Telefon:
+49 (0)241 95 163 153
Fax:
+49 (0)241 95 163 155
E-Mail:
orders@antikoerper-online.de

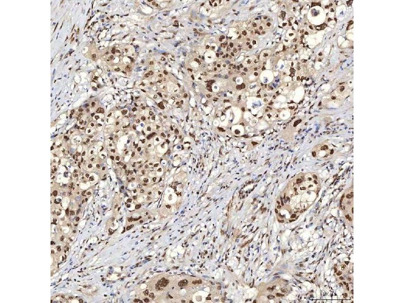
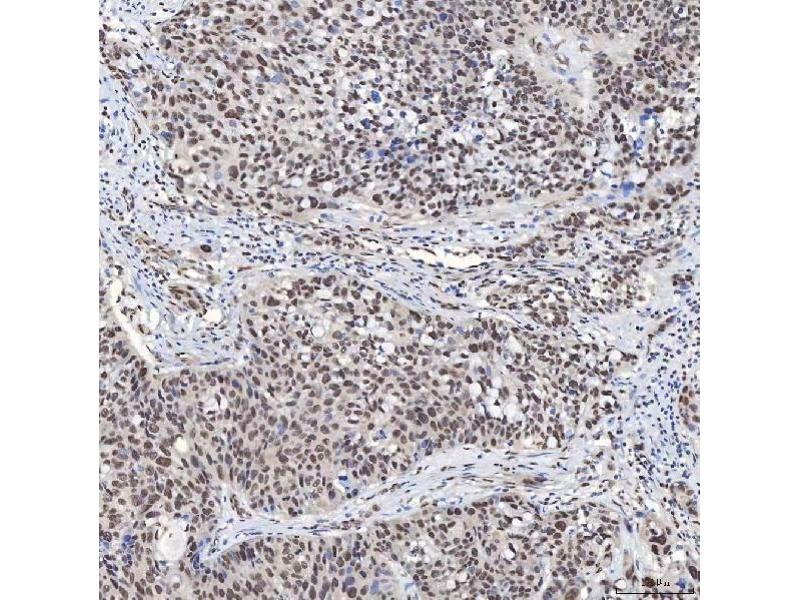
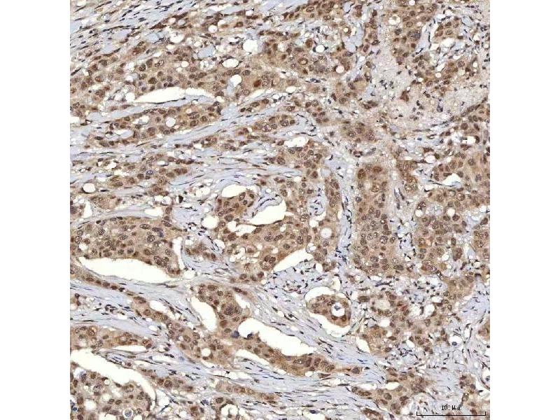
SNRPA1 Antikörper (AA 25-218)

Der Kaninchen Polyklonal anti-SNRPA1 Antikörper wird verwendet zum Nachweis von SNRPA1 in Proben von Human, Maus und Ratte. Er wurde validiert für WB, IHC, ELISA, IF und ICC.
Produktnummer ABIN7600891
500,50 €
Zzgl. Versandkosten 20,00 € und MwSt
100 μg
Lieferung nach: Deutschland
Lieferung in 8 bis 12 Werktagen

Kurzübersicht für SNRPA1 Antikörper (AA 25-218) (ABIN7600891)

Target

Alle SNRPA1 (SNRPA) Antikörper anzeigen
SNRPA1 (SNRPA) (Small Nuclear Ribonucleoprotein Polypeptide A (SNRPA))

Reaktivität

  • 94
  • 56
  • 45
  • 8
  • 6
  • 6
  • 6
  • 6
  • 4
  • 4
  • 3
  • 3
  • 2
  • 1
  • 1
  • 1
  • 1
  • 1
Human, Maus, Ratte

Wirt

  • 90
  • 6
Kaninchen

Klonalität

  • 62
  • 34
Polyklonal

Konjugat

  • 44
  • 9
  • 5
  • 5
  • 5
  • 5
  • 5
  • 5
  • 4
  • 3
  • 2
  • 2
  • 1
  • 1
Dieser SNRPA1 Antikörper ist unkonjugiert

Applikation

  • 69
  • 39
  • 24
  • 23
  • 14
  • 13
  • 7
  • 3
  • 1
  • 1
  • 1
  • 1
  • 1
Western Blotting (WB), Immunohistochemistry (IHC), ELISA, Immunofluorescence (IF), Immunocytochemistry (ICC)
  • Bindungsspezifität

    • 6
    • 6
    • 5
    • 4
    • 3
    • 3
    • 2
    • 2
    • 2
    • 2
    • 1
    • 1
    • 1
    • 1
    • 1
    • 1
    • 1
    AA 25-218

    Verwendungszweck

    Anti-U1A/SNRPA Antibody

    Kreuzreaktivität (Details)

    No cross-reactivity with other proteins.

    Produktmerkmale

    Anti-U1A/SNRPA Antibody (ABIN7600891). Tested in ELISA, IF, IHC, ICC, WB applications. This antibody reacts with Human, Mouse, Rat. This is a premium antibody that guarantees superior quality, high affinity, and strong signals with minimal background in Western blot applications.

    Aufreinigung

    Immunogen affinity purified.

    Immunogen

    E.coli-derived human U1A/SNRPA recombinant protein (Position: E25-E218).

    Isotyp

    IgG
  • Applikationshinweise

    Western blot, 0.25-0.5 μg/mL, Human, Mouse
    Immunohistochemistry(Paraffin-embedded Section), 2-5 μg/mL, Human, Mouse, Rat
    Immunocytochemistry/Immunofluorescence, 5 μg/mL, Human
    Immunofluorescence, 5 μg/mL, Human
    ELISA, 0.1-0.5 μg/mL, -

    Beschränkungen

    Nur für Forschungszwecke einsetzbar
  • Format

    Lyophilized

    Rekonstitution

    Adding 0.2 mL of distilled water will yield a concentration of 500 μg/mL.

    Konzentration

    500 μg/mL

    Buffer

    Each vial contains 4 mg Trehalose, 0.9 mg NaCl, 0.2 mg Na2HPO4.

    Lagerung

    4 °C,-20 °C

    Informationen zur Lagerung

    At -20°C for one year from date of receipt. After reconstitution, at 4°C for one month.
    It can also be aliquotted and stored frozen at -20°C for six months. Avoid repeated freezing and thawing.
  • Target

    SNRPA1 (SNRPA) (Small Nuclear Ribonucleoprotein Polypeptide A (SNRPA))

    Andere Bezeichnung

    SNRPA

    Hintergrund

    Synonyms: Epidermal growth factor-like protein 6, EGF-like protein 6, MAM and EGF domains-containing gene protein, EGFL6, MAEG, PP648, UNQ281/PRO320

    Tissue Specificity: Ubiquitous.

    Background: U1 small nuclear ribonucleoprotein A is a protein that in humans is encoded by the SNRPA gene. The protein encoded by this gene associates with stem loop II of the U1 small nuclear ribonucleoprotein, which binds the 5' splice site of precursor mRNAs and is required for splicing. The encoded protein autoregulates itself by polyadenylation inhibition of its own pre-mRNA via dimerization and has been implicated in the coupling of splicing and polyadenylation.

    Molekulargewicht

    31 kDa

    Gen-ID

    6626

    UniProt

    P09012
Sie sind hier:
Chat with us!