Telefon:
+49 (0)241 95 163 153
Fax:
+49 (0)241 95 163 155
E-Mail:
orders@antikoerper-online.de

Rekombinanter BCL2L12 Antikörper

Dieser Kaninchen Monoklonal Antikörper detektiert spezifisch BCL2L12 in WB und FACS. Es zeigt Reaktivität gegenüber Proben von Human.
Produktnummer ABIN7797752
598,92 €
Zzgl. Versandkosten 20,00 € und MwSt
100 μL
Lieferung nach: Deutschland
Lieferung in 7 bis 10 Werktagen

Kurzübersicht für Rekombinanter BCL2L12 Antikörper (ABIN7797752)

Target

Alle BCL2L12 Antikörper anzeigen
BCL2L12 (BCL2-Like 12 (Proline Rich) (BCL2L12))

Antikörpertyp

Recombinant Antibody

Reaktivität

  • 56
  • 5
  • 2
  • 2
  • 2
  • 2
  • 1
  • 1
  • 1
Human

Wirt

  • 52
  • 4
Kaninchen

Klonalität

  • 43
  • 13
Monoklonal

Konjugat

  • 22
  • 3
  • 2
  • 2
  • 2
  • 2
  • 2
  • 2
  • 2
  • 2
  • 1
  • 1
  • 1
  • 1
  • 1
  • 1
  • 1
  • 1
  • 1
  • 1
  • 1
  • 1
  • 1
  • 1
  • 1
Dieser BCL2L12 Antikörper ist unkonjugiert

Applikation

  • 50
  • 15
  • 15
  • 13
  • 13
  • 13
  • 12
  • 4
  • 3
  • 2
  • 2
  • 1
Western Blotting (WB), Flow Cytometry (FACS)

Güteklasse

KD Validated

Klon

23GB3695
  • Expressionssystem

    HEK-293 Cells

    Verwendungszweck

    KD-Validated BCL2 like 12 Recombinant Rabbit mAb

    Aufreinigung

    Affinity Purified

    Immunogen

    A synthesized peptide derived from human BCL2L12

    Isotyp

    IgG
  • Applikationshinweise

    Western Blotting (WB): 1:1,000-1:5,000, Flow Cytometry (FCM): 1:200-1:2,000

    Kommentare

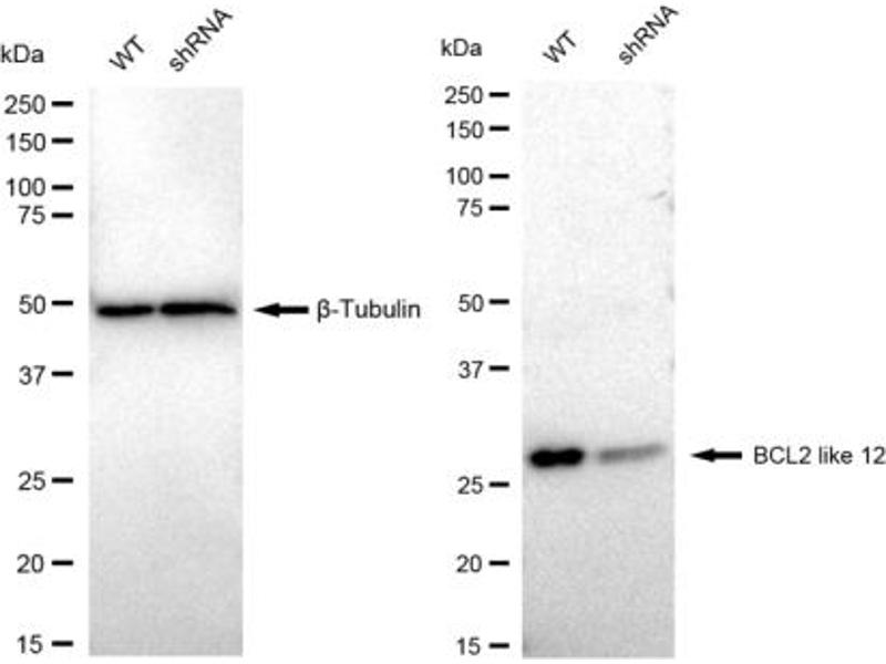
    We assess the antibodies’ specificity and selectivity using knockdown techniques. Our validation approach is straightforward: if an antibody identifies a signal in wild-type (WT) cells, but this signal is absent or noticeably reduced in gene-silenced (KD) cells, we consider the antibody to be highly specific.

    Beschränkungen

    Nur für Forschungszwecke einsetzbar
  • Format

    Liquid

    Buffer

    PBS (pH 7.4) containing 50% glycerol and 0.02% sodium azide.

    Konservierungsmittel

    Sodium azide

    Vorsichtsmaßnahmen

    This product contains Sodium azide: a POISONOUS AND HAZARDOUS SUBSTANCE which should be handled by trained staff only.

    Lagerung

    -20 °C

    Informationen zur Lagerung

    Store at -20 °C for one year.

    Haltbarkeit

    12 months
  • Target

    BCL2L12 (BCL2-Like 12 (Proline Rich) (BCL2L12))

    Andere Bezeichnung

    BCL2 like 12

    Molekulargewicht

    37 kDa

    Gen-ID

    83596

    UniProt

    Q9HB09
Sie sind hier:
Chat with us!