Telefon:
+49 (0)241 95 163 153
Fax:
+49 (0)241 95 163 155
E-Mail:
orders@antikoerper-online.de

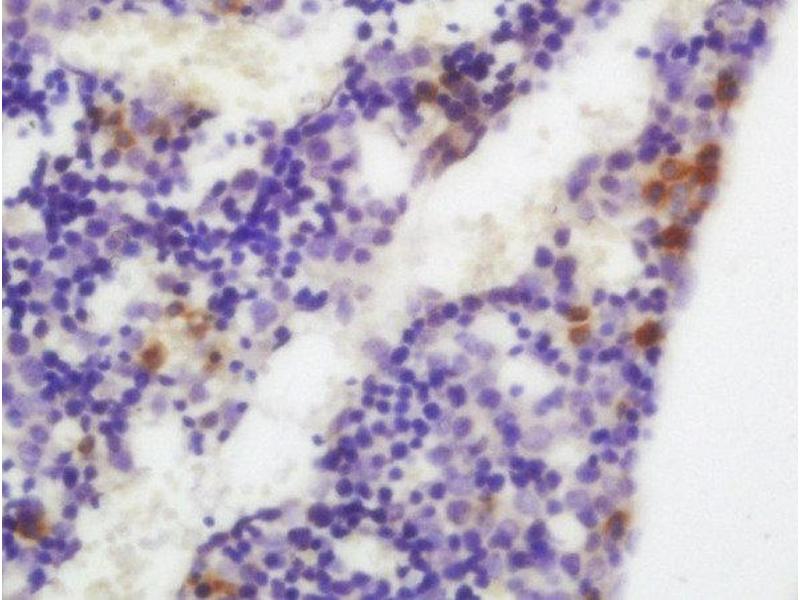
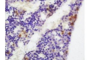
XBP1 Antikörper (AA 51-150)

Es gibt 1 Publikation für dieses Produkt. Der Kaninchen Polyklonal anti-XBP1 Antikörper wird verwendet zum Nachweis von XBP1 in Proben von Human und Maus. Er wurde validiert für WB, ELISA, FACS, IHC (p), IF (cc), IF (p) und IHC (fro).
Produktnummer ABIN732728
357,70 €
Zzgl. Versandkosten 20,00 € und MwSt
100 μL
Lieferung nach: Deutschland
Lieferung in 8 bis 12 Werktagen

Kurzübersicht für XBP1 Antikörper (AA 51-150) (ABIN732728)

Target

Alle XBP1 Antikörper anzeigen
XBP1 (X-Box Binding Protein 1 (XBP1))

Reaktivität

  • 82
  • 39
  • 11
  • 6
  • 6
  • 4
  • 3
  • 3
  • 2
  • 2
Human, Maus

Wirt

  • 78
  • 12
  • 1
Kaninchen

Klonalität

  • 66
  • 25
Polyklonal

Konjugat

  • 48
  • 5
  • 4
  • 4
  • 3
  • 2
  • 2
  • 2
  • 2
  • 2
  • 2
  • 2
  • 1
  • 1
  • 1
  • 1
  • 1
  • 1
  • 1
  • 1
  • 1
  • 1
  • 1
  • 1
  • 1
Dieser XBP1 Antikörper ist unkonjugiert

Applikation

  • 77
  • 35
  • 35
  • 28
  • 23
  • 18
  • 12
  • 12
  • 8
  • 6
  • 4
  • 3
  • 2
  • 1
Western Blotting (WB), ELISA, Flow Cytometry (FACS), Immunohistochemistry (Paraffin-embedded Sections) (IHC (p)), Immunofluorescence (Cultured Cells) (IF (cc)), Immunofluorescence (Paraffin-embedded Sections) (IF (p)), Immunohistochemistry (Frozen Sections) (IHC (fro))
  • Bindungsspezifität

    • 15
    • 11
    • 8
    • 7
    • 5
    • 5
    • 4
    • 3
    • 3
    • 2
    • 2
    • 2
    • 1
    • 1
    • 1
    • 1
    • 1
    • 1
    AA 51-150

    Spezifität

    XBP-1 antibody will recognize both isoforms, may also interact with chicken

    Kreuzreaktivität

    Human, Maus

    Homologie

    Rat,Cow,Chicken

    Aufreinigung

    Purified by Protein A.

    Immunogen

    KLH conjugated synthetic peptide derived from human XBP-1

    Isotyp

    IgG
  • Applikationshinweise

    WB 1:300-5000
    ELISA 1:500-1000
    FCM 1:20-100
    IHC-P 1:200-400
    IHC-F 1:100-500
    IF(IHC-P) 1:50-200
    IF(IHC-F) 1:50-200
    IF(ICC) 1:50-200

    Beschränkungen

    Nur für Forschungszwecke einsetzbar
  • Format

    Liquid

    Konzentration

    1 μg/μL

    Buffer

    0.01M TBS( pH 7.4) with 1 % BSA, 0.02 % Proclin300 and 50 % Glycerol.

    Konservierungsmittel

    ProClin

    Vorsichtsmaßnahmen

    This product contains ProClin: a POISONOUS AND HAZARDOUS SUBSTANCE, which should be handled by trained staff only.

    Lagerung

    4 °C,-20 °C

    Informationen zur Lagerung

    Shipped at 4°C. Store at -20°C for one year. Avoid repeated freeze/thaw cycles.

    Haltbarkeit

    12 months
  • Li, Han, Shi: "IRE1?-XBP1 Pathway Is Activated Upon Induction of Single-Prolonged Stress in Rat Neurons of the Medial Prefrontal Cortex." in: Journal of molecular neuroscience : MN, (2015) (PubMed).

  • Target

    XBP1 (X-Box Binding Protein 1 (XBP1))

    Andere Bezeichnung

    XBP1

    Hintergrund

    Synonyms: XBP2, TREB5, XBP-1, X-box-binding protein 1, Tax-responsive element-binding protein 5, XBP1

    Background: Transcription factor essential for hepatocyte growth, the differentiation of plasma cells, the immunoglobulin secretion, and the unfolded protein response (UPR). Acts during endoplasmic reticulum stress (ER) by activating unfolded protein response (UPR) target genes via direct binding to the UPR element (UPRE). Binds DNA preferably to the CRE-like element 5'-GATGACGTG[TG]N(3)[AT]T-3', and also to some TPA response elements (TRE). Binds to the HLA DR-alpha promoter. Binds to the Tax-responsive element (TRE) of HTLV-I.

    Gen-ID

    7494

    UniProt

    P17861

    Pathways

    ER-Nucleus Signaling, Unfolded Protein Response
Sie sind hier:
Chat with us!