SNRPA1 Antikörper (AA 1-283)
Kurzübersicht für SNRPA1 Antikörper (AA 1-283) (ABIN574344)
Target
Alle SNRPA1 (SNRPA) Antikörper anzeigenReaktivität
Wirt
Klonalität
Konjugat
Applikation
Klon
-
-
Bindungsspezifität
- AA 1-283
-
Aufreinigung
- Purified from ascites by Protein A
-
Immunogen
-
SNRPA (AAH00405, 1 a.a. ~ 283 a.a) full length recombinant protein with GST tag. MW of the GST tag alone is 26 KDa.
Type of Immunogen: Recombinant protein -
Isotyp
- IgG1 kappa
-
-
-
-
Applikationshinweise
-
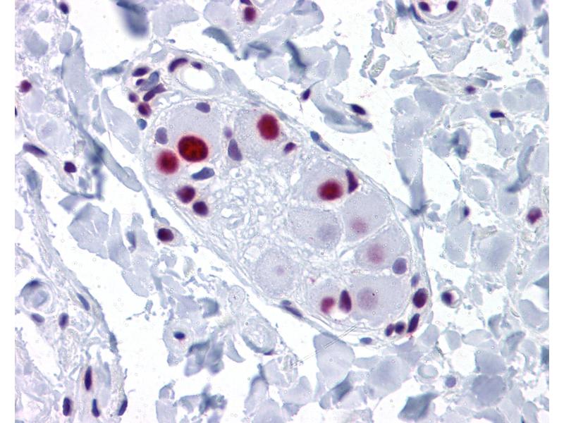
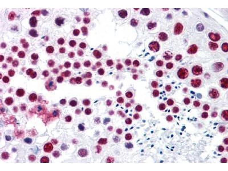
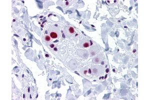
Approved: ELISA, IF (10 μg/mL), IHC, IHC-P (5 μg/mL), WB
Usage: Western Blot (Cell lysate) - positive control Hela. Western Blot (Transfected lysate) - positive control transfected 293T cell line. Immunofluorescence (10 μg/mL) - positive control HeLa cells. Sandwich ELISA (Recombinant protein). -
Kommentare
-
Target Species of Antibody: Human
-
Beschränkungen
- Nur für Forschungszwecke einsetzbar
-
-
-
Format
- Liquid
-
Konzentration
- Lot specific
-
Buffer
- PBS, pH 7.4. Sourced in Ascites.
-
Handhabung
- Aliquot to Avoid freeze/thaw cycles.
-
Lagerung
- -20 °C
-
Informationen zur Lagerung
- Store at -20°C. Aliquot to avoid freeze/thaw cycles.
-
-
- SNRPA1 (SNRPA) (Small Nuclear Ribonucleoprotein Polypeptide A (SNRPA))
-
Andere Bezeichnung
- SNRPA / U1A
-
Hintergrund
-
Name/Gene ID: SNRPA
Synonyms: SNRPA, U1A, Mud1, U1 snRNP A, U1 snRNP-specific protein A, U1-A -
Gen-ID
- 6626
-
UniProt
- P09012
Target
-