
12 months
Details zu C3
(ausblenden)
Target
C3
(Complement Component 3 (C3))
Andere Bezeichnung
Complement C3
Molekulargewicht
187 kDa
Gen-ID
718
UniProt
P01024
Pathways
Komplementsystem , Regulation of Leukocyte Mediated Immunity , Positive Regulation of Immune Effector Process , Regulation of G-Protein Coupled Receptor Protein Signaling
Zuletzt angesehen
(ausblenden)
Chat with us , powered by LiveChat