Telefon:
+49 (0)241 95 163 153
Fax:
+49 (0)241 95 163 155
E-Mail:
orders@antikoerper-online.de

Rekombinanter ALKBH2 Antikörper

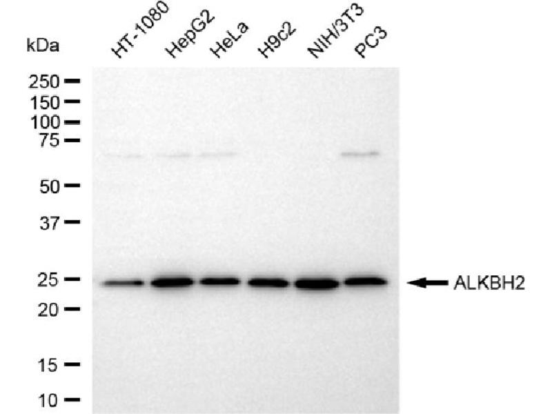
Der Kaninchen Monoklonal anti-ALKBH2 Antikörper (Klon 25GB3840) (ABIN7797580) detektiert spezifisch ALKBH2 in WB und FACS. Dieser Antikörper reagiert spezifisch mit Proben aus Human.
Produktnummer ABIN7797580
598,92 €
Zzgl. Versandkosten 20,00 € und MwSt
100 μL
Lieferung nach: Deutschland
Lieferung in 7 bis 10 Werktagen

Kurzübersicht für Rekombinanter ALKBH2 Antikörper (ABIN7797580)

Target

Alle ALKBH2 Antikörper anzeigen
ALKBH2 (AlkB, Alkylation Repair Homolog 2 (ALKBH2))

Antikörpertyp

Recombinant Antibody

Reaktivität

  • 17
  • 13
  • 5
  • 3
  • 3
  • 2
  • 2
  • 2
  • 2
  • 1
  • 1
Human

Wirt

  • 16
  • 1
Kaninchen

Klonalität

  • 15
  • 2
Monoklonal

Konjugat

  • 10
  • 1
  • 1
  • 1
  • 1
  • 1
  • 1
  • 1
Dieser ALKBH2 Antikörper ist unkonjugiert

Applikation

  • 9
  • 4
  • 2
  • 1
  • 1
Western Blotting (WB), Flow Cytometry (FACS)

Güteklasse

KD Validated

Klon

25GB3840
  • Expressionssystem

    HEK-293 Cells

    Verwendungszweck

    KD-Validated ALKBH2 Recombinant Rabbit mAb

    Kreuzreaktivität

    Maus, Ratte

    Aufreinigung

    Affinity Purified

    Immunogen

    A synthesized peptide derived from human ALKBH2

    Isotyp

    IgG
  • Applikationshinweise

    Western Blotting (WB): 1:1,000-1:5,000, Flow Cytometry (FCM): 1:200-1:2,000

    Kommentare

    We assess the antibodies’ specificity and selectivity using knockdown techniques. Our validation approach is straightforward: if an antibody identifies a signal in wild-type (WT) cells, but this signal is absent or noticeably reduced in gene-silenced (KD) cells, we consider the antibody to be highly specific.

    Beschränkungen

    Nur für Forschungszwecke einsetzbar
  • Format

    Liquid

    Buffer

    PBS (pH 7.4) containing 50% glycerol and 0.02% sodium azide.

    Konservierungsmittel

    Sodium azide

    Vorsichtsmaßnahmen

    This product contains Sodium azide: a POISONOUS AND HAZARDOUS SUBSTANCE which should be handled by trained staff only.

    Lagerung

    -20 °C

    Informationen zur Lagerung

    Store at -20 °C for one year.

    Haltbarkeit

    12 months
  • Target

    ALKBH2 (AlkB, Alkylation Repair Homolog 2 (ALKBH2))

    Andere Bezeichnung

    ALKBH2

    Molekulargewicht

    29 kDa

    Gen-ID

    121642

    UniProt

    Q6NS38

    Pathways

    DNA Reparatur
Sie sind hier:
Chat with us!