Telefon:
+49 (0)241 95 163 153
Fax:
+49 (0)241 95 163 155
E-Mail:
orders@antikoerper-online.de

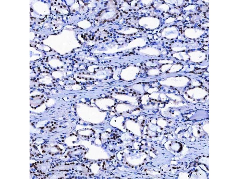
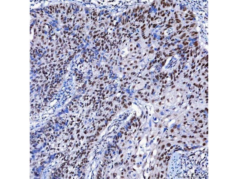
SF3A1 Antikörper (AA 20-556)

Der Kaninchen Polyklonal anti-SF3A1 Antikörper (ABIN7600556) detektiert spezifisch SF3A1 in WB, IHC, IF, ELISA, IP und ICC. Dieser Antikörper reagiert spezifisch mit Proben aus Human, Maus und Ratte.
Produktnummer ABIN7600556
500,50 €
Zzgl. Versandkosten 20,00 € und MwSt
100 μg
Lieferung nach: Deutschland
Lieferung in 8 bis 12 Werktagen

Kurzübersicht für SF3A1 Antikörper (AA 20-556) (ABIN7600556)

Target

Alle SF3A1 Antikörper anzeigen
SF3A1 (Splicing Factor 3a, Subunit 1 (SF3A1))

Reaktivität

  • 26
  • 16
  • 9
  • 6
  • 6
  • 5
  • 5
  • 4
  • 4
  • 4
  • 3
  • 3
  • 2
  • 2
  • 2
  • 1
  • 1
Human, Maus, Ratte

Wirt

  • 21
  • 6
Kaninchen

Klonalität

  • 22
  • 5
Polyklonal

Konjugat

  • 27
Dieser SF3A1 Antikörper ist unkonjugiert

Applikation

  • 25
  • 13
  • 9
  • 8
  • 7
  • 6
  • 3
  • 1
  • 1
Western Blotting (WB), Immunohistochemistry (IHC), Immunofluorescence (IF), ELISA, Immunoprecipitation (IP), Immunocytochemistry (ICC)
  • Bindungsspezifität

    • 4
    • 3
    • 2
    • 2
    • 2
    • 2
    • 1
    • 1
    • 1
    • 1
    • 1
    • 1
    • 1
    • 1
    AA 20-556

    Verwendungszweck

    Anti-SF3A1 Antibody

    Kreuzreaktivität (Details)

    No cross-reactivity with other proteins.

    Produktmerkmale

    Anti-SF3A1 Antibody (ABIN7600556). Tested in ELISA, IF, IHC, ICC, WB applications. This antibody reacts with Human, Mouse, Rat. This is a premium antibody that guarantees superior quality, high affinity, and strong signals with minimal background in Western blot applications.

    Aufreinigung

    Immunogen affinity purified.

    Immunogen

    E.coli-derived human SF3A1 recombinant protein (Position: K20-Q556).

    Isotyp

    IgG
  • Applikationshinweise

    Western blot, 0.1-0.25 μg/mL, Human, Mouse, Rat
    Immunohistochemistry(Paraffin-embedded Section), 2-5 μg/mL, Human, Rat
    Immunocytochemistry/Immunofluorescence, 5 μg/mL, Human
    Immunofluorescence, 5 μg/mL, Human, Rat
    Immunoprecipitation, 0.5-2 μg/mL, Human
    ELISA, 0.1-0.5 μg/mL, -

    Beschränkungen

    Nur für Forschungszwecke einsetzbar
  • Format

    Lyophilized

    Rekonstitution

    Adding 0.2 mL of distilled water will yield a concentration of 500 μg/mL.

    Konzentration

    500 μg/mL

    Buffer

    Each vial contains 4 mg Trehalose, 0.9 mg NaCl, 0.2 mg Na2HPO4.

    Lagerung

    4 °C,-20 °C

    Informationen zur Lagerung

    At -20°C for one year from date of receipt. After reconstitution, at 4°C for one month.
    It can also be aliquotted and stored frozen at -20°C for six months. Avoid repeated freezing and thawing.
  • Target

    SF3A1 (Splicing Factor 3a, Subunit 1 (SF3A1))

    Andere Bezeichnung

    SF3A1

    Hintergrund

    Synonyms: Serine protease HTRA3,3.4.21.-,High-temperature requirement factor A3,Pregnancy-related serine protease,HTRA3,PRSP,

    Tissue Specificity: Widely expressed, with highest levels in both adult and fetal heart, ovary, uterus placenta, and bladder. In the endometrium, expressed in epithelial glands and the stroma. Also present in leukocytes. Isoform 1 is predominant in heart and skeletal muscle, whereas isoform 2 is predominant in placenta and kidney. .

    Background: Splicing factor 3 subunit 1 is a protein that in humans is encoded by the SF3A1 gene. This gene encodes a subunit of the splicing factor 3a protein complex. The splicing factor 3a heterotrimer is a component of the mature U2 small nuclear ribonucleoprotein particle (snRNP). U2 small nuclear ribonucleoproteins play a critical role in spliceosome assembly and pre-mRNA splicing.

    Molekulargewicht

    120-130 kDa

    Gen-ID

    10291

    UniProt

    Q15459

    Pathways

    Ribonucleoprotein Complex Subunit Organization
Sie sind hier:
Chat with us!