Telefon:
+49 (0)241 95 163 153
Fax:
+49 (0)241 95 163 155
E-Mail:
orders@antikoerper-online.de

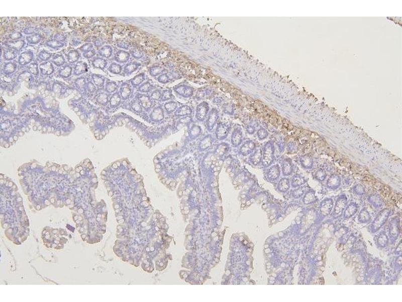
TMEM255B Antikörper (AA 196-240)

Der Kaninchen Polyklonal anti-TMEM255B Antikörper wird verwendet zum Nachweis von TMEM255B in Proben von Maus und Ratte. Er wurde validiert für ELISA, IHC und WB.
Produktnummer ABIN7600444
500,50 €
Zzgl. Versandkosten 20,00 € und MwSt
100 μg
Lieferung nach: Deutschland
Lieferung in 8 bis 12 Werktagen

Kurzübersicht für TMEM255B Antikörper (AA 196-240) (ABIN7600444)

Target

TMEM255B (Transmembrane Protein 255B (TMEM255B))

Reaktivität

Maus, Ratte

Wirt

  • 5
Kaninchen

Klonalität

  • 5
Polyklonal

Konjugat

  • 2
  • 1
  • 1
  • 1
Dieser TMEM255B Antikörper ist unkonjugiert

Applikation

ELISA, Immunohistochemistry (IHC), Western Blotting (WB)
  • Bindungsspezifität

    AA 196-240

    Verwendungszweck

    Anti-Tmem255b Antibody

    Kreuzreaktivität (Details)

    No cross-reactivity with other proteins.

    Produktmerkmale

    Anti-Tmem255b Antibody (ABIN7600444). Tested in ELISA, IHC, WB applications. This antibody reacts with Mouse, Rat. This is a premium antibody that guarantees superior quality, high affinity, and strong signals with minimal background in Western blot applications.

    Aufreinigung

    Immunogen affinity purified.

    Immunogen

    E.coli-derived mouse Tmem255b recombinant protein (Position: Q196-L240).

    Isotyp

    IgG
  • Applikationshinweise

    Western blot, 0.25-0.5 μg/mL, Mouse
    Immunohistochemistry (Paraffin-embedded Section), 0.5-1 μg/mL, Rat
    ELISA, 0.1-0.5 μg/mL, -

    Beschränkungen

    Nur für Forschungszwecke einsetzbar
  • Format

    Lyophilized

    Rekonstitution

    Add 0.2 mL of distilled water will yield a concentration of 500 μg/mL.

    Konzentration

    500 μg/mL

    Buffer

    Each vial contains 4 mg Trehalose, 0.9 mg NaCl, 0.2 mg Na2HPO4, 0.01 mg Sodium azide.

    Konservierungsmittel

    Sodium azide

    Vorsichtsmaßnahmen

    This product contains Sodium azide: a POISONOUS AND HAZARDOUS SUBSTANCE which should be handled by trained staff only.

    Lagerung

    4 °C,-20 °C

    Informationen zur Lagerung

    Store at -20°C for one year from date of receipt. After reconstitution, at 4°C for one month.
    It can also be aliquotted and stored frozen at -20°C for six months. Avoid repeated freeze-thaw cycles.
  • Target

    TMEM255B (Transmembrane Protein 255B (TMEM255B))

    Andere Bezeichnung

    Tmem255b

    Hintergrund

    Synonyms: Placenta-specific protein 9, PLAC9

    Tissue Specificity: Detected in liver, skeletal muscle, kidney, pancreas, spleen, thyroid, testis, ovary, small intestine and colon.

    Background: FAM70B (family with sequence similarity 70, member B) is a 326 amino acid membrane protein that belongs to the FAM70 family. The gene that encodes FAM70B maps to human chromosome 13, which contains around 114 million base pairs and encodes roughly 400 genes. Key tumor suppressor genes on chromosome 13 include the breast cancer susceptibility gene, BRCA2, and the RB1 (retinoblastoma) gene. RB1 encodes a crucial tumor suppressor protein which, when defective, leads to malignant growth in the retina and has been implicated in a variety of other cancers. The gene SLITRK1, which is associated with Tourette syndrome, is on chromosome 13. As with most chromosomes, polysomy of part or all of chromosome 13 is deleterious to development and decreases the odds of survival. Trisomy 13, also known as Patau syndrome, is quite deadly and the few who survive past one year suffer from permanent neurologic defects, difficulty eating and vulnerability to serious respiratory infections.

    Molekulargewicht

    45 kDa

    Gen-ID

    272465
Sie sind hier:
Chat with us!