Telefon:
+49 (0)241 95 163 153
Fax:
+49 (0)241 95 163 155
E-Mail:
orders@antikoerper-online.de

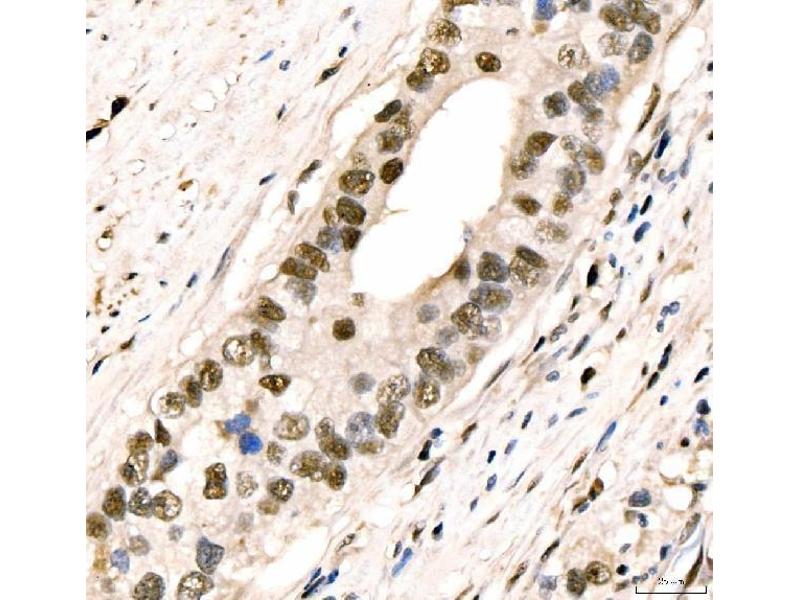
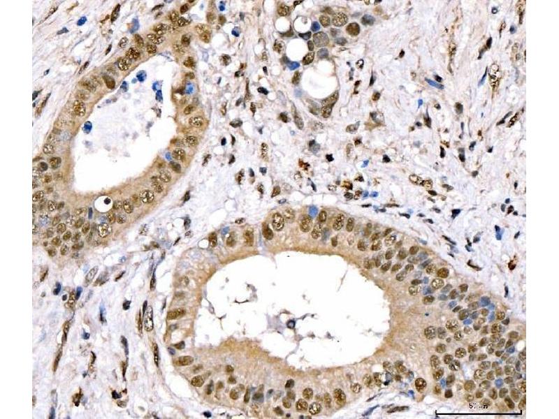
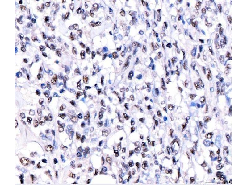
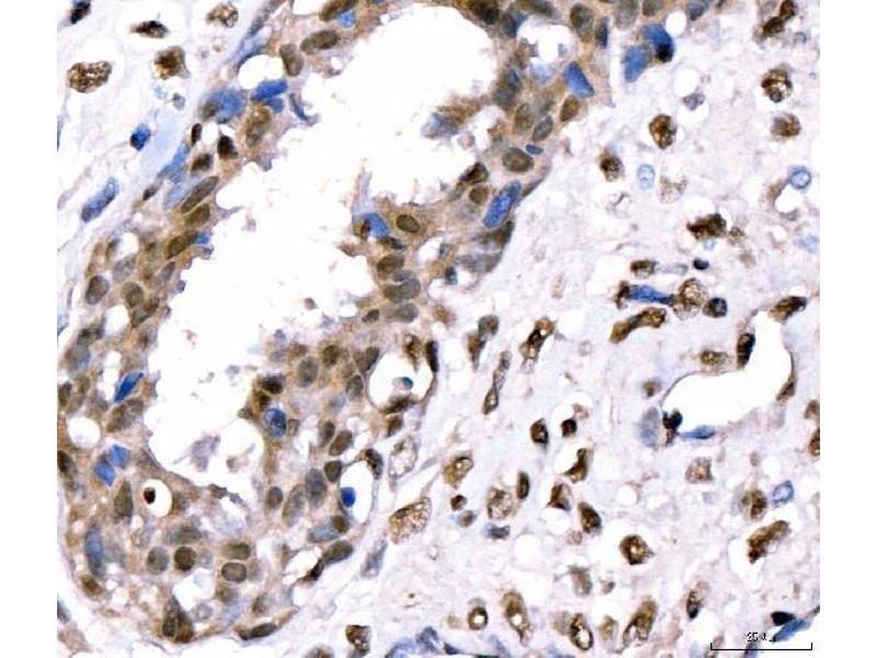
CRTC3 Antikörper (AA 116-619)

Dieser Kaninchen Polyklonal Antikörper detektiert spezifisch CRTC3 in WB, IHC, ICC, ELISA, IF und FACS. Es zeigt Reaktivität gegenüber Proben von Human und Affe.
Produktnummer ABIN7599779
500,50 €
Zzgl. Versandkosten 20,00 € und MwSt
100 μg
Lieferung nach: Deutschland
Lieferung in 8 bis 12 Werktagen

Kurzübersicht für CRTC3 Antikörper (AA 116-619) (ABIN7599779)

Target

Alle CRTC3 Antikörper anzeigen
CRTC3 (CREB Regulated Transcription Coactivator 3 (CRTC3))

Reaktivität

  • 46
  • 16
  • 14
  • 2
  • 1
  • 1
  • 1
  • 1
Human, Affe

Wirt

  • 43
  • 3
Kaninchen

Klonalität

  • 28
  • 18
Polyklonal

Konjugat

  • 20
  • 3
  • 2
  • 2
  • 1
  • 1
  • 1
  • 1
  • 1
  • 1
  • 1
  • 1
  • 1
  • 1
  • 1
  • 1
  • 1
  • 1
  • 1
  • 1
  • 1
  • 1
  • 1
Dieser CRTC3 Antikörper ist unkonjugiert

Applikation

  • 38
  • 21
  • 16
  • 14
  • 13
  • 13
  • 13
  • 6
  • 4
  • 3
  • 1
  • 1
Western Blotting (WB), Immunohistochemistry (IHC), Immunocytochemistry (ICC), ELISA, Immunofluorescence (IF), Flow Cytometry (FACS)
  • Bindungsspezifität

    • 15
    • 4
    • 4
    • 1
    • 1
    • 1
    AA 116-619

    Verwendungszweck

    Anti-CRTC3 Antibody

    Kreuzreaktivität (Details)

    No cross-reactivity with other proteins.

    Produktmerkmale

    Anti-CRTC3 Antibody (ABIN7599779). Tested in ELISA, Flow Cytometry, IF, IHC, ICC, WB applications. This antibody reacts with Human, Monkey. This is a premium antibody that guarantees superior quality, high affinity, and strong signals with minimal background in Western blot applications.

    Aufreinigung

    Immunogen affinity purified.

    Immunogen

    E.coli-derived human CRTC3 recombinant protein (Position: R116-L619).

    Isotyp

    IgG
  • Applikationshinweise

    Western blot, 0.25-0.5 μg/mL, Human, Monkey
    Immunohistochemistry(Paraffin-embedded Section), 2-5 μg/mL, Human
    Immunocytochemistry/Immunofluorescence, 5 μg/mL, Human
    Flow Cytometry (Fixed), 1-3 μg/1x106 cells, Human
    ELISA, 0.1-0.5 μg/mL, -

    Beschränkungen

    Nur für Forschungszwecke einsetzbar
  • Format

    Lyophilized

    Rekonstitution

    Adding 0.2 mL of distilled water will yield a concentration of 500 μg/mL.

    Konzentration

    500 μg/mL

    Buffer

    Each vial contains 4 mg Trehalose, 0.9 mg NaCl, 0.2 mg Na2HPO4.

    Lagerung

    4 °C,-20 °C

    Informationen zur Lagerung

    At -20°C for one year from date of receipt. After reconstitution, at 4°C for one month.
    It can also be aliquotted and stored frozen at -20°C for six months. Avoid repeated freezing and thawing.
  • Target

    CRTC3 (CREB Regulated Transcription Coactivator 3 (CRTC3))

    Andere Bezeichnung

    CRTC3

    Hintergrund

    Synonyms: Lymphotactin, C motif chemokine 1, Cytokine SCM-1, Lymphotaxin, Small-inducible cytokine C1, Xcl1, Lptn, Ltn, Scyc1

    Tissue Specificity: Expressed in activated CD8 (+) T cells. In the thymus, expressed by medullary thymic epithelial cells.

    Background: CREB-regulated transcription coactivator 3 is a protein that in humans is encoded by the CRTC3 gene. This gene is a member of the CREB regulated transcription coactivator gene family. This family regulates CREB-dependent gene transcription in a phosphorylation-independent manner and may be selective for cAMP-responsive genes. The protein encoded by this gene may induce mitochondrial biogenesis and attenuate catecholamine signaling in adipose tissue. A translocation event between this gene and Notch coactivator mastermind-like gene 2, which results in a fusion protein, has been reported in mucoepidermoid carcinomas. Alternative splicing results in multiple transcript variants that encode different protein isoforms.

    Molekulargewicht

    78 kDa

    Gen-ID

    64784

    Pathways

    SARS-CoV-2 Protein Interaktom, Phosphorylierungen bei SARS-CoV-2 Infektion
Sie sind hier:
Chat with us!